Skip to main content

PFDN6 Antibody (OTI4E10) - Azide and BSA Free

Novus Biologicals, part of Bio-Techne | Catalog # NBP2-73339

Novus Biologicals, part of Bio-Techne
Catalog #
Availability
Size / Price
Qty
Loading...
NBP2-73339

Key Product Details

Species Reactivity

Human, Mouse, Rat

Applications

Immunohistochemistry, Immunohistochemistry-Paraffin, Western Blot, Flow Cytometry, CyTOF-ready

Label

Unconjugated

Antibody Source

Monoclonal Mouse IgG1 Clone # OTI4E10

Format

Azide and BSA Free

Concentration

LYOPH mg/ml

Product Specifications

Immunogen

Human recombinant protein fragment corresponding to amino acids 2-129 of human PFDN6(NP_055075) produced in E.coli.

Reactivity Notes

Please note that this antibody is reactive to Mouse and derived from the same host, Mouse. Mouse-On-Mouse blocking reagent may be needed for IHC and ICC experiments to reduce high background signal. You can find these reagents under catalog numbers PK-2200-NB and MP-2400-NB. Please contact Technical Support if you have any questions.

Clonality

Monoclonal

Host

Mouse

Isotype

IgG1

Theoretical MW

14.4 kDa.
Disclaimer note: The observed molecular weight of the protein may vary from the listed predicted molecular weight due to post translational modifications, post translation cleavages, relative charges, and other experimental factors.

Description

Novus Biologicals Mouse PFDN6 Antibody (OTI4E10) - Azide and BSA Free (NBP2-01637) is a monoclonal antibody validated for use in IHC, WB and Flow. All Novus Biologicals antibodies are covered by our 100% guarantee.

Scientific Data Images for PFDN6 Antibody (OTI4E10) - Azide and BSA Free

Western Blot: PFDN6 Antibody (OTI4E10)Azide and BSA Free [NBP2-73339]

Western Blot: PFDN6 Antibody (OTI4E10)Azide and BSA Free [NBP2-73339]

Western Blot: PFDN6 Antibody (OTI4E10) - Azide and BSA Free [NBP2-73339] - HEK293T cells were transfected with the pCMV6-ENTRY control (Left lane) or pCMV6-ENTRY PFDN6 (Right lane) cDNA for 48 hrs and lysed. Equivalent amounts of cell lysates (5 ug per lane) were separated by SDS-PAGE and immunoblotted with anti-PFDN6.
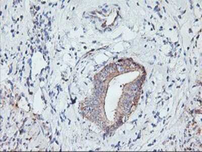
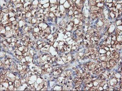
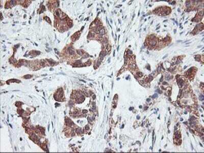
Immunohistochemistry: PFDN6 Antibody (OTI4E10) - Azide and BSA Free [NBP2-73339]

Immunohistochemistry: PFDN6 Antibody (OTI4E10) - Azide and BSA Free [NBP2-73339]

Immunohistochemistry: PFDN6 Antibody (OTI4E10) - Azide and BSA Free [NBP2-73339] - Staining of paraffin-embedded Carcinoma of Human lung tissue using anti-PFDN6 mouse monoclonal antibody.
Flow Cytometry: PFDN6 Antibody (OTI4E10) - Azide and BSA Free [NBP2-73339]

Flow Cytometry: PFDN6 Antibody (OTI4E10) - Azide and BSA Free [NBP2-73339]

Flow Cytometry: PFDN6 Antibody (OTI4E10) - Azide and BSA Free [NBP2-73339] - HEK293T cells transfected with either overexpression plasmid (Red) or empty vector control plasmid (Blue) were immunostaining by anti-PFDN6 antibody, and then analyzed by flow cytometry.

Applications for PFDN6 Antibody (OTI4E10) - Azide and BSA Free

Application
Recommended Usage

Flow Cytometry

1:100

Immunohistochemistry

1:150

Western Blot

1:2000

Formulation, Preparation, and Storage

Purification

Immunogen affinity purified

Reconstitution

we recommend adding 100uL distilled water to a final antibody concentration of about 1 mg/mL. To use this carrier-free antibody for conjugation experiment, we strongly recommend performing another round of desalting process.

Formulation

Lyophilized from PBS (pH 7.3) with 8% Trehalose

Format

Azide and BSA Free

Preservative

No Preservative

Concentration

LYOPH mg/ml

Shipping

The product is shipped with polar packs. Upon receipt, store it immediately at the temperature recommended below.

Stability & Storage

Store at -20C. Avoid freeze-thaw cycles.

Background: PFDN6

PFDN6 binds specifically to cytosolic chaperonin (c-CPN) and transfers target proteins to it. Binds to nascentpolypeptide chain and promotes folding in an environment in which there are many competing pathways for nonnativeproteins

Alternate Names

H2-KE2, HLA class II region expressed gene KE2, KE-2, KE2 protein, MGC70744, PFD6HKE2, prefoldin 6, prefoldin subunit 6, Protein Ke2

Gene Symbol

PFDN6

Additional PFDN6 Products

Product Documents for PFDN6 Antibody (OTI4E10) - Azide and BSA Free

Certificate of Analysis

To download a Certificate of Analysis, please enter a lot number in the search box below.

Product Specific Notices for PFDN6 Antibody (OTI4E10) - Azide and BSA Free

This product is for research use only and is not approved for use in humans or in clinical diagnosis. Primary Antibodies are guaranteed for 1 year from date of receipt.

Loading...
Loading...
Loading...
Loading...
Loading...
Loading...