PASK Antibody - BSA Free
Novus Biologicals, part of Bio-Techne | Catalog # NBP2-19704
Key Product Details
Species Reactivity
Human, Mouse
Applications
Immunohistochemistry, Immunohistochemistry-Paraffin, Western Blot, Immunocytochemistry/ Immunofluorescence
Label
Unconjugated
Antibody Source
Polyclonal Rabbit IgG
Format
BSA Free
Concentration
Concentrations vary lot to lot. See vial label for concentration. If unlisted please contact technical services.
Product Specifications
Immunogen
Recombinant protein encompassing a sequence within the C-terminus region of human PASK. The exact sequence is proprietary.
Localization
Cytoplasm
Clonality
Polyclonal
Host
Rabbit
Isotype
IgG
Theoretical MW
143 kDa.
Disclaimer note: The observed molecular weight of the protein may vary from the listed predicted molecular weight due to post translational modifications, post translation cleavages, relative charges, and other experimental factors.
Disclaimer note: The observed molecular weight of the protein may vary from the listed predicted molecular weight due to post translational modifications, post translation cleavages, relative charges, and other experimental factors.
Description
Novus Biologicals Rabbit PASK Antibody - BSA Free (NBP2-19704) is a polyclonal antibody validated for use in IHC, WB and ICC/IF. All Novus Biologicals antibodies are covered by our 100% guarantee.
Scientific Data Images for PASK Antibody - BSA Free
Western Blot: PASK Antibody [NBP2-19704]
Western Blot: PASK Antibody [NBP2-19704] - Sample (50 ug of whole cell lysate) A: Mouse Brain, 5% SDS PAGE gel, diluted at 1:1000.Immunocytochemistry/ Immunofluorescence: PASK Antibody [NBP2-19704]
Immunocytochemistry/Immunofluorescence: PASK Antibody [NBP2-19704] - Analysis of methanol-fixed HeLa, using antibody at 1:500 dilution.Immunohistochemistry-Paraffin: PASK Antibody [NBP2-19704]
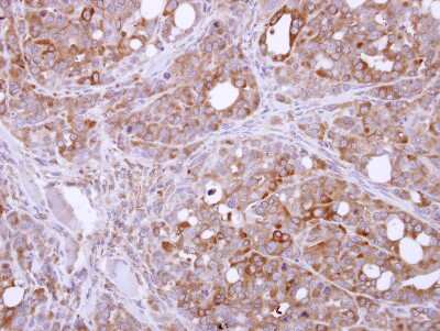
Immunohistochemistry-Paraffin: PASK Antibody [NBP2-19704] - xenograft, using PASK antibody at 1:500 dilution. Antigen Retrieval: Citrate buffer, pH 6.0, 15 min.Applications for PASK Antibody - BSA Free
Application
Recommended Usage
Immunocytochemistry/ Immunofluorescence
1:100-1:1000
Immunohistochemistry
1:100-1:1000
Immunohistochemistry-Paraffin
1:100-1:1000
Western Blot
1:500-1:3000
Formulation, Preparation, and Storage
Purification
Antigen Affinity-purified
Formulation
0.1M Tris, 0.1M Glycine, 10% Glycerol
Format
BSA Free
Preservative
0.01% Thimerosal
Concentration
Concentrations vary lot to lot. See vial label for concentration. If unlisted please contact technical services.
Shipping
The product is shipped with polar packs. Upon receipt, store it immediately at the temperature recommended below.
Stability & Storage
Aliquot and store at -20C or -80C. Avoid freeze-thaw cycles.
Background: PASK
Alternate Names
DKFZp434O051, EC 2.7.11.1, hPASK, KIAA0135DKFZp686P2031, PAS domain containing serine/threonine kinase, PAS-kinase, PASKINPAS domain-containing serine/threonine-protein kinase, PAS-serine/threonine kinase, STK37
Gene Symbol
PASK
UniProt
Additional PASK Products
Product Documents for PASK Antibody - BSA Free
Product Specific Notices for PASK Antibody - BSA Free
This product is for research use only and is not approved for use in humans or in clinical diagnosis. Primary Antibodies are guaranteed for 1 year from date of receipt.
Loading...
Loading...
Loading...
Loading...
⚠ WARNING: This product can expose you to chemicals including mercury, which is known to the State of California to cause reproductive toxicity with developmental effects. For more information go to www.P65Warnings.ca.gov.