Skip to main content

PD-1 Antibody (PDCD1/7276R)

Novus Biologicals, part of Bio-Techne | Catalog # NBP3-20287

Recombinant Monoclonal Antibody
Novus Biologicals, part of Bio-Techne
Catalog #
Availability
Size / Price
Qty
Loading...
NBP3-20287-100ug
NBP3-20287-20ug

Key Product Details

Species Reactivity

Human

Applications

Immunohistochemistry-Paraffin, ELISA

Label

Unconjugated

Antibody Source

Recombinant Monoclonal Rabbit IgG Kappa Clone # PDCD1/7276R

Concentration

0.2 mg/ml

Product Specifications

Immunogen

Recombinant fragment corresponding to extracellular domain of human PD-1 protein (exact sequence is proprietary)

Localization

Cell surface. Cytoplasm.

Clonality

Monoclonal

Host

Rabbit

Isotype

IgG Kappa

Description

Positive Controls: Human tonsil, lymph node or appendix.

Antibody with azide - store at 2 to 8C. Antibody without azide - store at -20 to -80C. Non-hazardous. No MSDS required.

Scientific Data Images for PD-1 Antibody (PDCD1/7276R)

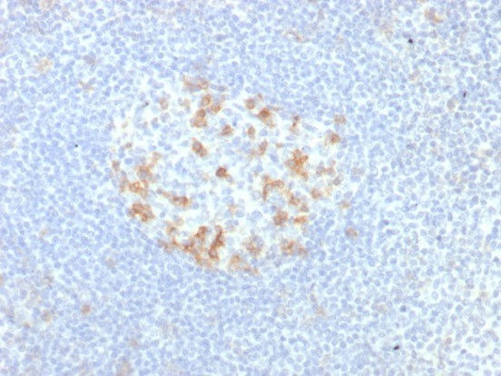
PD-1 Antibody (PDCD1/7276R)

PD-1 Antibody (PDCD1/7276R)

Formalin-fixed, paraffin-embedded human tonsil stained with PD-1 antibody (PDCD1/7276R). HIER: Tris/EDTA, pH9.0, 45min. Secondary: HRP-polymer, 30min. DAB, 5min.
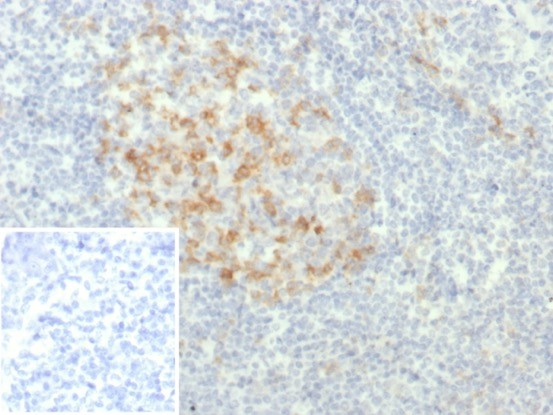
PD-1 Antibody (PDCD1/7276R)

PD-1 Antibody (PDCD1/7276R)

Formalin-fixed, paraffin-embedded human tonsil stained with PD-1 antibody (PDCD1/7276R). Inset: PBS instead of primary antibody; secondary only negative control.

Applications for PD-1 Antibody (PDCD1/7276R)

Application
Recommended Usage

Immunohistochemistry-Paraffin

1-2 ug/ml
Application Notes
ELISA: For coating, order antibody without BSA

Immunohistochemistry (Formalin-fixed): 1-2ug/ml for 30 minutes. at RT. Staining of formalin-fixed tissues requires heating tissue sections in 10mM Tris with 1mM EDTA, pH 9.0, for 45 min at 95C followed by cooling at RT for 20 minutes.

Optimal dilution for a specific application should be determined.

Formulation, Preparation, and Storage

Purification

Protein A or G purified

Formulation

10mM PBS with 0.05% BSA

Preservative

0.05% Sodium Azide

Concentration

0.2 mg/ml

Shipping

The product is shipped with polar packs. Upon receipt, store it immediately at the temperature recommended below.

Stability & Storage

Store at 4C. Do not freeze.

Background: PD-1

PD1 is an inhibitory cell membrane surface receptor from the immunoglobulin superfamily. Involved in the regulation of T cell function during immunity and tolerance, PD1 inhibits T cell effector functions upon ligand binding. The protein is expressed in pro-B-cells and is thought to play a role in their differentiation as well. Studies have also suggested that this gene product may also contribute to the prevention of autoimmune diseases.

Long Name

Programmed Death-1

Alternate Names

CD279, PD1, PDCD1, SLEB2

Gene Symbol

PDCD1

Additional PD-1 Products

Product Documents for PD-1 Antibody (PDCD1/7276R)

Certificate of Analysis

To download a Certificate of Analysis, please enter a lot number in the search box below.

Product Specific Notices for PD-1 Antibody (PDCD1/7276R)

This product is for research use only and is not approved for use in humans or in clinical diagnosis. Primary Antibodies are guaranteed for 1 year from date of receipt.

Loading...
Loading...
Loading...
Loading...