PPAN Products
PPAN is encoded by this gene is an evolutionarily conserved protein similar to yeast SSF1 as well as to the gene product of the Drosophila gene peter pan (ppan). SSF1 is known to be involved in the second step of mRNA splicing. Both SSF1 and ppan are essential for cell growth and proliferation. This gene was found to cotranscript with P2RY11/P2Y(11), an immediate downstream gene on the chromosome that encodes a ATP receptor. The chimeric transcripts of this gene and P2RY11 were found to be ubiquitously present and regulated during granulocytic differentiation. Exogenous expression of this gene was reported to reduce the anchorage-independent growth of some tumor cells. Publication Note: This RefSeq record includes a subset of the publications that are available for this gene. Please see the Entrez Gene record to access additional publications.
Show More
6 results for "PPAN" in Products
6 results for "PPAN" in Products
PPAN Products
PPAN is encoded by this gene is an evolutionarily conserved protein similar to yeast SSF1 as well as to the gene product of the Drosophila gene peter pan (ppan). SSF1 is known to be involved in the second step of mRNA splicing. Both SSF1 and ppan are essential for cell growth and proliferation. This gene was found to cotranscript with P2RY11/P2Y(11), an immediate downstream gene on the chromosome that encodes a ATP receptor. The chimeric transcripts of this gene and P2RY11 were found to be ubiquitously present and regulated during granulocytic differentiation. Exogenous expression of this gene was reported to reduce the anchorage-independent growth of some tumor cells. Publication Note: This RefSeq record includes a subset of the publications that are available for this gene. Please see the Entrez Gene record to access additional publications.
Show More
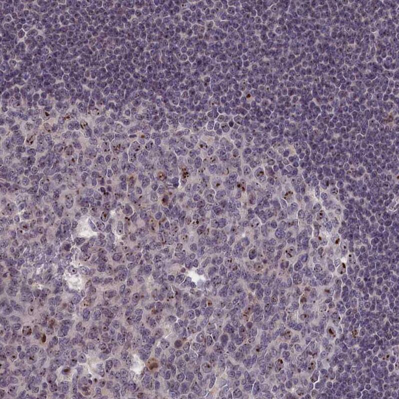
| Reactivity: | Human |
| Details: | Rabbit IgG Polyclonal |
| Applications: | IHC, WB |
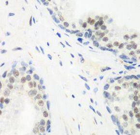
| Reactivity: | Human, Mouse |
| Details: | Rabbit IgG Polyclonal |
| Applications: | IHC, WB, ICC/IF |
| Reactivity: | Human |
| Details: | Rabbit IgG Polyclonal |
| Applications: | WB, IP |
| Reactivity: | Human, Mouse |
| Details: | Rabbit IgG Polyclonal |
| Applications: | IHC, WB, ELISA, ICC/IF |