Phenylalanine Hydroxylase Antibody (JE64-47)
Novus Biologicals, part of Bio-Techne | Catalog # NBP3-32708
Recombinant Monoclonal Antibody
Key Product Details
Species Reactivity
Human, Mouse, Rat
Applications
Immunohistochemistry, Immunohistochemistry-Paraffin, Western Blot, Flow Cytometry
Label
Unconjugated
Antibody Source
Recombinant Monoclonal Rabbit IgG Clone # JE64-47 expressed in HEK293
Concentration
1 mg/ml
Product Specifications
Immunogen
Synthetic peptide within human Phenylalanine Hydroxylase aa 50-100/452. (Uniprot: P00439)
Localization
Cytosol.
Clonality
Monoclonal
Host
Rabbit
Isotype
IgG
Theoretical MW
52 kDa.
Disclaimer note: The observed molecular weight of the protein may vary from the listed predicted molecular weight due to post translational modifications, post translation cleavages, relative charges, and other experimental factors.
Disclaimer note: The observed molecular weight of the protein may vary from the listed predicted molecular weight due to post translational modifications, post translation cleavages, relative charges, and other experimental factors.
Description
Novus Biologicals Rabbit Phenylalanine Hydroxylase Antibody (JE64-47) (NBP3-32708) is a recombinant monoclonal antibody validated for use in IHC, WB and Flow. All Novus Biologicals antibodies are covered by our 100% guarantee.
Scientific Data Images for Phenylalanine Hydroxylase Antibody (JE64-47)
Western Blot: Phenylalanine Hydroxylase Antibody (JE64-47) [NBP3-32708]
Western Blot: Phenylalanine Hydroxylase Antibody (JE64-47) [NBP3-32708] - Western blot analysis of Phenylalanine Hydroxylase on rat liver tissue lysates with Rabbit anti-Phenylalanine Hydroxylase antibody (NBP3-32708) at 1/500 dilution.Lysates/proteins at 20 ug/Lane.
Predicted band size: 52 kDa
Observed band size: 52 kDa
Exposure time: 1 minute;
10% SDS-PAGE gel.
Proteins were transferred to a PVDF membrane and blocked with 5% NFDM/TBST for 1 hour at room temperature. The primary antibody (NBP3-32708) at 1/500 dilution was used in 5% NFDM/TBST at room temperature for 2 hours. Goat Anti-Rabbit IgG - HRP Secondary Antibody at 1:300,000 dilution was used for 1 hour at room temperature.
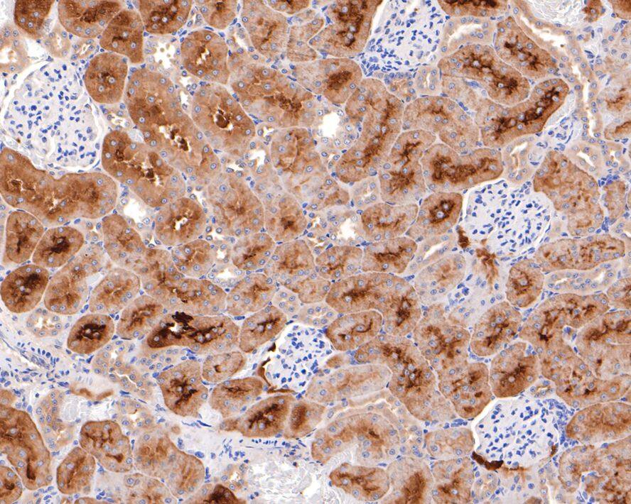
Immunohistochemistry: Phenylalanine Hydroxylase Antibody (JE64-47) [NBP3-32708]
Immunohistochemistry: Phenylalanine Hydroxylase Antibody (JE64-47) [NBP3-32708] - Immunohistochemical analysis of paraffin-embedded rat kidney tissue with Rabbit anti-Phenylalanine Hydroxylase antibody (NBP3-32708) at 1/100 dilution.The section was pre-treated using heat mediated antigen retrieval with Tris-EDTA buffer (pH 9.0) for 20 minutes. The tissues were blocked in 1% BSA for 20 minutes at room temperature, washed with ddH2O and PBS, and then probed with the primary antibody (NBP3-32708) at 1/100 dilution for 1 hour at room temperature. The detection was performed using an HRP conjugated compact polymer system. DAB was used as the chromogen. Tissues were counterstained with hematoxylin and mounted with DPX.
Flow Cytometry: Phenylalanine Hydroxylase Antibody (JE64-47) [NBP3-32708]
Flow Cytometry: Phenylalanine Hydroxylase Antibody (JE64-47) [NBP3-32708] - Flow cytometric analysis of HepG2 cells labeling Phenylalanine Hydroxylase.Cells were fixed and permeabilized. Then stained with the primary antibody (NBP3-32708, 1ug/ml) (red) compared with Rabbit IgG Isotype Control (green). After incubation of the primary antibody at +4℃ for an hour, the cells were stained with a Alexa Fluor® 488 conjugate-Goat anti-Rabbit IgG Secondary antibody at 1/1,000 dilution for 30 minutes at +4℃. Unlabelled sample was used as a control (cells without incubation with primary antibody; black).
Applications for Phenylalanine Hydroxylase Antibody (JE64-47)
Application
Recommended Usage
Flow Cytometry
1:500-1:1000
Immunohistochemistry-Paraffin
1:100-1:400
Western Blot
1:500
Formulation, Preparation, and Storage
Purification
Protein A purified
Formulation
1*TBS (pH7.4), 0.05% BSA and 40% Glycerol
Preservative
0.05% Sodium Azide
Concentration
1 mg/ml
Shipping
The product is shipped with polar packs. Upon receipt, store it immediately at the temperature recommended below.
Stability & Storage
Store at 4C short term. Aliquot and store at -20C long term. Avoid freeze-thaw cycles.
Background: Phenylalanine Hydroxylase
Alternate Names
EC 1.14.16, EC 1.14.16.1, PH, phe-4-monooxygenase, phenylalanine 4-monooxygenase, phenylalanine hydroxylase, phenylalanine-4-hydroxylase, PKU, PKU1
Gene Symbol
PAH
Additional Phenylalanine Hydroxylase Products
Product Documents for Phenylalanine Hydroxylase Antibody (JE64-47)
Product Specific Notices for Phenylalanine Hydroxylase Antibody (JE64-47)
This product is for research use only and is not approved for use in humans or in clinical diagnosis. Primary Antibodies are guaranteed for 1 year from date of receipt.
Loading...
Loading...
Loading...
Loading...
Loading...