Skip to main content

PKC zeta [p Thr410] Antibody

Novus Biologicals, part of Bio-Techne | Catalog # NBP3-13313

Novus Biologicals, part of Bio-Techne
Catalog #
Availability
Size / Price
Qty
Loading...
NBP3-13313

Key Product Details

Validated by

Biological Validation

Species Reactivity

Validated:

Human

Predicted:

Bovine (100%), Mouse (100%), Porcine (100%), Rabbit (100%), Rat (100%), Zebrafish (100%). Backed by our 100% Guarantee.

Applications

Western Blot

Label

Unconjugated

Antibody Source

Polyclonal Rabbit IgG

Concentration

Concentrations vary lot to lot. See vial label for concentration. If unlisted please contact technical services.

Product Specifications

Immunogen

Carrier-protein conjugated synthetic peptide surrounding phospho Thr410 of human PKC zeta. The exact sequence is proprietary.

Modification

p Thr 410

Clonality

Polyclonal

Host

Rabbit

Isotype

IgG

Description

Centrifuge briefly prior to opening.

Scientific Data Images for PKC zeta [p Thr410] Antibody

Western Blot: PKC zeta [p Thr410] Antibody [NBP3-13313]

Western Blot: PKC zeta [p Thr410] Antibody [NBP3-13313]

Western Blot: PKC zeta [p Thr410] Antibody [NBP3-13313] - Untreated (-) and treated (+) HeLa whole cell extracts (30 ug) were separated by 7.5% SDS-PAGE, and the membrane was blotted with PKC zeta (phospho Thr410) antibody (NBP3-13313) diluted at 1:500. The HRP-conjugated anti-rabbit IgG antibody (NBP2-19301) was used to detect the primary antibody.
PKC zeta [p Thr410] Antibody

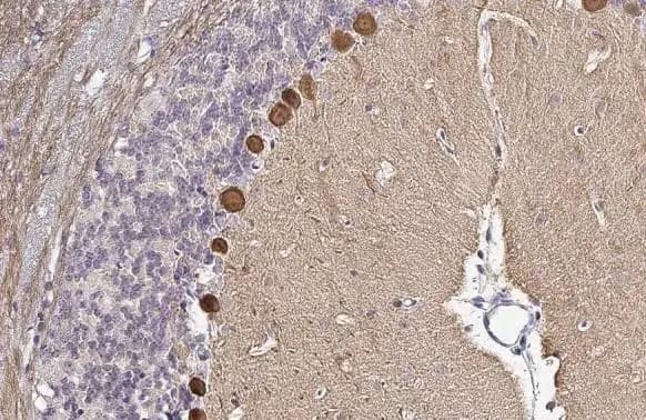
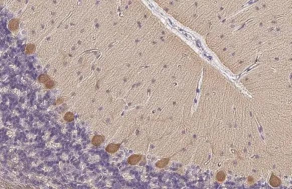
Immunohistochemistry-Paraffin: PKC zeta [p Thr410] Antibody [NBP3-13313] -

Immunohistochemistry-Paraffin: PKC zeta [p Thr410] Antibody [NBP3-13313] - PKC zeta antibody detects PKC zeta protein by immunohistochemical analysis.
Sample: Paraffin-embedded mouse cerebellum.
PKC zeta stained by PKC zeta antibody (NBP3-13313) diluted at 1:500.
Antigen Retrieval: Citrate buffer, pH 6.0, 15 min
PKC zeta [p Thr410] Antibody

Immunocytochemistry/ Immunofluorescence: PKC zeta [p Thr410] Antibody [NBP3-13313] -

Immunocytochemistry/ Immunofluorescence: PKC zeta [p Thr410] Antibody [NBP3-13313] - PKC zeta antibody detects PKC zeta protein at cytoplasm and nucleus by immunofluorescent analysis.
Sample: HeLa cells were fixed in 4% paraformaldehyde at RT for 15 min.
Green: PKC zeta stained by PKC zeta antibody (NBP3-13313) diluted at 1:500.
Red: alpha Tubulin, a cytoskeleton marker, stained by alpha Tubulin antibody [GT114] diluted at 1:1000.
Blue: Fluoroshield with DAPI .

Applications for PKC zeta [p Thr410] Antibody

Application
Recommended Usage

Western Blot

Optimal dilutions of this antibody should be experimentally determined.

Formulation, Preparation, and Storage

Purification

Antigen Affinity-purified

Formulation

PBS, 1% BSA, 20% Glycerol

Preservative

0.025% Proclin 300

Concentration

Concentrations vary lot to lot. See vial label for concentration. If unlisted please contact technical services.

Shipping

The product is shipped with polar packs. Upon receipt, store it immediately at the temperature recommended below.

Stability & Storage

Store at 4C short term. Aliquot and store at -20C long term. Avoid freeze-thaw cycles.

Background: PKC zeta

Protein kinase C (PKC), a class of serine/threonine kinases activated by Ca2+ and/or phospholipids, is involved in a variety of cellular processes such as proliferation, differentiation and secretion. PKC zeta exhibits a constitutive kinase activity which is independent of Ca2+, phosphatidylserine and diacylglycerol. Arachidonic acid alone or a combination of gamma-linolenic acid and phosphatidylserine slightly enhance PKC zeta activity. PKC zeta, in contrast to PKC alpha, is insensitive to PKC inhibitors known to interfere either with the regulatory or the catalytic domain and cannot be activated by phorbol ester treatment of NIH 3T3 cells or insect cells, overexpressing the respective PKC isoenzyme (1). Results have identified PDK-1 as the kinase that phosphorylates and activates PKC zeta in the PI 3-kinase signaling pathway. This phosphorylation and activation of PKC zeta by PDK-1 is enhanced in the presence of Ptdins-3,4-5-P3. PKCs are enzymes that are regulated at the plasma membrane, and a membrane-targeted PKC zeta is constitutively active in the absence of agonist stimulation. The association between PKC zeta and PDK-1 reveals extensive cross-talk between enzymes in the PI 3-kinase signaling pathway. (2)

Long Name

Protein Kinase C zeta

Alternate Names

PKC2, PRKCZ

Gene Symbol

PRKCZ

Additional PKC zeta Products

Product Documents for PKC zeta [p Thr410] Antibody

Certificate of Analysis

To download a Certificate of Analysis, please enter a lot number in the search box below.

Product Specific Notices for PKC zeta [p Thr410] Antibody

This product is for research use only and is not approved for use in humans or in clinical diagnosis. Primary Antibodies are guaranteed for 1 year from date of receipt.

Loading...
Loading...
Loading...
Loading...