Skip to main content

Pepsinogen C/PGC/Progastricsin Antibody (10Q1X2)

Novus Biologicals, part of Bio-Techne | Catalog # NBP3-33347

Novus Biologicals, part of Bio-Techne
Catalog #
Availability
Size / Price
Qty
Loading...
NBP3-33347-100ul
NBP3-33347-20ul

Key Product Details

Species Reactivity

Human, Mouse, Rat

Applications

Immunohistochemistry, Immunohistochemistry-Paraffin, ELISA

Label

Unconjugated

Antibody Source

Monoclonal Rabbit IgG Clone # 10Q1X2

Concentration

Please see the vial label for concentration. If unlisted please contact technical services.

Product Specifications

Immunogen

Recombinant fusion protein containing a sequence corresponding to amino acids 1-388 of human Pepsinogen C/PGC/Progastricsin (PG II) (NP_002621.1).

Sequence:
MKWMVVVLVCLQLLEAAVVKVPLKKFKSIRETMKEKGLLGEFLRTHKYDPAWKYRFGDLSVTYEPMAYMDAAYFGEISIGTPPQNFLVLFDTGSSNLWVPSVYCQSQACTSHSRFNPSESSTYSTNGQTFSLQYGSGSLTGFFGYDTLTVQSIQVPNQEFGLSENEPGTNFVYAQFDGIMGLAYPALSVDEATTAMQGMVQEGALTSPVFSVYLSNQQGSSGGAVVFGGVDSSLYTGQIYWAPVTQELYWQIGIEEFLIGGQASGWCSEGCQAIVDTGTSLLTVPQQYMSALLQATGAQEDEYGQFLVNCNSIQNLPSLTFIINGVEFPLPPSSYILSNNGYCTVGVEPTYLSSQNGQPLWILGDVFLRSYYSVYDLGNNRVGFATAA

Clonality

Monoclonal

Host

Rabbit

Isotype

IgG

Theoretical MW

42 kDa.
Disclaimer note: The observed molecular weight of the protein may vary from the listed predicted molecular weight due to post translational modifications, post translation cleavages, relative charges, and other experimental factors.

Description

Novus Biologicals Rabbit Pepsinogen C/PGC/Progastricsin Antibody (10Q1X2) (NBP3-33347) is a monoclonal antibody validated for use in IHC and ELISA. All Novus Biologicals antibodies are covered by our 100% guarantee.

Scientific Data Images for Pepsinogen C/PGC/Progastricsin Antibody (10Q1X2)

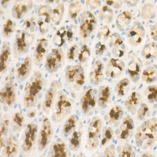
Pepsinogen C/PGC/Progastricsin Antibody (10Q1X2)

Immunohistochemistry: Pepsinogen C/PGC/Progastricsin Antibody (10Q1X2) [NBP3-33347] -

Immunohistochemistry: Pepsinogen C/PGC/Progastricsin Antibody (10Q1X2) [NBP3-33347] - Immunohistochemistry analysis of paraffin-embedded Human stomach using Pepsinogen C/PGC/Progastricsin(PG II) Rabbit mAb at dilution of 1:100 (40x lens). High pressure antigen retrieval performed with 0.01M Citrate Bufferr (pH 6.0) prior to IHC staining.
Pepsinogen C/PGC/Progastricsin Antibody (10Q1X2)

Immunohistochemistry: Pepsinogen C/PGC/Progastricsin Antibody (10Q1X2) [NBP3-33347] -

Immunohistochemistry: Pepsinogen C/PGC/Progastricsin Antibody (10Q1X2) [NBP3-33347] - Immunohistochemistry analysis of paraffin-embedded Mouse stomach using Pepsinogen C/PGC/Progastricsin(PG II) Rabbit mAb at dilution of 1:100 (40x lens). High pressure antigen retrieval performed with 0.01M Citrate Bufferr (pH 6.0) prior to IHC staining.
Pepsinogen C/PGC/Progastricsin Antibody (10Q1X2)

Immunohistochemistry: Pepsinogen C/PGC/Progastricsin Antibody (10Q1X2) [NBP3-33347] -

Immunohistochemistry: Pepsinogen C/PGC/Progastricsin Antibody (10Q1X2) [NBP3-33347] - Immunohistochemistry analysis of paraffin-embedded Rat stomach using Pepsinogen C/PGC/Progastricsin(PG II) Rabbit mAb at dilution of 1:100 (40x lens). High pressure antigen retrieval performed with 0.01M Citrate Bufferr (pH 6.0) prior to IHC staining.

Applications for Pepsinogen C/PGC/Progastricsin Antibody (10Q1X2)

Application
Recommended Usage

ELISA

Recommended starting concentration is 1 ug/mL

Immunohistochemistry-Paraffin

1:50 - 1:200

Formulation, Preparation, and Storage

Purification

Affinity purified

Formulation

PBS (pH 7.3), 50% glycerol, 0.05% BSA

Preservative

0.05% Proclin 300

Concentration

Please see the vial label for concentration. If unlisted please contact technical services.

Shipping

The product is shipped with polar packs. Upon receipt, store it immediately at the temperature recommended below.

Stability & Storage

Store at -20C. Avoid freeze-thaw cycles.

Background: Pepsinogen C/PGC

The Progastricsin gene encodes an aspartic proteinase that belongs to the peptidase family A1. The encoded protein is a digestive enzyme that is produced in the stomach and constitutes a major component of the gastric mucosa. This protein is also secreted into the ser

Alternate Names

Gastricsin, PEPC, PGC, PGII

Gene Symbol

PGC

Additional Pepsinogen C/PGC Products

Product Documents for Pepsinogen C/PGC/Progastricsin Antibody (10Q1X2)

Certificate of Analysis

To download a Certificate of Analysis, please enter a lot number in the search box below.

Product Specific Notices for Pepsinogen C/PGC/Progastricsin Antibody (10Q1X2)

This product is for research use only and is not approved for use in humans or in clinical diagnosis. Primary Antibodies are guaranteed for 1 year from date of receipt.

Loading...
Loading...
Loading...
Loading...