Skip to main content

Pax3 Antibody (PAX3/8426)

Novus Biologicals, part of Bio-Techne | Catalog # NBP3-20577

Novus Biologicals, part of Bio-Techne
Catalog #
Availability
Size / Price
Qty
Loading...
NBP3-20577-100ug
NBP3-20577-20ug

Key Product Details

Species Reactivity

Human

Applications

Immunohistochemistry-Paraffin

Label

Unconjugated

Antibody Source

Monoclonal Mouse IgG Clone # PAX3/8426

Concentration

0.2 mg/ml

Product Specifications

Immunogen

Recombinant human Pax3 protein

Localization

Nucleus.

Clonality

Monoclonal

Host

Mouse

Isotype

IgG

Description

Positive Controls: Human skin and skeletal muscle tissue.

Antibody with azide - store at 2 to 8C. Antibody without azide - store at -20 to -80C. Non-hazardous. No MSDS required.

Scientific Data Images for Pax3 Antibody (PAX3/8426)

Pax3 Antibody (PAX3/8426)

Pax3 Antibody (PAX3/8426)

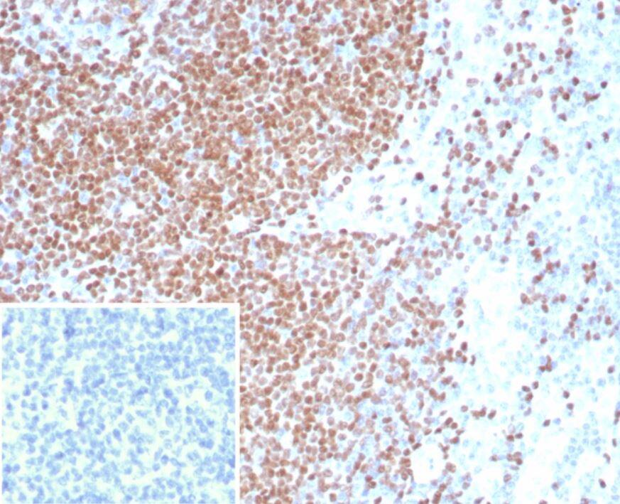
Formalin-fixed, paraffin-embedded human lymph node stained with Pax3 antibody (PAX3/8426). Inset: PBS instead of primary antibody; secondary only negative control.
Pax3 Antibody (PAX3/8426)

Immunohistochemistry-Paraffin: Pax3 Antibody (PAX3/8426) [NBP3-20577] -

Immunohistochemistry-Paraffin: Pax3 Antibody (PAX3/8426) [NBP3-20577] - Formalin-fixed, paraffin-embedded human lymph node stained with Pax3 antibody (PAX3/8426). Inset: PBS instead of primary antibody; secondary only negative control.

Applications for Pax3 Antibody (PAX3/8426)

Application
Recommended Usage

Immunohistochemistry-Paraffin

1-2 ug/ml
Application Notes
Immunohistochemistry (Formalin-fixed): 1-2ug/ml for 30 minutes. at RT. Staining of formalin-fixed tissues requires heating tissue sections in 10mM Tris with 1mM EDTA, pH 9.0, for 45 min at 95C followed by cooling at RT for 20 minutes.

Optimal dilution for a specific application should be determined.

Formulation, Preparation, and Storage

Purification

Protein A or G purified

Formulation

10mM PBS with 0.05% BSA

Preservative

0.05% Sodium Azide

Concentration

0.2 mg/ml

Shipping

The product is shipped with polar packs. Upon receipt, store it immediately at the temperature recommended below.

Stability & Storage

Store at 4C. Do not freeze.

Background: Pax3

PAX3 is a member of the paired box (PAX) family of transcription factors. Members of the PAX family typically contain a paired box domain and a paired-type homeodomain. These proteins play critical roles during fetal development. Mutations in paired box gene 3 are associated with Waardenburg syndrome, craniofacial-deafness-hand syndrome, and alveolar rhabdomyosarcoma. The translocation t(2;13)(q35;q14), which represents a fusion between PAX3 and the forkhead gene, is a frequent finding in alveolar rhabdomyosarcoma. Alternative splicing results in transcripts encoding isoforms with different C-termini.

Long Name

Paired Box Gene 3 [Waardenburg Syndrome 1]

Alternate Names

HUP2, WS1

Gene Symbol

PAX3

UniProt

Additional Pax3 Products

Product Documents for Pax3 Antibody (PAX3/8426)

Certificate of Analysis

To download a Certificate of Analysis, please enter a lot number in the search box below.

Product Specific Notices for Pax3 Antibody (PAX3/8426)

This product is for research use only and is not approved for use in humans or in clinical diagnosis. Primary Antibodies are guaranteed for 1 year from date of receipt.

Loading...
Loading...
Loading...
Loading...