Skip to main content

Phospholipid Scramblase 1/PLSCR1 Antibody

Novus Biologicals, part of Bio-Techne | Catalog # NBP1-32588

Novus Biologicals, part of Bio-Techne
Catalog #
Availability
Size / Price
Qty
Loading...
NBP1-32588

Key Product Details

Species Reactivity

Validated:

Human

Cited:

Human

Predicted:

Rhesus Macaque (96%). Backed by our 100% Guarantee.

Applications

Validated:

Immunohistochemistry, Immunohistochemistry-Paraffin, Western Blot, Immunocytochemistry/ Immunofluorescence

Cited:

Biacore Binding Assay

Label

Unconjugated

Antibody Source

Polyclonal Rabbit IgG

Concentration

Concentrations vary lot to lot. See vial label for concentration. If unlisted please contact technical services.

Product Specifications

Immunogen

Recombinant protein encompassing a sequence within the center region of human Phospholipid Scramblase 1/PLSCR1. The exact sequence is proprietary.

Localization

Membrane, Single-pass type II membrane protein

Clonality

Polyclonal

Host

Rabbit

Isotype

IgG

Theoretical MW

35 kDa.
Disclaimer note: The observed molecular weight of the protein may vary from the listed predicted molecular weight due to post translational modifications, post translation cleavages, relative charges, and other experimental factors.

Scientific Data Images for Phospholipid Scramblase 1/PLSCR1 Antibody

Immunocytochemistry/ Immunofluorescence: Phospholipid Scramblase 1/PLSCR1 Antibody [NBP1-32588]

Immunocytochemistry/ Immunofluorescence: Phospholipid Scramblase 1/PLSCR1 Antibody [NBP1-32588]

Immunocytochemistry/Immunofluorescence: Phospholipid Scramblase 1/PLSCR1 Antibody [NBP1-32588] - A431 cells were fixed in ice-cold MeOH for 5 min. Green: PLSCR1 protein stained by Scramblase1 antibody [N1C3] diluted at 1:5000. Blue: Hoechst 33342 staining.
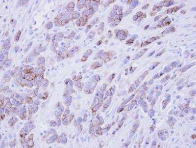
Immunohistochemistry-Paraffin: Phospholipid Scramblase 1/PLSCR1 Antibody [NBP1-32588]

Immunohistochemistry-Paraffin: Phospholipid Scramblase 1/PLSCR1 Antibody [NBP1-32588]

Immunohistochemistry-Paraffin: Phospholipid Scramblase 1/PLSCR1 Antibody [NBP1-32588] - MDAMB468 xenograft , using phospholipid scramblase 1 antibody at 1:500 dilution.Antigen Retrieval: Trilogy™ (EDTA based, pH 8.0) buffer, 15min.
Western Blot: Phospholipid Scramblase 1/PLSCR1 Antibody [NBP1-32588]

Western Blot: Phospholipid Scramblase 1/PLSCR1 Antibody [NBP1-32588]

Phospholipid-Scramblase-1-PLSCR1-Antibody-Western-Blot-NBP1-32588-img0012.jpg

Applications for Phospholipid Scramblase 1/PLSCR1 Antibody

Application
Recommended Usage

Immunocytochemistry/ Immunofluorescence

1:100-1:1000

Immunohistochemistry

1:100-1:1000

Immunohistochemistry-Paraffin

1:100-1:1000

Western Blot

1:500-1:3000

Formulation, Preparation, and Storage

Purification

Antigen Affinity-purified

Formulation

PBS, 1% BSA, 20% Glycerol

Preservative

0.01% Thimerosal

Concentration

Concentrations vary lot to lot. See vial label for concentration. If unlisted please contact technical services.

Shipping

The product is shipped with polar packs. Upon receipt, store it immediately at the temperature recommended below.

Stability & Storage

Aliquot and store at -20C or -80C. Avoid freeze-thaw cycles.

Background: Phospholipid Scramblase 1/PLSCR1

Phospholipid scramblase 1 (PLSCR1) is a member of the PLSCR protein family. These proteins are ATP-independent lipid translocators localized to the plasma membrane and is involved in a calcium dependent, nonspecific and rapid redistribution (scrambling) of phospholipids when a perturbation of plasma membrane asymmetry is needed for the cell (e.g. following cell activation, injury, or apoptosis). The expression of PLSCR1 is found in a variety of tissue and can be stress-induced. Upon stimulation (e.g. interferon stimulation), a portion of newly synthesized PLSCR1 is imported into the nucleus (instead of inserted into the plasma membrane) and interacts with DNA, consistent with a role in gene regulation. PLSCR1 may be closely associated with the pathophysiology underlying infection and inflammation, which manifest marked changes in energy consumption and lipid metabolism.

Alternate Names

MMTRA1B, PLSCR1

Gene Symbol

PLSCR1

Additional Phospholipid Scramblase 1/PLSCR1 Products

Product Documents for Phospholipid Scramblase 1/PLSCR1 Antibody

Certificate of Analysis

To download a Certificate of Analysis, please enter a lot number in the search box below.

Product Specific Notices for Phospholipid Scramblase 1/PLSCR1 Antibody

This product is for research use only and is not approved for use in humans or in clinical diagnosis. Primary Antibodies are guaranteed for 1 year from date of receipt.

Loading...
Loading...
Loading...
Loading...

⚠ WARNING: This product can expose you to chemicals including mercury, which is known to the State of California to cause reproductive toxicity with developmental effects.  For more information go to www.P65Warnings.ca.gov.