PIG3 Antibody (OTI3B11) - Azide and BSA Free
Novus Biologicals, part of Bio-Techne | Catalog # NBP2-73400
Conjugate
Catalog #
Key Product Details
Species Reactivity
Human
Applications
Immunohistochemistry, Immunohistochemistry-Paraffin, Western Blot
Label
Unconjugated
Antibody Source
Monoclonal Mouse IgG1 Clone # OTI3B11
Format
Azide and BSA Free
Concentration
LYOPH mg/ml
Product Specifications
Immunogen
Full length human recombinant protein of human TP53I3(NP_671713) produced in HEK293T cell.
Clonality
Monoclonal
Host
Mouse
Isotype
IgG1
Theoretical MW
35.4 kDa.
Disclaimer note: The observed molecular weight of the protein may vary from the listed predicted molecular weight due to post translational modifications, post translation cleavages, relative charges, and other experimental factors.
Disclaimer note: The observed molecular weight of the protein may vary from the listed predicted molecular weight due to post translational modifications, post translation cleavages, relative charges, and other experimental factors.
Description
Novus Biologicals Mouse PIG3 Antibody (OTI3B11) - Azide and BSA Free (NBP2-01301) is a monoclonal antibody validated for use in IHC and WB. All Novus Biologicals antibodies are covered by our 100% guarantee.
Scientific Data Images for PIG3 Antibody (OTI3B11) - Azide and BSA Free
Western Blot: PIG3 Antibody (OTI3B11)Azide and BSA Free [NBP2-73400]
Western Blot: PIG3 Antibody (OTI3B11) - Azide and BSA Free [NBP2-73400] - HEK293T cells were transfected with the pCMV6-ENTRY control (Left lane) or pCMV6-ENTRY PIG3 (Right lane) cDNA for 48 hrs and lysed. Equivalent amounts of cell lysates (5 ug per lane) were separated by SDS-PAGE and immunoblotted with anti-PIG3.Immunohistochemistry: PIG3 Antibody (OTI3B11) - Azide and BSA Free [NBP2-73400]
Immunohistochemistry: PIG3 Antibody (OTI3B11) - Azide and BSA Free [NBP2-73400] - Staining of paraffin-embedded Human breast tissue using anti-PIG3 mouse monoclonal antibody.Immunohistochemistry: PIG3 Antibody (OTI3B11) - Azide and BSA Free [NBP2-73400]
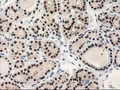
Immunohistochemistry: PIG3 Antibody (OTI3B11) - Azide and BSA Free [NBP2-73400] - Staining of paraffin-embedded Carcinoma of Human thyroid tissue using anti-PIG3 mouse monoclonal antibody.Applications for PIG3 Antibody (OTI3B11) - Azide and BSA Free
Application
Recommended Usage
Immunohistochemistry
1:150
Western Blot
1:2000
Formulation, Preparation, and Storage
Purification
Immunogen affinity purified
Reconstitution
we recommend adding 100uL distilled water to a final antibody concentration of about 1 mg/mL. To use this carrier-free antibody for conjugation experiment, we strongly recommend performing another round of desalting process.
Formulation
Lyophilized from PBS (pH 7.3) with 8% Trehalose
Format
Azide and BSA Free
Preservative
No Preservative
Concentration
LYOPH mg/ml
Shipping
The product is shipped with polar packs. Upon receipt, store it immediately at the temperature recommended below.
Stability & Storage
Store at -20C. Avoid freeze-thaw cycles.
Background: PIG3
Alternate Names
p53-induced gene 3 protein, PIG3quinone oxidoreductase homolog, quinone oxidoreductase PIG3, tumor protein p53 inducible protein 3, Tumor protein p53-inducible protein 3
Gene Symbol
TP53I3
Additional PIG3 Products
Product Documents for PIG3 Antibody (OTI3B11) - Azide and BSA Free
Product Specific Notices for PIG3 Antibody (OTI3B11) - Azide and BSA Free
This product is for research use only and is not approved for use in humans or in clinical diagnosis. Primary Antibodies are guaranteed for 1 year from date of receipt.
Loading...
Loading...
Loading...
Loading...
Loading...