Skip to main content

PEX13 Antibody - BSA Free

Novus Biologicals, part of Bio-Techne | Catalog # NBP1-31032

Novus Biologicals, part of Bio-Techne
Catalog #
Availability
Size / Price
Qty
Loading...
NBP1-31032

Key Product Details

Species Reactivity

Validated:

Human

Predicted:

Rhesus Macaque (92%). Backed by our 100% Guarantee.

Applications

Immunohistochemistry, Immunohistochemistry-Paraffin, Western Blot

Label

Unconjugated

Antibody Source

Polyclonal Rabbit IgG

Format

BSA Free

Concentration

Concentrations vary lot to lot. See vial label for concentration. If unlisted please contact technical services.

Product Specifications

Immunogen

Carrier-protein conjugated synthetic peptide encompassing a sequence within the C-terminus region of human PEX13. The exact sequence is proprietary.

Localization

Peroxisome membrane, Single-pass membrane protein

Clonality

Polyclonal

Host

Rabbit

Isotype

IgG

Theoretical MW

44 kDa.
Disclaimer note: The observed molecular weight of the protein may vary from the listed predicted molecular weight due to post translational modifications, post translation cleavages, relative charges, and other experimental factors.

Scientific Data Images for PEX13 Antibody - BSA Free

Western Blot: PEX13 Antibody [NBP1-31032]

Western Blot: PEX13 Antibody [NBP1-31032]

Western Blot: PEX13 Antibody [NBP1-31032] - Sample(30 ug of whole cell lysate)A:MOLT4 7. 5% SDS PAGE, antibody diluted at 1:1000.
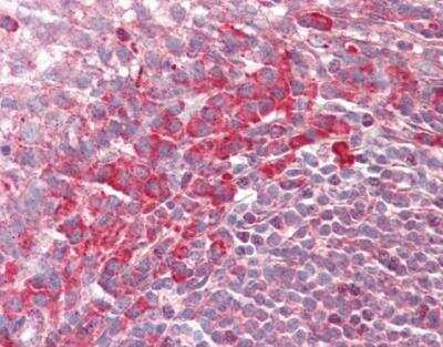
Immunohistochemistry-Paraffin: PEX13 Antibody [NBP1-31032]

Immunohistochemistry-Paraffin: PEX13 Antibody [NBP1-31032]

Immunohistochemistry-Paraffin: PEX13 Antibody [NBP1-31032] - Paraffin-embedded placenta. PEX13 antibody [C3], C-term dilution: 1:100.

Applications for PEX13 Antibody - BSA Free

Application
Recommended Usage

Immunohistochemistry

1:100-1:1000

Immunohistochemistry-Paraffin

1:100-1:1000

Western Blot

1:500-1:3000

Formulation, Preparation, and Storage

Purification

Antigen Affinity-purified

Formulation

PBS, 10% Glycerol

Format

BSA Free

Preservative

0.01% Thimerosal

Concentration

Concentrations vary lot to lot. See vial label for concentration. If unlisted please contact technical services.

Shipping

The product is shipped with polar packs. Upon receipt, store it immediately at the temperature recommended below.

Stability & Storage

Store at 4C short term. Aliquot and store at -20C long term. Avoid freeze-thaw cycles.

Background: PEX13

Component of the peroxisomal translocation machinery with PEX14 and PEX17. It functions as a docking factor for the predominantly cytoplasmnic PTS1 receptor. It is also involved in the import of PTS1 and PTS2 proteins.

Alternate Names

NALD, peroxin-13, peroxisomal biogenesis factor 13, peroxisomal membrane protein PEX13, peroxisome biogenesis factor 13, ZWS

Gene Symbol

PEX13

Additional PEX13 Products

Product Documents for PEX13 Antibody - BSA Free

Certificate of Analysis

To download a Certificate of Analysis, please enter a lot number in the search box below.

Product Specific Notices for PEX13 Antibody - BSA Free

This product is for research use only and is not approved for use in humans or in clinical diagnosis. Primary Antibodies are guaranteed for 1 year from date of receipt.

Loading...
Loading...
Loading...
Loading...

⚠ WARNING: This product can expose you to chemicals including mercury, which is known to the State of California to cause reproductive toxicity with developmental effects.  For more information go to www.P65Warnings.ca.gov.