PFDN6 Antibody (OTI4E10)
Novus Biologicals, part of Bio-Techne | Catalog # NBP2-01637
Conjugate
Catalog #
Forumulation
Catalog #
Key Product Details
Species Reactivity
Human, Mouse, Rat
Applications
Immunohistochemistry, Immunohistochemistry-Paraffin, Western Blot, Flow Cytometry
Label
Unconjugated
Antibody Source
Monoclonal Mouse IgG1 Clone # OTI4E10
Concentration
0.67 mg/ml
Product Specifications
Immunogen
Human recombinant protein fragment corresponding to amino acids 2-129 of human PFDN6(NP_055075) produced in E.coli.
Reactivity Notes
Please note that this antibody is reactive to Mouse and derived from the same host, Mouse. Mouse-On-Mouse blocking reagent may be needed for IHC and ICC experiments to reduce high background signal. You can find these reagents under catalog numbers PK-2200-NB and MP-2400-NB. Please contact Technical Support if you have any questions.
Clonality
Monoclonal
Host
Mouse
Isotype
IgG1
Theoretical MW
14.4 kDa.
Disclaimer note: The observed molecular weight of the protein may vary from the listed predicted molecular weight due to post translational modifications, post translation cleavages, relative charges, and other experimental factors.
Disclaimer note: The observed molecular weight of the protein may vary from the listed predicted molecular weight due to post translational modifications, post translation cleavages, relative charges, and other experimental factors.
Description
Novus Biologicals Mouse PFDN6 Antibody (OTI4E10) (NBP2-01637) is a monoclonal antibody validated for use in IHC, WB and Flow. All Novus Biologicals antibodies are covered by our 100% guarantee.
Scientific Data Images for PFDN6 Antibody (OTI4E10)
Western Blot: PFDN6 Antibody (OTI4E10) [NBP2-01637]
Western Blot: PFDN6 Antibody (4E10) [NBP2-01637] - HEK293T cells were transfected with the pCMV6-ENTRY control (Left lane) or pCMV6-ENTRY PFDN6 (Right lane) cDNA for 48 hrs and lysed. Equivalent amounts of cell lysates (5 ug per lane) were separated by SDS-PAGE and immunoblotted with anti-PFDN6.
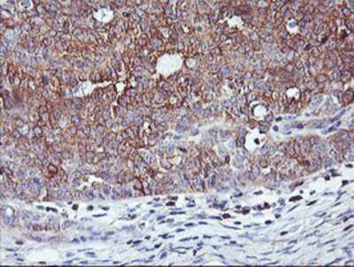
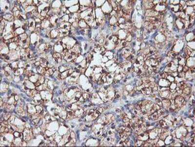
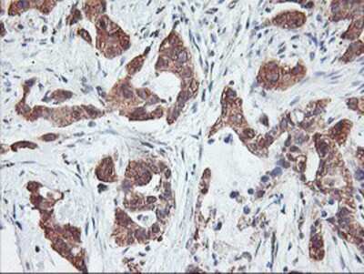
Immunohistochemistry-Paraffin: PFDN6 Antibody (4E10) [NBP2-01637] Staining of paraffin-embedded Carcinoma of Human pancreas tissue using anti-PFDN6 mouse monoclonal antibody.
Flow Cytometry: PFDN6 Antibody (OTI4E10) [NBP2-01637]
Flow Cytometry: PFDN6 Antibody (4E10) [NBP2-01637] - HEK293T cells transfected with either overexpression plasmid (Red) or empty vector control plasmid (Blue) were immunostained by anti-PFDN6 antibody, and then analyzed by flow cytometry.Applications for PFDN6 Antibody (OTI4E10)
Application
Recommended Usage
Flow Cytometry
1:100
Immunohistochemistry
1:150
Immunohistochemistry-Paraffin
1:150
Western Blot
1:2000
Formulation, Preparation, and Storage
Purification
Immunogen affinity purified
Formulation
PBS (pH 7.3), 1.0% BSA and 50% Glycerol
Preservative
0.02% Sodium Azide
Concentration
0.67 mg/ml
Shipping
The product is shipped with polar packs. Upon receipt, store it immediately at the temperature recommended below.
Stability & Storage
Store at -20C. Avoid freeze-thaw cycles.
Background: PFDN6
Alternate Names
H2-KE2, HLA class II region expressed gene KE2, KE-2, KE2 protein, MGC70744, PFD6HKE2, prefoldin 6, prefoldin subunit 6, Protein Ke2
Entrez Gene IDs
10471 (Human)
Gene Symbol
PFDN6
Additional PFDN6 Products
Product Documents for PFDN6 Antibody (OTI4E10)
Product Specific Notices for PFDN6 Antibody (OTI4E10)
This product is for research use only and is not approved for use in humans or in clinical diagnosis. Primary Antibodies are guaranteed for 1 year from date of receipt.
Loading...
Loading...
Loading...
Loading...
Loading...