Skip to main content

PASK Antibody (OTI8G9)

Novus Biologicals, part of Bio-Techne | Catalog # NBP2-02242

Catalog #
Availability
Size / Price
Qty
Loading...
NBP2-02242
Conjugate
Catalog #

Key Product Details

Species Reactivity

Human

Applications

Immunohistochemistry, Immunohistochemistry-Paraffin, Western Blot, Flow Cytometry, Immunocytochemistry/ Immunofluorescence

Label

Unconjugated

Antibody Source

Monoclonal Mouse IgG2A Clone # OTI8G9

Concentration

0.93 mg/ml

Product Specifications

Immunogen

Full length human recombinant protein of human PASK (NP_055963) produced in HEK293T cell.

Clonality

Monoclonal

Host

Mouse

Isotype

IgG2A

Theoretical MW

142.7 kDa.
Disclaimer note: The observed molecular weight of the protein may vary from the listed predicted molecular weight due to post translational modifications, post translation cleavages, relative charges, and other experimental factors.

Scientific Data Images for PASK Antibody (OTI8G9)

Western Blot: PASK Antibody (OTI8G9) [NBP2-02242]

Western Blot: PASK Antibody (OTI8G9) [NBP2-02242]

Western Blot: PASK Antibody (8G9) [NBP2-02242] - HEK293T cells were transfected with the pCMV6-ENTRY control (Left lane) or pCMV6-ENTRY PASK (Right lane) cDNA for 48 hrs and lysed. Equivalent amounts of cell lysates (5 ug per lane) were separated by SDS-PAGE and immunoblotted with anti-PASK.
Immunocytochemistry/Immunofluorescence: PASK Antibody (8G9) [NBP2-02242] Staining of COS7 cells transiently transfected by pCMV6-ENTRY PASK.
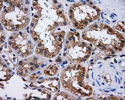
Immunohistochemistry-Paraffin: PASK Antibody (OTI8G9) [NBP2-02242]

Immunohistochemistry-Paraffin: PASK Antibody (OTI8G9) [NBP2-02242]

Immunohistochemistry-Paraffin: PASK Antibody (8G9) [NBP2-02242] - Staining of paraffin-embedded Human pancreas tissue using anti-PASK mouse monoclonal antibody.

Applications for PASK Antibody (OTI8G9)

Application
Recommended Usage

Flow Cytometry

1:100

Immunocytochemistry/ Immunofluorescence

1:100

Immunohistochemistry

1:50

Immunohistochemistry-Paraffin

1:50

Western Blot

1:2000

Formulation, Preparation, and Storage

Purification

Immunogen affinity purified

Formulation

PBS (pH 7.3), 1.0% BSA and 50% Glycerol

Preservative

0.02% Sodium Azide

Concentration

0.93 mg/ml

Shipping

The product is shipped with polar packs. Upon receipt, store it immediately at the temperature recommended below.

Stability & Storage

Store at -20C. Avoid freeze-thaw cycles.

Background: PASK

PAS domains regulate the function of many intracellular signaling pathways in response to both extrinsic and intrinsic stimuli. PASK is an evolutionarily conserved protein present in yeast, flies, and mammals.[supplied by OMIM].

Alternate Names

DKFZp434O051, EC 2.7.11.1, hPASK, KIAA0135DKFZp686P2031, PAS domain containing serine/threonine kinase, PAS-kinase, PASKINPAS domain-containing serine/threonine-protein kinase, PAS-serine/threonine kinase, STK37

Entrez Gene IDs

23178 (Human)

Gene Symbol

PASK

Additional PASK Products

Product Documents for PASK Antibody (OTI8G9)

Certificate of Analysis

To download a Certificate of Analysis, please enter a lot number in the search box below.

Product Specific Notices for PASK Antibody (OTI8G9)

This product is for research use only and is not approved for use in humans or in clinical diagnosis. Primary Antibodies are guaranteed for 1 year from date of receipt.

Loading...
Loading...
Loading...
Loading...
Loading...