Skip to main content

PAR2 Antibody

Novus Biologicals, part of Bio-Techne | Catalog # NBP2-11250

Novus Biologicals, part of Bio-Techne
Catalog #
Availability
Size / Price
Qty
Loading...
NBP2-11250
NBP2-11250-0.025mg
NBP2-11250-0.05mg

Key Product Details

Species Reactivity

Human, Mouse, Rat, Monkey

Applications

Immunohistochemistry, Immunohistochemistry-Paraffin, Western Blot, ELISA, Immunoprecipitation

Label

Unconjugated

Antibody Source

Polyclonal Rabbit IgG

Concentration

0.5 mg/ml

Product Specifications

Immunogen

Synthetic peptide taken within amino acid region 300-370 of mouse PAR2.

Epitope

yfvskdfrdhar nallc

Reactivity Notes

Chimpanzee (100%).

Specificity

This antibody detects a band of approximately 50kDa PAR2 protein in samples and a 52kDa protein in rat hippocampal samples. The antibody also labels a faint band of 110kDa in hippocampal membranes, probably represents either an uncharacterized variant of PAR2 or a non-specific protein.

Clonality

Polyclonal

Host

Rabbit

Isotype

IgG

Theoretical MW

50 kDa.
Disclaimer note: The observed molecular weight of the protein may vary from the listed predicted molecular weight due to post translational modifications, post translation cleavages, relative charges, and other experimental factors.

Description

Novus Biologicals Rabbit PAR2 Antibody (NBP2-11250) is a polyclonal antibody validated for use in IHC, WB, ELISA and IP. All Novus Biologicals antibodies are covered by our 100% guarantee.

Scientific Data Images for PAR2 Antibody

Western Blot: PAR2 Antibody [NBP2-11250]

Western Blot: PAR2 Antibody [NBP2-11250]

Western Blot: PAR2 Antibody [NBP2-11250] - 1:500 antibody dilution in DiluObuffer. Apparent MW is 50 KDa.
Immunohistochemistry-Paraffin: PAR2 Antibody [NBP2-11250]

Immunohistochemistry-Paraffin: PAR2 Antibody [NBP2-11250]

Immunohistochemistry-Paraffin: PAR2 Antibody [NBP2-11250] - 1:100 dilution in IHC blocking buffer. DAB (brown) staining and Hematoxylin QS (blue) counterstain. 40X magnification.
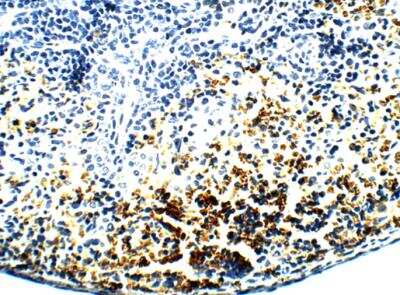
Immunohistochemistry-Paraffin: PAR2 Antibody [NBP2-11250]

Immunohistochemistry-Paraffin: PAR2 Antibody [NBP2-11250]

Immunohistochemistry-Paraffin: PAR2 Antibody [NBP2-11250] - 1:100 dilution in IHC blocking buffer. DAB (brown staining and Hematoxlyn QS (blue) counsterstain. FFPE section

Applications for PAR2 Antibody

Application
Recommended Usage

ELISA

1:1500-1:20000

Immunohistochemistry

1:100

Immunohistochemistry-Paraffin

1:100

Immunoprecipitation

1:200

Western Blot

1:250

Formulation, Preparation, and Storage

Purification

Immunogen affinity purified

Formulation

Tris/Glycine buffer, pH 7.4-7.8, HEPES,BSA 0.5%, glycerol 30%.

Preservative

0.02% Sodium Azide

Concentration

0.5 mg/ml

Shipping

The product is shipped with polar packs. Upon receipt, store it immediately at the temperature recommended below.

Stability & Storage

Store at 4C short term. Aliquot and store at -20C long term. Avoid freeze-thaw cycles.

Background: PAR2

Protease-activated receptor 2 (PAR2) is a G protein-coupled receptor irreversibly activated by extracellular proteases. Activated PAR2 couples to multiple heterotrimeric G-protein subtypes including Galphaq, Galphai and Galpha12/13 and is rapidly desensitized and internalized following phosphorylation and beta-arrestin binding. Proteolytic cleavage of PAR2 results in the formation of a new amino terminus that acts like a tethered ligand by binding intramolecularly to receptor to trigger trans membrane signaling. Activated PAR2 also signals independently of G-proteins through its interaction with beta-arrestins, which promotes sustained mitogen-activated protein kinase (MAPK) signaling, actin remodeling, and cell migration. PAR2 is irreversibly activated by extracellular proteases. PAR2 is profoundly localized in the vasculature, especially in endothelial cells, and is implicated in the control of vascular tone and homeostasis. Activation of endothelial PAR2 by endogenous serine protease or by PAR2-activating peptide (PAR2-APs, PAR2 agonist) causes vasodilation in vivo or isolated vessels mainly through nitric oxide (NO) and prostacyclin (PGI2) mechanisms. PAR2 is also expressed in certain types of metastatic cancers and stimulates tumor cell migration and invasion. Vascular PAR2 expression is up-regulated by inflammatory cytokines such as tumor necrosis factor alpha (TNF-a). Increased TNF-alpha expression in type 2 diabetic coronary arterioles induces activation of reactive oxygen species (ROS), leading to endothelial dysfunction. PAR2 activation promotes cell proliferation in various cancer cell types including colon, gastric, cervical and pancreatic cancer cells. PAR2 agonists induce Cox-2 expression in lung cancer cells, MMP 2/9 production in prostate cancer cells and vascular endothelial growth factor secretion in breast cancer cells. PAR2 is also associated with renal cell carcinoma progression. PAR2 activation has been linked to cancer progression, especially metastasis and angiogenesis as well as pro-inflammatory and anti-inflammatory properties depending on the system. Proteases that are released during inflammation and injury cleave PAR2 on primary afferent neurons to cause neurogenic inflammation and hyperalgesia. PAR2-induced thermal hyperalgesia depends on sensitization of transient receptor potential vanilloid receptor 1 (TRPV1), which is gated by capsaicin, protons and noxious heat. PAR2-induced thermal hyperalgesia depends on sensitization of TRPV1. PAR2 synthetic peptide was covalently modified to achieve desired antigenic properties and was conjugated to a carrier protein before used as immunogen to raise antibodies in rabbits.

Long Name

Protease-Activated Receptor 2

Alternate Names

CFIIRL1, F2RL1, GPCR11

Gene Symbol

F2RL1

Additional PAR2 Products

Product Documents for PAR2 Antibody

Certificate of Analysis

To download a Certificate of Analysis, please enter a lot number in the search box below.

Product Specific Notices for PAR2 Antibody

This product is for research use only and is not approved for use in humans or in clinical diagnosis. Primary Antibodies are guaranteed for 1 year from date of receipt.

Loading...
Loading...
Loading...
Loading...