PDGFR alpha Antibody (JF104-6)
Novus Biologicals, part of Bio-Techne | Catalog # NBP2-67025
Recombinant Monoclonal Antibody
Key Product Details
Species Reactivity
Validated:
Human, Mouse, Rat
Cited:
Rat
Applications
Validated:
Immunohistochemistry, Immunohistochemistry-Paraffin, Western Blot, Flow Cytometry, Immunocytochemistry/ Immunofluorescence
Cited:
Western Blot
Label
Unconjugated
Antibody Source
Recombinant Monoclonal Rabbit IgG Clone # JF104-6 expressed in HEK293
Concentration
1 mg/ml
Product Specifications
Immunogen
Synthetic peptide within C-terminal human PDGFR alpha. (SwissProt: P16234 Human; SwissProt: P26618 Mouse; SwissProt: P20786 Rat)
Localization
Golgi apparatus, Cell membrane, cilium.
Clonality
Monoclonal
Host
Rabbit
Isotype
IgG
Theoretical MW
123 kDa.
Disclaimer note: The observed molecular weight of the protein may vary from the listed predicted molecular weight due to post translational modifications, post translation cleavages, relative charges, and other experimental factors.
Disclaimer note: The observed molecular weight of the protein may vary from the listed predicted molecular weight due to post translational modifications, post translation cleavages, relative charges, and other experimental factors.
Scientific Data Images for PDGFR alpha Antibody (JF104-6)
Western Blot: PDGFR alpha Antibody (JF104-6) [NBP2-67025]
Western Blot: PDGFR alpha Antibody (JF104-6) [NBP2-67025] - Western blot analysis of PDGFR alpha on SHG-44 cell lysates. Proteins were transferred to a PVDF membrane and blocked with 5% BSA in PBS for 1 hour at room temperature. The primary antibody (1/500) was used in 5% BSA at room temperature for 2 hours. Goat Anti-Rabbit IgG - HRP Secondary Antibody (HA1001) at 1:5,000 dilution was used for 1 hour at room temperature.Immunocytochemistry/ Immunofluorescence: PDGFR alpha Antibody (JF104-6) [NBP2-67025]
Immunocytochemistry/Immunofluorescence: PDGFR alpha Antibody (JF104-6) [NBP2-67025] - Staining PDGFR alpha in NIH/3T3 cells (red). The nuclear counter stain is DAPI (blue). Cells were fixed in paraformaldehyde, permeabilised with 0.25% Triton X100/PBS.Immunohistochemistry-Paraffin: PDGFR alpha Antibody (JF104-6) [NBP2-67025]
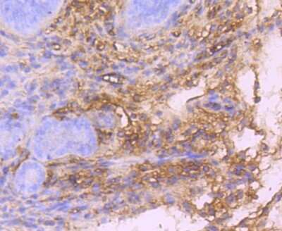
Immunohistochemistry-Paraffin: PDGFR alpha Antibody (JF104-6) [NBP2-67025] - Analysis of paraffin-embedded mouse uterus tissue using anti-PDGFR alpha antibody. Counter stained with hematoxylin.Applications for PDGFR alpha Antibody (JF104-6)
Application
Recommended Usage
Flow Cytometry
1:50-1:100
Immunocytochemistry/ Immunofluorescence
1:50-1:200
Immunohistochemistry-Paraffin
1:50-1:200
Western Blot
1:500-1:2000
Formulation, Preparation, and Storage
Purification
Protein A purified
Formulation
TBS (pH7.4), 0.05% BSA, 40% Glycerol
Preservative
0.05% Sodium Azide
Concentration
1 mg/ml
Shipping
The product is shipped with polar packs. Upon receipt, store it immediately at the temperature recommended below.
Stability & Storage
Store at 4C short term. Aliquot and store at -20C long term. Avoid freeze-thaw cycles.
Background: PDGF R alpha
Long Name
Platelet-derived Growth Factor Receptor alpha
Alternate Names
CD140a, PDGFR alpha, PDGFRA
Gene Symbol
PDGFRA
Additional PDGF R alpha Products
Product Documents for PDGFR alpha Antibody (JF104-6)
Product Specific Notices for PDGFR alpha Antibody (JF104-6)
This product is for research use only and is not approved for use in humans or in clinical diagnosis. Primary Antibodies are guaranteed for 1 year from date of receipt.
Loading...
Loading...
Loading...
Loading...
Loading...