Skip to main content

Pancreatic Amylase Beta Antibody (OTI4B5)

Novus Biologicals, part of Bio-Techne | Catalog # NBP2-45492

Novus Biologicals, part of Bio-Techne
Catalog #
Availability
Size / Price
Qty
Loading...
NBP2-45492

Key Product Details

Species Reactivity

Human, Mouse

Applications

Immunohistochemistry, Immunohistochemistry-Paraffin, Western Blot

Label

Unconjugated

Antibody Source

Monoclonal Mouse IgG1 Clone # OTI4B5

Concentration

1 mg/ml

Product Specifications

Immunogen

Full length human recombinant protein of human AMY2B (NP_066188) produced in HEK293T cell.

Reactivity Notes

Please note that this antibody is reactive to Mouse and derived from the same host, Mouse. Mouse-On-Mouse blocking reagent may be needed for IHC and ICC experiments to reduce high background signal. You can find these reagents under catalog numbers PK-2200-NB and MP-2400-NB. Please contact Technical Support if you have any questions.

Clonality

Monoclonal

Host

Mouse

Isotype

IgG1

Theoretical MW

55.8 kDa.
Disclaimer note: The observed molecular weight of the protein may vary from the listed predicted molecular weight due to post translational modifications, post translation cleavages, relative charges, and other experimental factors.

Description

Novus Biologicals Mouse Pancreatic Amylase Beta Antibody (OTI4B5) (NBP2-45492) is a monoclonal antibody validated for use in IHC and WB. All Novus Biologicals antibodies are covered by our 100% guarantee.

Scientific Data Images for Pancreatic Amylase Beta Antibody (OTI4B5)

Western Blot: Pancreatic Amylase Beta Antibody (OTI4B5) [NBP2-45492]

Western Blot: Pancreatic Amylase Beta Antibody (OTI4B5) [NBP2-45492]

Western Blot: Pancreatic Amylase Beta Antibody (4B5) [NBP2-45492] - Analysis of HEK293T cells were transfected with the pCMV6-ENTRY control (Left lane) or pCMV6-ENTRY Amylase beta.
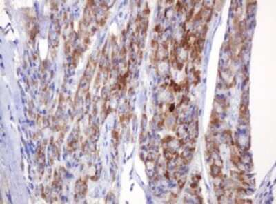
Immunohistochemistry: Pancreatic Amylase Beta Antibody (OTI4B5) [NBP2-45492]

Immunohistochemistry: Pancreatic Amylase Beta Antibody (OTI4B5) [NBP2-45492]

Immunohistochemistry: Pancreatic Amylase Beta Antibody (4B5) [NBP2-45492] - Analysis of Carcinoma of Human liver tissue.(Heat-induced epitope retrieval by 10mM citric buffer, pH6.0, 120C for 3min)
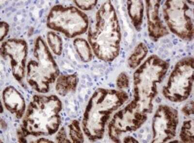
Immunohistochemistry: Pancreatic Amylase Beta Antibody (OTI4B5) [NBP2-45492]

Immunohistochemistry: Pancreatic Amylase Beta Antibody (OTI4B5) [NBP2-45492]

Immunohistochemistry: Pancreatic Amylase Beta Antibody (4B5) [NBP2-45492] - Analysis of Human Kidney tissue. (Heat-induced epitope retrieval by 10mM citric buffer, pH6.0, 120C for 3min)

Applications for Pancreatic Amylase Beta Antibody (OTI4B5)

Application
Recommended Usage

Immunohistochemistry

1:150

Immunohistochemistry-Paraffin

1:150

Western Blot

1:2000

Formulation, Preparation, and Storage

Purification

Immunogen affinity purified

Formulation

PBS (pH 7.3), 1.0% BSA and 50% Glycerol

Preservative

0.02% Sodium Azide

Concentration

1 mg/ml

Shipping

The product is shipped with polar packs. Upon receipt, store it immediately at the temperature recommended below.

Stability & Storage

Store at -20C. Avoid freeze-thaw cycles.

Background: Pancreatic Amylase Beta

Alternate Names

alpha-amylase 2B, AMY2, AMY2B amylase, alpha 2B (pancreatic)

Gene Symbol

AMY2B

Additional Pancreatic Amylase Beta Products

Product Documents for Pancreatic Amylase Beta Antibody (OTI4B5)

Certificate of Analysis

To download a Certificate of Analysis, please enter a lot number in the search box below.

Product Specific Notices for Pancreatic Amylase Beta Antibody (OTI4B5)

This product is for research use only and is not approved for use in humans or in clinical diagnosis. Primary Antibodies are guaranteed for 1 year from date of receipt.

Loading...
Loading...
Loading...
Loading...