Skip to main content

PKMYT1 Antibody (OTI5E1)

Novus Biologicals, part of Bio-Techne | Catalog # NBP2-02275

Novus Biologicals, part of Bio-Techne
Catalog #
Availability
Size / Price
Qty
Loading...
NBP2-02275

Key Product Details

Species Reactivity

Human, Mouse, Rat

Applications

Flow Cytometry, Immunocytochemistry/ Immunofluorescence, Immunohistochemistry, Immunohistochemistry-Paraffin, Western Blot

Label

Unconjugated

Antibody Source

Monoclonal Mouse IgG2A Clone # OTI5E1

Concentration

1 mg/ml

Product Specifications

Immunogen

Full length human recombinant protein of human PKMYT1 (NP_004194) produced in HEK293T cell.

Reactivity Notes

Please note that this antibody is reactive to Mouse and derived from the same host, Mouse. Mouse-On-Mouse blocking reagent may be needed for IHC and ICC experiments to reduce high background signal. You can find these reagents under catalog numbers PK-2200-NB and MP-2400-NB. Please contact Technical Support if you have any questions.

Clonality

Monoclonal

Host

Mouse

Isotype

IgG2A

Theoretical MW

54.3 kDa.
Disclaimer note: The observed molecular weight of the protein may vary from the listed predicted molecular weight due to post translational modifications, post translation cleavages, relative charges, and other experimental factors.

Description

Novus Biologicals Mouse PKMYT1 Antibody (OTI5E1) (NBP2-02275) is a monoclonal antibody validated for use in IHC, WB, Flow and ICC/IF. All Novus Biologicals antibodies are covered by our 100% guarantee.

Scientific Data Images for PKMYT1 Antibody (OTI5E1)

Western Blot: PKMYT1 Antibody (OTI5E1) [NBP2-02275]

Western Blot: PKMYT1 Antibody (OTI5E1) [NBP2-02275]

Western Blot: PKMYT1 Antibody (5E1) [NBP2-02275] - HEK293T cells were transfected with the pCMV6-ENTRY control (Left lane) or pCMV6-ENTRY PKMYT1 (Right lane) cDNA for 48 hrs and lysed. Equivalent amounts of cell lysates (5 ug per lane) were separated by SDS-PAGE and immunoblotted with anti-PKMYT1.
Immunocytochemistry/ Immunofluorescence: PKMYT1 Antibody (OTI5E1) [NBP2-02275]

Immunocytochemistry/ Immunofluorescence: PKMYT1 Antibody (OTI5E1) [NBP2-02275]

Immunocytochemistry/Immunofluorescence: PKMYT1 Antibody (OTI5E1) [NBP2-02275] - Staining of COS7 cells transiently transfected by pCMV6-ENTRY PKMYT1.
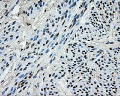
Immunohistochemistry-Paraffin: PKMYT1 Antibody (OTI5E1) [NBP2-02275]

Immunohistochemistry-Paraffin: PKMYT1 Antibody (OTI5E1) [NBP2-02275]

Immunohistochemistry-Paraffin: PKMYT1 Antibody (5E1) [NBP2-02275] - Staining of paraffin-embedded Human thyroid tissue using anti-PKMYT1 mouse monoclonal antibody.

Applications for PKMYT1 Antibody (OTI5E1)

Application
Recommended Usage

Flow Cytometry

1:100

Immunocytochemistry/ Immunofluorescence

1:100

Immunohistochemistry

1:50

Immunohistochemistry-Paraffin

1:50

Western Blot

1:500

Formulation, Preparation, and Storage

Purification

Immunogen affinity purified

Formulation

PBS (pH 7.3), 1.0% BSA and 50% Glycerol

Preservative

0.02% Sodium Azide

Concentration

1 mg/ml

Shipping

The product is shipped with polar packs. Upon receipt, store it immediately at the temperature recommended below.

Stability & Storage

Store at -20C. Avoid freeze-thaw cycles.

Background: PKMYT1

The protein encoded by this gene is a member of the serine/threonine protein kinase family. This kinase preferentially phosphorylates and inactivates cell division cycle 2 protein (CDC2), and thus negatively regulates cell cycle G2/M transition. This kinase is associated with the membrane throughout the cell cycle. Its activity is highly regulated during the cell cycle. Protein kinases AKT1/PKB and PLK (Polo-like kinase) have been shown to phosphorylate and regulate the activity of this kinase. Alternatively spliced transcript variants encoding distinct isoforms have been reported. [provided by RefSeq].

Alternate Names

DKFZp547K1610, EC 2.7.11.1, FLJ20093, Myt1 kinase, MYT1membrane-associated tyrosine- and threonine-specific cdc2-inhibitory kinase, protein kinase, membrane associated tyrosine/threonine 1

Entrez Gene IDs

9088 (Human)

Gene Symbol

PKMYT1

Additional PKMYT1 Products

Product Documents for PKMYT1 Antibody (OTI5E1)

Certificate of Analysis

To download a Certificate of Analysis, please enter a lot number in the search box below.

Product Specific Notices for PKMYT1 Antibody (OTI5E1)

This product is for research use only and is not approved for use in humans or in clinical diagnosis. Primary Antibodies are guaranteed for 1 year from date of receipt.

Loading...
Loading...
Loading...
Loading...
Loading...