Skip to main content

POR/Cytochrome P450 Reductase Antibody

Novus Biologicals, part of Bio-Techne | Catalog # NBP1-52083

Novus Biologicals, part of Bio-Techne
Catalog #
Availability
Size / Price
Qty
Loading...
NBP1-52083

Key Product Details

Species Reactivity

Validated:

Human, Mouse, Rat

Predicted:

Bovine (100%), Canine (100%), Porcine (100%). Backed by our 100% Guarantee.

Applications

Immunohistochemistry, Immunohistochemistry-Paraffin, Western Blot, Peptide ELISA

Label

Unconjugated

Antibody Source

Polyclonal Goat IgG

Concentration

0.5 mg/ml

Product Specifications

Immunogen

internal region

Epitope

C-TNPPRTNVLYE

Clonality

Polyclonal

Host

Goat

Isotype

IgG

Scientific Data Images for POR/Cytochrome P450 Reductase Antibody

Western Blot: POR/Cytochrome P450 Reductase Antibody [NBP1-52083]

Western Blot: POR/Cytochrome P450 Reductase Antibody [NBP1-52083]

Western Blot: POR/Cytochrome P450 Reductase Antibody [NBP1-52083] - Staining of Rat Liver lysate (35 ug protein in RIPA buffer). Antibody at 0.1 ug/mL. Primary incubation was 1 hour. Detected by chemiluminescence.
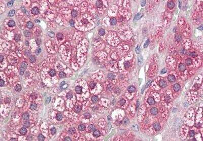
Immunohistochemistry-Paraffin: POR/Cytochrome P450 Reductase Antibody [NBP1-52083]

Immunohistochemistry-Paraffin: POR/Cytochrome P450 Reductase Antibody [NBP1-52083]

Immunohistochemistry-Paraffin: POR/Cytochrome P450 Reductase Antibody [NBP1-52083] - Staining of paraffin embedded Human Adrenal Gland. Antibody at 3.75 ug/mL. Steamed antigen retrieval with citrate buffer pH 6, AP-staining.

Applications for POR/Cytochrome P450 Reductase Antibody

Application
Recommended Usage

Immunohistochemistry-Paraffin

3.75 ug/mL

Peptide ELISA

Detection limit 1:16000

Western Blot

0.1 - 0.3 ug/mL

Formulation, Preparation, and Storage

Purification

Immunogen affinity purified

Formulation

Tris saline (20 mM Tris pH 7.3, 150 mM NaCl), 0.5% BSA

Preservative

0.02% Sodium Azide

Concentration

0.5 mg/ml

Shipping

The product is shipped with polar packs. Upon receipt, store it immediately at the temperature recommended below.

Stability & Storage

Store at -20C. Avoid freeze-thaw cycles.

Background: POR/Cytochrome P450 Reductase

This gene encodes an endoplasmic reticulum membrane oxidoreductase with an FAD-binding domain and a flavodoxin-like domain. The protein binds two cofactors, FAD and FMN, which allow it to donate electrons directly from NADPH to all microsomal P450 enzymes. Mutations in this gene have been associated with various diseases, including apparent combined P450C17 and P450C21 deficiency, amenorrhea and disordered steroidogenesis, congenital adrenal hyperplasia and Antley-Bixler syndrome.

Long Name

NADPH Cytochrome P450 Reductase

Alternate Names

CPR, CYPOR, Cytochrome P450 Reductase, P450R

Entrez Gene IDs

5447 (Human)

Gene Symbol

POR

Additional POR/Cytochrome P450 Reductase Products

Product Documents for POR/Cytochrome P450 Reductase Antibody

Certificate of Analysis

To download a Certificate of Analysis, please enter a lot number in the search box below.

Product Specific Notices for POR/Cytochrome P450 Reductase Antibody

This product is for research use only and is not approved for use in humans or in clinical diagnosis. Primary Antibodies are guaranteed for 1 year from date of receipt.

Loading...
Loading...
Loading...
Loading...