Skip to main content

PKC gamma Antibody - BSA Free

Novus Biologicals, part of Bio-Techne | Catalog # NBP1-32535

Novus Biologicals, part of Bio-Techne
Catalog #
Availability
Size / Price
Qty
Loading...
NBP1-32535

Key Product Details

Species Reactivity

Validated:

Human, Mouse, Rat

Predicted:

Bovine (98%), Rabbit (99%). Backed by our 100% Guarantee.

Applications

Immunohistochemistry, Immunohistochemistry-Paraffin, Immunohistochemistry-Frozen, Western Blot

Label

Unconjugated

Antibody Source

Polyclonal Rabbit IgG

Format

BSA Free

Concentration

Concentrations vary lot to lot. See vial label for concentration. If unlisted please contact technical services.

Product Specifications

Immunogen

Recombinant protein encompassing a sequence within the center region of human PKC gamma. The exact sequence is proprietary.

Clonality

Polyclonal

Host

Rabbit

Isotype

IgG

Theoretical MW

78 kDa.
Disclaimer note: The observed molecular weight of the protein may vary from the listed predicted molecular weight due to post translational modifications, post translation cleavages, relative charges, and other experimental factors.

Description

Novus Biologicals Rabbit PKC gamma Antibody - BSA Free (NBP1-32535) is a polyclonal antibody validated for use in IHC and WB. All Novus Biologicals antibodies are covered by our 100% guarantee.

Scientific Data Images for PKC gamma Antibody - BSA Free

Western Blot: PKC gamma Antibody [NBP1-32535]

Western Blot: PKC gamma Antibody [NBP1-32535]

Western Blot: PKC gamma Antibody [NBP1-32535] - Various tissue extracts (50 ug) were separated by 7.5% SDS-PAGE, and the membrane was blotted with PKC gamma antibody diluted at 1:3000. The HRP-conjugated anti-rabbit IgG antibody (NBP2-19301) was used to detect the primary antibody.
PKC gamma Antibody - BSA Free

Immunohistochemistry-Paraffin: PKC gamma Antibody [NBP1-32535] -

PKC gamma antibody detects PKC gamma protein expression by immunohistochemical analysis.
Sample: Frozen-sectioned adult mouse cerebellum.
Green: PKC gamma protein stained by PKC gamma antibody (NBP1-32535) diluted at 1:250.
Red: beta Tubulin 3/ TUJ1, stained by beta Tubulin 3/ TUJ1 antibody [GT11710] diluted at 1:500.
Blue: Fluoroshield with DAPI .
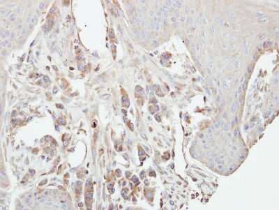
Immunohistochemistry-Paraffin: PKC gamma Antibody [NBP1-32535]

Immunohistochemistry-Paraffin: PKC gamma Antibody [NBP1-32535]

Immunohistochemistry-Paraffin: PKC gamma Antibody [NBP1-32535] - Paraffin-embedded Hun7 xenograft, using antibody at 1:500 dilution.

Applications for PKC gamma Antibody - BSA Free

Application
Recommended Usage

Immunohistochemistry

1:100-1:1000

Immunohistochemistry-Frozen

1:100-1:1000

Immunohistochemistry-Paraffin

1:100-1:1000

Western Blot

1:500-1:3000

Formulation, Preparation, and Storage

Purification

Antigen Affinity-purified

Formulation

PBS, 20% Glycerol

Format

BSA Free

Preservative

0.025% Proclin 300

Concentration

Concentrations vary lot to lot. See vial label for concentration. If unlisted please contact technical services.

Shipping

The product is shipped with polar packs. Upon receipt, store it immediately at the temperature recommended below.

Stability & Storage

Aliquot and store at -20C or -80C. Avoid freeze-thaw cycles.

Background: PKC gamma

Protein Kinase C gamma (PKC gamma) is an 80 kDa member of the conventional group (cPKCs: sensitive to calcium, diacylglycerol, phosphotidylserine and phorbol esters) of the PKC family of serine/threonine kinases that are involved in a wide range of physiological processes including mitogenesis, cell survival and transcriptional regulation. PKC gamma plays a key role in neuronal signal transduction and in regulating intercellular communication. The activation loop threonine (threonine 514 in PKC gamma) of conventional PKCs is phosphorylated by phosphoinositide-dependent kinase-1 (PDK1), which is necessary for its autophosphorylation on threonine 655 in the turn loop, and threonine 674 in the hydrophobic loop of the carboxy terminus, a critical step in generating a catalytically mature enzyme. The phosphorylation of the hydrophobic loop in the carboxyl terminus of PKCs is believed to be a key determinant in regulating PKC interaction with PDK1.

Long Name

Protein Kinase C gamma

Alternate Names

PKCC, PKCG, PRKCG, SCA14

Gene Symbol

PRKCG

Additional PKC gamma Products

Product Documents for PKC gamma Antibody - BSA Free

Certificate of Analysis

To download a Certificate of Analysis, please enter a lot number in the search box below.

Product Specific Notices for PKC gamma Antibody - BSA Free

This product is for research use only and is not approved for use in humans or in clinical diagnosis. Primary Antibodies are guaranteed for 1 year from date of receipt.

Loading...
Loading...
Loading...
Loading...

⚠ WARNING: This product can expose you to chemicals including mercury, which is known to the State of California to cause reproductive toxicity with developmental effects.  For more information go to www.P65Warnings.ca.gov.