PCP4 Antibody (CL5306) - Azide and BSA Free
Novus Biologicals, part of Bio-Techne | Catalog # NBP3-43931
Conjugate
Catalog #
Forumulation
Catalog #
Key Product Details
Species Reactivity
Human, Mouse, Rat
Applications
Immunohistochemistry-Paraffin
Label
Unconjugated
Antibody Source
Monoclonal Mouse IgG1 Clone # CL5306
Format
Azide and BSA Free
Concentration
LYOPH mg/ml
Product Specifications
Immunogen
This antibody was generated using a recombinant protein sequence of P48539, with the exact immunogen sequence remaining proprietary.
Clonality
Monoclonal
Host
Mouse
Isotype
IgG1
Description
Novus Biologicals Mouse PCP4 Antibody (CL5306) - Azide and BSA Free (NBP2-61410) is a monoclonal antibody validated for use in IHC. All Novus Biologicals antibodies are covered by our 100% guarantee.
Scientific Data Images for PCP4 Antibody (CL5306) - Azide and BSA Free
Immunohistochemistry-Paraffin: PCP4 Antibody [NBP3-43931]
Staining of human cerebellum shows strong cytoplasmic positivity in Purkinje cells.Immunohistochemistry-Paraffin: PCP4 Antibody [NBP3-43931]
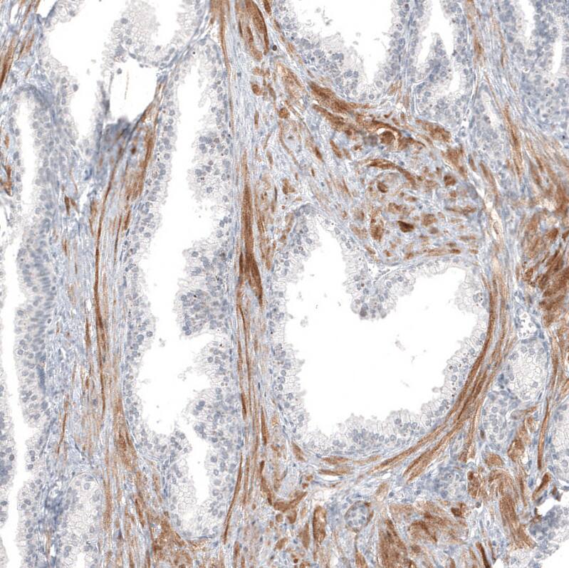
Staining of human prostate shows moderate cytoplasmic positivity in smooth muscle cells.Immunohistochemistry-Paraffin: PCP4 Antibody [NBP3-43931]
Staining of human tonsil shows no positivity in non-germinal center cells as expected.Applications for PCP4 Antibody (CL5306) - Azide and BSA Free
Application
Recommended Usage
Immunohistochemistry-Paraffin
1:500 - 1:1000
Application Notes
For IHC-Paraffin, HIER pH 6 retrieval is recommended.
Formulation, Preparation, and Storage
Purification
Protein A purified
Reconstitution
Centrifuge the vial of lyophilized antibody at 12,000 x g for 20 seconds. Reconstitute by adding sterile, distilled water to achieve a final antibody concentration of 1mg/ml.
Formulation
Lyophilized from a 0.2 um filtered solution in PBS with Trehalose
Format
Azide and BSA Free
Preservative
No Preservative
Concentration
LYOPH mg/ml
Shipping
The product is shipped at ambient temperature. Upon receipt, store it immediately at the temperature recommended below.
Stability & Storage
Store at 4C short term. Aliquot and store at -20C long term. Avoid freeze-thaw cycles.
Background: PCP4
Alternate Names
brain specific polypeptide PEP19, 10Brain-specific antigen PCP-4, Brain-specific polypeptide PEP-19, PEP19, PEP-19, Purkinje cell protein 4
Gene Symbol
PCP4
Additional PCP4 Products
Product Documents for PCP4 Antibody (CL5306) - Azide and BSA Free
Product Specific Notices for PCP4 Antibody (CL5306) - Azide and BSA Free
This product is for research use only and is not approved for use in humans or in clinical diagnosis. Primary Antibodies are guaranteed for 1 year from date of receipt.
Loading...
Loading...
Loading...
Loading...
Loading...