Skip to main content

PCBP2 Antibody (JE65-05)

Novus Biologicals, part of Bio-Techne | Catalog # NBP3-32724

Recombinant Monoclonal Antibody
Novus Biologicals, part of Bio-Techne
Catalog #
Availability
Size / Price
Qty
Loading...
NBP3-32724

Key Product Details

Species Reactivity

Human, Mouse

Applications

Immunohistochemistry, Immunohistochemistry-Paraffin, Western Blot

Label

Unconjugated

Antibody Source

Recombinant Monoclonal Rabbit IgG Clone # JE65-05 expressed in HEK293

Concentration

1 mg/ml

Product Specifications

Immunogen

Synthetic peptide within human PCBP2 aa 251-300/365. (Uniprot: Q15366)

Localization

Cytoplasm, Nucleus.

Clonality

Monoclonal

Host

Rabbit

Isotype

IgG

Theoretical MW

39 kDa.
Disclaimer note: The observed molecular weight of the protein may vary from the listed predicted molecular weight due to post translational modifications, post translation cleavages, relative charges, and other experimental factors.

Description

Novus Biologicals Rabbit PCBP2 Antibody (JE65-05) (NBP3-32724) is a recombinant monoclonal antibody validated for use in IHC and WB. All Novus Biologicals antibodies are covered by our 100% guarantee.

Scientific Data Images for PCBP2 Antibody (JE65-05)

PCBP2 Antibody (JE65-05)

Western Blot: PCBP2 Antibody (JE65-05) [NBP3-32724]

Western Blot: PCBP2 Antibody (JE65-05) [NBP3-32724] - Western blot analysis of PCBP2 on different lysates with Rabbit anti-PCBP2 antibody (NBP3-32724) at 1/500 dilution.

Lane 1: Jurkat cell lysate
Lane 2: Hela cell lysate
Lane 3: 293 cell lysate
Lane 4: RAW264.7 cell lysate

Lysates/proteins at 10 ug/Lane.

Predicted band size: 39 kDa
Observed band size: 39 kDa

Exposure time: 2 minutes;

10% SDS-PAGE gel.

Proteins were transferred to a PVDF membrane and blocked with 5% NFDM/TBST for 1 hour at room temperature. The primary antibody (NBP3-32724) at 1/500 dilution was used in 5% NFDM/TBST at room temperature for 2 hours. Goat Anti-Rabbit IgG - HRP Secondary Antibody at 1:300,000 dilution was used for 1 hour at room temperature.
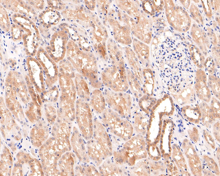
PCBP2 Antibody (JE65-05)

Immunohistochemistry: PCBP2 Antibody (JE65-05) [NBP3-32724]

Immunohistochemistry: PCBP2 Antibody (JE65-05) [NBP3-32724] - Immunohistochemical analysis of paraffin-embedded human kidney tissue with Rabbit anti-PCBP2 antibody (NBP3-32724) at 1/400 dilution.

The section was pre-treated using heat mediated antigen retrieval with Tris-EDTA buffer (pH 9.0) for 20 minutes. The tissues were blocked in 1% BSA for 20 minutes at room temperature, washed with ddH2O and PBS, and then probed with the primary antibody (NBP3-32724) at 1/400 dilution for 1 hour at room temperature. The detection was performed using an HRP conjugated compact polymer system. DAB was used as the chromogen. Tissues were counterstained with hematoxylin and mounted with DPX.

Applications for PCBP2 Antibody (JE65-05)

Application
Recommended Usage

Immunohistochemistry-Paraffin

1:400-1:500

Western Blot

1:500

Formulation, Preparation, and Storage

Purification

Protein A purified

Formulation

1*TBS (pH7.4), 0.05% BSA and 40% Glycerol

Preservative

0.05% Sodium Azide

Concentration

1 mg/ml

Shipping

The product is shipped with polar packs. Upon receipt, store it immediately at the temperature recommended below.

Stability & Storage

Store at 4C short term. Aliquot and store at -20C long term. Avoid freeze-thaw cycles.

Background: PCBP2

PCBP2 is encoded by this gene appears to be multifunctional. Along with PCBP-1 and hnRNPK, it is one of the major cellular poly(rC)-binding proteins. The encoded protein contains three K-homologous (KH) domains which may be involved in RNA binding. Together with PCBP-1, this protein also functions as a translational coactivator of poliovirus RNA via a sequence-specific interaction with stem-loop IV of the IRES, promoting poliovirus RNA replication by binding to its 5'-terminal cloverleaf structure. It has also been implicated in translational control of the 15-lipoxygenase mRNA, human papillomavirus type 16 L2 mRNA, and hepatitis A virus RNA. The encoded protein is also suggested to play a part in formation of a sequence-specific alpha-globin mRNP complex which is associated with alpha-globin mRNA stability. This multiexon structural mRNA is thought to be retrotransposed to generate PCBP-1, an intronless gene with functions similar to that of PCBP2. This gene and PCBP-1 have paralogous genes (PCBP3 and PCBP4) which are thought to have arisen as a result of duplication events of entire genes. Thsi gene also has two processed pseudogenes (PCBP2P1 and PCBP2P2). Multiple transcript variants encoding several different isoforms have been found for this gene, but the full-length nature of only three have been characterized to date.

Alternate Names

alpha-CP2, Heterogeneous nuclear ribonucleoprotein E2, heterogenous nuclear ribonucleoprotein E2, hnRNP E2, hnRNP-E2, HNRPE2, MGC110998, poly(rC) binding protein 2, poly(rC)-binding protein 2

Gene Symbol

PCBP2

Additional PCBP2 Products

Product Documents for PCBP2 Antibody (JE65-05)

Certificate of Analysis

To download a Certificate of Analysis, please enter a lot number in the search box below.

Product Specific Notices for PCBP2 Antibody (JE65-05)

This product is for research use only and is not approved for use in humans or in clinical diagnosis. Primary Antibodies are guaranteed for 1 year from date of receipt.

Loading...
Loading...
Loading...
Loading...