Skip to main content

Pepsinogen I Antibody (HMV318)

Novus Biologicals, part of Bio-Techne | Catalog # NBP3-48802

Recombinant Monoclonal Antibody
Novus Biologicals, part of Bio-Techne
Catalog #
Availability
Size / Price
Qty
Loading...
NBP3-48802

Key Product Details

Species Reactivity

Human

Applications

Immunohistochemistry, Immunohistochemistry-Paraffin

Label

Unconjugated

Antibody Source

Recombinant Monoclonal Rabbit IgG Clone # HMV318

Concentration

Concentrations vary lot to lot. See vial label for concentration. If unlisted please contact technical services.

Product Specifications

Immunogen

Recombinant fragmemt of human Pepsinogen I

Clonality

Monoclonal

Host

Rabbit

Isotype

IgG

Description

Novus Biologicals Rabbit Pepsinogen I Antibody (HMV318) (NBP3-48802) is a recombinant monoclonal antibody validated for use in IHC. All Novus Biologicals antibodies are covered by our 100% guarantee.

Scientific Data Images for Pepsinogen I Antibody (HMV318)

Pepsinogen I Antibody (HMV318)

Immunohistochemistry-Paraffin: Pepsinogen I Antibody (HMV318) [NBP3-48802] -

IHC-P analysis of human stomach tissue using Pepsinogen I antibody (HMV318).Strong pepsinogen I positivity in chief cells of corpus glands.
Pepsinogen I Antibody (HMV318)

Immunohistochemistry-Paraffin: Pepsinogen I Antibody (HMV318) [NBP3-48802] -

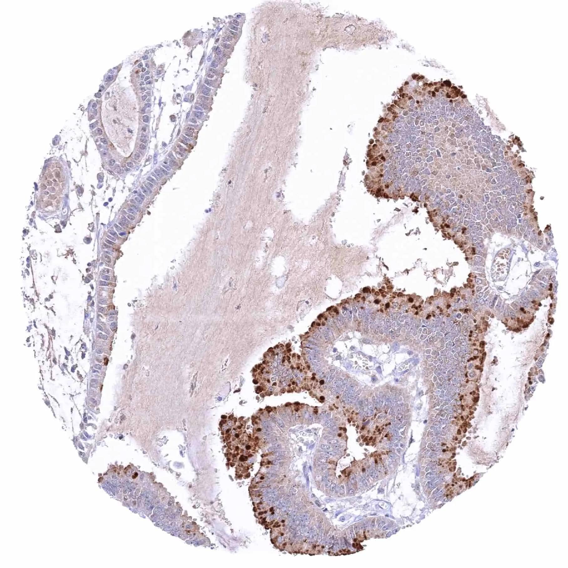
IHC-P analysis of human gastric adenocarcinoma tissue of the fundic gland type (GA-FG) using Pepsinogen I antibody (HMV318).Gastric adenocarcinoma of the fundic gland type (GA-FG) with distinct pepsinogen I staining of tumor cells.
Pepsinogen I Antibody (HMV318)

Immunohistochemistry-Paraffin: Pepsinogen I Antibody (HMV318) [NBP3-48802] -

IHC-P analysis of human gastric antrum tissue using Pepsinogen I antibody (HMV318).Pepsinogen I positivity in few glands formed by chief cells in the corpus-antrum transition zone.

Applications for Pepsinogen I Antibody (HMV318)

Application
Recommended Usage

Immunohistochemistry-Paraffin

1:100-1:200
Application Notes
IHC-P: Heat-induced antigen retrieval for 5 minutes in an autoclave at 121C in Antigen retrieval buffer, pH 7.8.

Formulation, Preparation, and Storage

Purification

Protein A purified

Formulation

PBS, 2% BSA

Preservative

0.025% Proclin 300

Concentration

Concentrations vary lot to lot. See vial label for concentration. If unlisted please contact technical services.

Shipping

The product is shipped with polar packs. Upon receipt, store it immediately at the temperature recommended below.

Stability & Storage

Store at 4C short term. Aliquot and store at -20C long term. Avoid freeze-thaw cycles.

Background: Pepsinogen I

Pepsinogen consists of a single polypeptide chain of 375 amino acids with an average molecular weight of 42 kDa. Pepsinogen I is synthesized by gastric chief cells and mucous neck cells.

Alternate Names

pepsinogen 3, group I (pepsinogen A)

Gene Symbol

PGA3

Additional Pepsinogen I Products

Product Documents for Pepsinogen I Antibody (HMV318)

Certificate of Analysis

To download a Certificate of Analysis, please enter a lot number in the search box below.

Product Specific Notices for Pepsinogen I Antibody (HMV318)

This product is for research use only and is not approved for use in humans or in clinical diagnosis. Primary Antibodies are guaranteed for 1 year from date of receipt.

Loading...
Loading...
Loading...
Loading...