Skip to main content

PHF2 Antibody - BSA Free

Novus Biologicals, part of Bio-Techne | Catalog # NBP1-83080

Novus Biologicals, part of Bio-Techne
Catalog #
Availability
Size / Price
Qty
Loading...
NBP1-83080
NBP1-83080-25ul

Key Product Details

Species Reactivity

Validated:

Human

Cited:

Human

Predicted:

Mouse (90%). Backed by our 100% Guarantee.

Applications

Validated:

Immunohistochemistry, Immunohistochemistry-Paraffin

Cited:

IF/IHC

Label

Unconjugated

Antibody Source

Polyclonal Rabbit IgG

Format

BSA Free

Concentration

Concentrations vary lot to lot. See vial label for concentration. If unlisted please contact technical services.

Product Specifications

Immunogen

This antibody was developed against Recombinant Protein corresponding to amino acids: LEIREQTKSKSEAKWKYKNSKPDSLLKMEEEQKLEKSPLAGNKDNKFSFSFSNKKLLGSKALRPPTSPGVFGALQNFKEDKPKPVRDEYEYVSDDGELKIDEFPIRRKKNAPKRDLSFLLDKKAVLPTPVTKPKLD

Reactivity Notes

Rat (88%).

Clonality

Polyclonal

Host

Rabbit

Isotype

IgG

Scientific Data Images for PHF2 Antibody - BSA Free

Immunohistochemistry-Paraffin: PHF2 Antibody [NBP1-83080]

Immunohistochemistry-Paraffin: PHF2 Antibody [NBP1-83080]

Immunohistochemistry-Paraffin: PHF2 Antibody [NBP1-83080] - Staining of human skin shows moderate nuclear positivity in squamous epithelial cells.
Immunohistochemistry-Paraffin: PHF2 Antibody [NBP1-83080]

Immunohistochemistry-Paraffin: PHF2 Antibody [NBP1-83080]

Immunohistochemistry-Paraffin: PHF2 Antibody [NBP1-83080] - Staining of human cerebellum shows strong nuclear positivity in cells in granular layer.
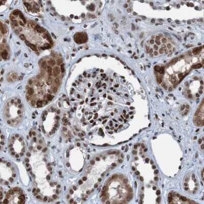
Immunohistochemistry-Paraffin: PHF2 Antibody [NBP1-83080]

Immunohistochemistry-Paraffin: PHF2 Antibody [NBP1-83080]

Immunohistochemistry-Paraffin: PHF2 Antibody [NBP1-83080] - Staining of human kidney shows moderate to strong nuclear positivity in cells in glomeruli and tubules.

Applications for PHF2 Antibody - BSA Free

Application
Recommended Usage

Immunohistochemistry

1:200 - 1:500

Immunohistochemistry-Paraffin

1:200 - 1:500
Application Notes
For IHC-Paraffin, HIER pH 6 retrieval is recommended.

Formulation, Preparation, and Storage

Purification

Affinity purified

Formulation

PBS (pH 7.2) and 40% Glycerol

Format

BSA Free

Preservative

0.02% Sodium Azide

Concentration

Concentrations vary lot to lot. See vial label for concentration. If unlisted please contact technical services.

Shipping

The product is shipped with polar packs. Upon receipt, store it immediately at the temperature recommended below.

Stability & Storage

Store at 4C short term. Aliquot and store at -20C long term. Avoid freeze-thaw cycles.

Background: PHF2

PHF2 reacts with the novel (plant homeodomain)/LAP (leukemia-associated protein) PHD finger protein PHF-2. PHF-2 is widely expressed and is implicated in hereditary sensory neuropathy type 1 (HSN1).

Alternate Names

GRC5, jumonji C domain-containing histone demethylase 1E, KIAA0662JHDM1E, MGC176680, PHD finger protein 2

Gene Symbol

PHF2

Additional PHF2 Products

Product Documents for PHF2 Antibody - BSA Free

Certificate of Analysis

To download a Certificate of Analysis, please enter a lot number in the search box below.

Product Specific Notices for PHF2 Antibody - BSA Free

This product is for research use only and is not approved for use in humans or in clinical diagnosis. Primary Antibodies are guaranteed for 1 year from date of receipt.

Loading...
Loading...
Loading...
Loading...