Skip to main content

PPAN Antibody - BSA Free

Novus Biologicals, part of Bio-Techne | Catalog # NBP2-93075

Novus Biologicals, part of Bio-Techne
Catalog #
Availability
Size / Price
Qty
Loading...
NBP2-93075-0.02ml
NBP2-93075-0.1ml

Key Product Details

Species Reactivity

Human, Mouse

Applications

Immunohistochemistry, Immunohistochemistry-Paraffin, Western Blot, Immunocytochemistry/ Immunofluorescence

Label

Unconjugated

Antibody Source

Polyclonal Rabbit IgG

Format

BSA Free

Concentration

Please see the vial label for concentration. If unlisted please contact technical services.

Product Specifications

Immunogen

Recombinant fusion protein containing a sequence corresponding to amino acids 1-300 of human PPAN (NP_064615.3). MGQSGRSRHQKRARAQAQLRNLEAYAANPHSFVFTRGCTGRNIRQLSLDVRRVMEPLTASRLQVRKKNSLKDCVAVAGPLGVTHFLILSKTETNVYFKLMRLPGGPTLTFQVKKYSLVRDVVSSLRRHRMHEQQFAHPPLLVLNSFGPHGMHVKLMATMFQNLFPSINVHKVNLNTIKRCLLIDYNPDSQELDFRHYSIKVVPVGASRGMKKLLQEKFPNMSRLQDISELLATGAGLSESEAEPDGDHNITELPQAVAGRGNMRAQQSAVRLTEIGPRMTLQLIKVQEGVGEGKVMFHSF

Clonality

Polyclonal

Host

Rabbit

Isotype

IgG

Description

Novus Biologicals Rabbit PPAN Antibody - BSA Free (NBP2-93075) is a polyclonal antibody validated for use in IHC, WB and ICC/IF. All Novus Biologicals antibodies are covered by our 100% guarantee.

Scientific Data Images for PPAN Antibody - BSA Free

Western Blot: PPAN AntibodyBSA Free [NBP2-93075]

Western Blot: PPAN AntibodyBSA Free [NBP2-93075]

Western Blot: PPAN Antibody [NBP2-93075] - Analysis of extracts of various cell lines, using PPAN . Exposure time: 90s.
Immunocytochemistry/ Immunofluorescence: PPAN Antibody - BSA Free [NBP2-93075]

Immunocytochemistry/ Immunofluorescence: PPAN Antibody - BSA Free [NBP2-93075]

Immunocytochemistry/Immunofluorescence: PPAN Antibody [NBP2-93075] - Analysis of A549 cells using PPAN .
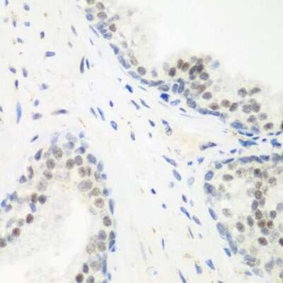
Immunohistochemistry-Paraffin: PPAN Antibody - BSA Free [NBP2-93075]

Immunohistochemistry-Paraffin: PPAN Antibody - BSA Free [NBP2-93075]

Immunohistochemistry-Paraffin: PPAN Antibody [NBP2-93075] - Paraffin-embedded human stomach using PPAN .

Applications for PPAN Antibody - BSA Free

Application
Recommended Usage

Immunocytochemistry/ Immunofluorescence

1:50-1:200

Immunohistochemistry

1:50-1:200

Western Blot

1:500-1:2000

Formulation, Preparation, and Storage

Purification

Affinity purified

Formulation

PBS (pH 7.3), 50% glycerol

Format

BSA Free

Preservative

0.02% Sodium Azide

Concentration

Please see the vial label for concentration. If unlisted please contact technical services.

Shipping

The product is shipped with polar packs. Upon receipt, store it immediately at the temperature recommended below.

Stability & Storage

Store at -20C. Avoid freeze-thaw cycles.

Background: PPAN

PPAN is encoded by this gene is an evolutionarily conserved protein similar to yeast SSF1 as well as to the gene product of the Drosophila gene peter pan (ppan). SSF1 is known to be involved in the second step of mRNA splicing. Both SSF1 and ppan are essential for cell growth and proliferation. This gene was found to cotranscript with P2RY11/P2Y(11), an immediate downstream gene on the chromosome that encodes a ATP receptor. The chimeric transcripts of this gene and P2RY11 were found to be ubiquitously present and regulated during granulocytic differentiation. Exogenous expression of this gene was reported to reduce the anchorage-independent growth of some tumor cells. Publication Note: This RefSeq record includes a subset of the publications that are available for this gene. Please see the Entrez Gene record to access additional publications.

Alternate Names

Brix domain-containing protein 3, homolog of S. cerevisiae SSF1, MGC14226, MGC45852, peter pan (Drosophila) homolog, Peter Pan homolog, peter pan homolog (Drosophila), second-step splicing factor 1, SSF, Ssf-1, SSF1BXDC3SSF-1, SSF2, suppressor of sterile four 1, suppressor of SWI4 1 homolog

Gene Symbol

PPAN

Additional PPAN Products

Product Documents for PPAN Antibody - BSA Free

Certificate of Analysis

To download a Certificate of Analysis, please enter a lot number in the search box below.

Product Specific Notices for PPAN Antibody - BSA Free

This product is for research use only and is not approved for use in humans or in clinical diagnosis. Primary Antibodies are guaranteed for 1 year from date of receipt.

Loading...
Loading...
Loading...
Loading...