Skip to main content

Pannexin-1 Antibody (JE38-97)

Novus Biologicals, part of Bio-Techne | Catalog # NBP3-32714

Recombinant Monoclonal Antibody
Novus Biologicals, part of Bio-Techne
Catalog #
Availability
Size / Price
Qty
Loading...
NBP3-32714

Key Product Details

Species Reactivity

Human, Mouse, Rat

Applications

Immunohistochemistry, Immunohistochemistry-Paraffin, Western Blot, Immunocytochemistry/ Immunofluorescence

Label

Unconjugated

Antibody Source

Recombinant Monoclonal Rabbit IgG Clone # JE38-97 expressed in HEK293

Concentration

1 mg/ml

Product Specifications

Immunogen

Synthetic peptide within Human Pannexin-1 aa 377-426 / 426. (Uniprot: Q96RD7)

Localization

Cell membrane, Cell junction, gap junction, Endoplasmic reticulum membrane.

Clonality

Monoclonal

Host

Rabbit

Isotype

IgG

Theoretical MW

24 kDa.
Disclaimer note: The observed molecular weight of the protein may vary from the listed predicted molecular weight due to post translational modifications, post translation cleavages, relative charges, and other experimental factors.

Description

Novus Biologicals Rabbit Pannexin-1 Antibody (JE38-97) (NBP3-32714) is a recombinant monoclonal antibody validated for use in IHC, WB and ICC/IF. All Novus Biologicals antibodies are covered by our 100% guarantee.

Scientific Data Images for Pannexin-1 Antibody (JE38-97)

Pannexin-1 Antibody (JE38-97)

Western Blot: Pannexin-1 Antibody (JE38-97) [NBP3-32714]

Western Blot: Pannexin-1 Antibody (JE38-97) [NBP3-32714] - Western blot analysis of Pannexin-1 on different lysates with Rabbit anti-Pannexin-1 antibody (NBP3-32714) at 1/1,000 dilution.

Lane 1: K-562 cell lysate (20 ug/Lane)
Lane 2: 293T cell lysate (20 ug/Lane)
Lane 3: U-87 MG cell lysate (20 ug/Lane)
Lane 4: Jurkat cell lysate (20 ug/Lane)
Lane 5: SH-SY5Y cell lysate (20 ug/Lane)
Lane 6: NIH/3T3 cell lysate (20 ug/Lane)
Lane 7: C2C12 cell lysate (20 ug/Lane)
Lane 8: Rat brain tissue lysate (40 ug/Lane)
Lane 9: Mouse brain tissue lysate (40 ug/Lane)

Predicted band size: 48 kDa
Observed band size: 50 kDa

Exposure time: 1 minutes;

4-20% SDS-PAGE gel.

Proteins were transferred to a PVDF membrane and blocked with 5% NFDM/TBST for 1 hour at room temperature. The primary antibody (NBP3-32714) at 1/1,000 dilution was used in 5% NFDM/TBST at 4 overnight. Goat Anti-Rabbit IgG - HRP Secondary Antibody at 1:50,000 dilution was used for 1 hour at room temperature.
Pannexin-1 Antibody (JE38-97)

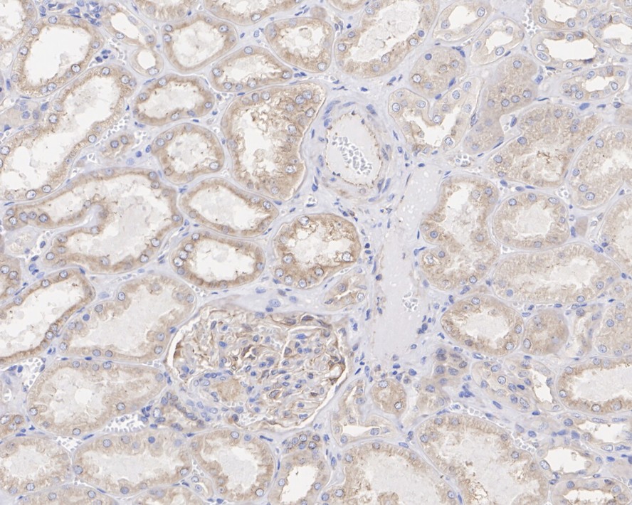
Immunohistochemistry: Pannexin-1 Antibody (JE38-97) [NBP3-32714]

Immunohistochemistry: Pannexin-1 Antibody (JE38-97) [NBP3-32714] - Immunohistochemical analysis of paraffin-embedded human kidney tissue with Rabbit anti-Pannexin-1 antibody (NBP3-32714) at 1/1,000 dilution.

The section was pre-treated using heat mediated antigen retrieval with Tris-EDTA buffer (pH 9.0) for 20 minutes. The tissues were blocked in 1% BSA for 20 minutes at room temperature, washed with ddH2O and PBS, and then probed with the primary antibody (NBP3-32714) at 1/1,000 dilution for 1 hour at room temperature. The detection was performed using an HRP conjugated compact polymer system. DAB was used as the chromogen. Tissues were counterstained with hematoxylin and mounted with DPX.
Pannexin-1 Antibody (JE38-97)

Immunocytochemistry/ Immunofluorescence: Pannexin-1 Antibody (JE38-97) [NBP3-32714]

Immunocytochemistry/ Immunofluorescence: Pannexin-1 Antibody (JE38-97) [NBP3-32714] - Immunocytochemistry analysis of 293T cells labeling Pannexin-1 with Rabbit anti-Pannexin-1 antibody (NBP3-32714) at 1/100 dilution.

Cells were fixed in 4% paraformaldehyde for 20 minutes at room temperature, permeabilized with 0.1% Triton X-100 in PBS for 5 minutes at room temperature, then blocked with 1% BSA in 10% negative goat serum for 1 hour at room temperature. Cells were then incubated with Rabbit anti-Pannexin-1 antibody (NBP3-32714) at 1/100 dilution in 1% BSA in PBST overnight at 4 ℃. Goat Anti-Rabbit IgG H&L (iFluor™ 488) was used as the secondary antibody at 1/1,000 dilution. PBS instead of the primary antibody was used as the secondary antibody only control. Nuclear DNA was labelled in blue with DAPI.

Beta tubulin (red) was stained at 1/100 dilution overnight at +4℃. Goat Anti-Mouse IgG H&L (iFluor™ 594) was used as the secondary antibody at 1/1,000 dilution.

Applications for Pannexin-1 Antibody (JE38-97)

Application
Recommended Usage

Immunocytochemistry/ Immunofluorescence

1:100

Immunohistochemistry-Paraffin

1:1000

Western Blot

1:1000

Formulation, Preparation, and Storage

Purification

Protein A purified

Formulation

1*TBS (pH7.4), 0.05% BSA and 40% Glycerol

Preservative

0.05% Sodium Azide

Concentration

1 mg/ml

Shipping

The product is shipped with polar packs. Upon receipt, store it immediately at the temperature recommended below.

Stability & Storage

Store at 4C short term. Aliquot and store at -20C long term. Avoid freeze-thaw cycles.

Background: Pannexin-1

The protein encoded by the Pannexin 1 gene belongs to the innexin family. Innexin family members are the structural components ofgap junctions. This protein and pannexin 2 are abundantly expressed in central nerve system (CNS) and are coexpressedin various neuronal populations. Studies in Xenopus oocytes suggest that this protein alone and in combination withpannexin 2 may form cell type-specific gap junctions with distinct properties. (provided by RefSeq)

Alternate Names

Innexin, MRS1, Pannexin1, PANX1, PX1

Gene Symbol

PANX1

Additional Pannexin-1 Products

Product Documents for Pannexin-1 Antibody (JE38-97)

Certificate of Analysis

To download a Certificate of Analysis, please enter a lot number in the search box below.

Product Specific Notices for Pannexin-1 Antibody (JE38-97)

This product is for research use only and is not approved for use in humans or in clinical diagnosis. Primary Antibodies are guaranteed for 1 year from date of receipt.

Loading...
Loading...
Loading...
Loading...