Skip to main content

Peroxiredoxin 4 Antibody (OTI9A3)

Novus Biologicals, part of Bio-Techne | Catalog # NBP2-02117

Novus Biologicals, part of Bio-Techne

Key Product Details

Species Reactivity

Human, Mouse, Rat

Applications

Immunohistochemistry, Immunohistochemistry-Paraffin, Western Blot, Immunocytochemistry/ Immunofluorescence

Label

Unconjugated

Antibody Source

Monoclonal Mouse IgG1 Clone # OTI9A3

Concentration

0.64 mg/ml

Product Specifications

Immunogen

Full length human recombinant protein of human PRDX4 (NP_006397) produced in HEK293T cell.

Reactivity Notes

Please note that this antibody is reactive to Mouse and derived from the same host, Mouse. Mouse-On-Mouse blocking reagent may be needed for IHC and ICC experiments to reduce high background signal. You can find these reagents under catalog numbers PK-2200-NB and MP-2400-NB. Please contact Technical Support if you have any questions.

Clonality

Monoclonal

Host

Mouse

Isotype

IgG1

Theoretical MW

30.4 kDa.
Disclaimer note: The observed molecular weight of the protein may vary from the listed predicted molecular weight due to post translational modifications, post translation cleavages, relative charges, and other experimental factors.

Description

Novus Biologicals Mouse Peroxiredoxin 4 Antibody (OTI9A3) (NBP2-02117) is a monoclonal antibody validated for use in IHC, WB and ICC/IF. All Novus Biologicals antibodies are covered by our 100% guarantee.

Scientific Data Images for Peroxiredoxin 4 Antibody (OTI9A3)

Western Blot: Peroxiredoxin 4 Antibody (OTI9A3) [NBP2-02117]

Western Blot: Peroxiredoxin 4 Antibody (OTI9A3) [NBP2-02117]

Western Blot: Peroxiredoxin 4 Antibody (9A3) [NBP2-02117] - EK293T cells were transfected with the pCMV6-ENTRY control (Left lane) or pCMV6-ENTRY Peroxiredoxin-4 (Right lane) cDNA for 48 hrs and lysed. Equivalent amounts of cell lysates (5 ug per lane) were separated by SDS-PAGE and immunoblotted with anti-Peroxiredoxin-4.
Immunocytochemistry/ Immunofluorescence: Peroxiredoxin 4 Antibody (OTI9A3) [NBP2-02117]

Immunocytochemistry/ Immunofluorescence: Peroxiredoxin 4 Antibody (OTI9A3) [NBP2-02117]

Immunocytochemistry/Immunofluorescence: Peroxiredoxin 4 Antibody (OTI9A3) [NBP2-02117] - Staining of COS7 cells transiently transfected by pCMV6-ENTRY Peroxiredoxin-4.
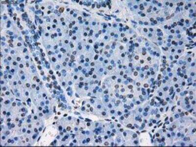
Immunohistochemistry-Paraffin: Peroxiredoxin 4 Antibody (OTI9A3) [NBP2-02117]

Immunohistochemistry-Paraffin: Peroxiredoxin 4 Antibody (OTI9A3) [NBP2-02117]

Immunohistochemistry-Paraffin: Peroxiredoxin 4 Antibody (9A3) [NBP2-02117] - Staining of paraffin-embedded Human prostate tissue using anti-Peroxiredoxin-4 mouse monoclonal antibody.

Applications for Peroxiredoxin 4 Antibody (OTI9A3)

Application
Recommended Usage

Immunocytochemistry/ Immunofluorescence

1:100

Immunohistochemistry

1:50

Immunohistochemistry-Paraffin

1:50

Western Blot

1:2000

Formulation, Preparation, and Storage

Purification

Immunogen affinity purified

Formulation

PBS (pH 7.3), 1.0% BSA and 50% Glycerol

Preservative

0.02% Sodium Azide

Concentration

0.64 mg/ml

Shipping

The product is shipped with polar packs. Upon receipt, store it immediately at the temperature recommended below.

Stability & Storage

Store at -20C. Avoid freeze-thaw cycles.

Background: Peroxiredoxin 4

The protein encoded by this gene is an antioxidant enzyme and belongs to the peroxiredoxin family. The protein is localized to the cytoplasm. Peroxidases of the peroxiredoxin family reduce hydrogen peroxide and alkyl hydroperoxides to water and alcohol with the use of reducing equivalents derived from thiol-containing donor molecules. This protein has been found to play a regulatory role in the activation of the transcription factor NF-kappaB. [provided by RefSeq].

Alternate Names

AOE372, PRDX4, Prx4

Entrez Gene IDs

10549 (Human)

Gene Symbol

PRDX4

Additional Peroxiredoxin 4 Products

Product Documents for Peroxiredoxin 4 Antibody (OTI9A3)

Certificate of Analysis

To download a Certificate of Analysis, please enter a lot number in the search box below.

Product Specific Notices for Peroxiredoxin 4 Antibody (OTI9A3)

This product is for research use only and is not approved for use in humans or in clinical diagnosis. Primary Antibodies are guaranteed for 1 year from date of receipt.

Loading...
Loading...
Loading...
Loading...