Skip to main content

PAK1/2/3 [p Thr423, p Thr402, p Thr421] Antibody - BSA Free

Novus Biologicals, part of Bio-Techne | Catalog # NB100-82131

Novus Biologicals, part of Bio-Techne
Catalog #
Availability
Size / Price
Qty
Loading...
NB100-82131-0.025ml
NB100-82131

Key Product Details

Species Reactivity

Validated:

Human, Mouse, Rat

Cited:

Mouse

Applications

Validated:

Immunohistochemistry, Immunohistochemistry-Paraffin, Immunohistochemistry-Frozen, Western Blot

Cited:

Immunohistochemistry-Frozen, Western Blot

Label

Unconjugated

Antibody Source

Polyclonal Rabbit IgG

Format

BSA Free

Concentration

1.0 mg/ml

Product Specifications

Immunogen

The antiserum was produced against synthesized phosphopeptide derived from Human PAK1/2/3 around the phosphorylation site of threonine 423/402/421 (R-S-TP-M-V).

Modification

p Thr423, p Thr402, p Thr421

Specificity

Detects endogenous levels of PAK1/2/3 only when phosphorylated at threonine 423/402/421.

Clonality

Polyclonal

Host

Rabbit

Isotype

IgG

Theoretical MW

60 kDa.
Disclaimer note: The observed molecular weight of the protein may vary from the listed predicted molecular weight due to post translational modifications, post translation cleavages, relative charges, and other experimental factors.

Description

Novus Biologicals Rabbit PAK1/2/3 [p Thr423, p Thr402, p Thr421] Antibody - BSA Free (NB100-82131) is a polyclonal antibody validated for use in IHC and WB. Anti-PAK1/2/3 Antibody: Cited in 2 publications. All Novus Biologicals antibodies are covered by our 100% guarantee.

Scientific Data Images for PAK1/2/3 [p Thr423, p Thr402, p Thr421] Antibody - BSA Free

PAK1/2/3 [p Thr423, p Thr402, p Thr421] Antibody - BSA Free

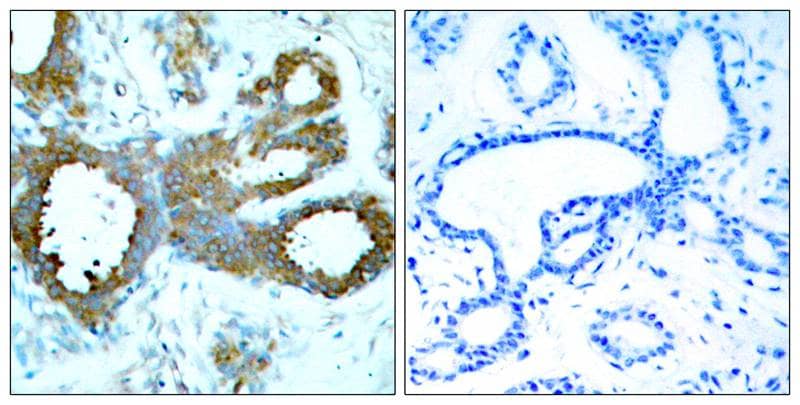
Immunohistochemistry-Paraffin: PAK1/2/3 [p Thr423, p Thr402, p Thr421] Antibody [NB100-82131] -

Immunohistochemistry-Paraffin: PAK1/2/3 [p Thr423, p Thr402, p Thr421] Antibody [NB100-82131] - Immunohistochemical analysis of paraffin-embedded human breast carcinoma tissue, using NB100-82131(left) or the same antibody preincubated with blocking peptide(right).
PAK1/2/3 [p Thr423, p Thr402, p Thr421] Antibody - BSA Free

Immunocytochemistry/Immunofluorescence: PAK1/2/3 [p Thr423, p Thr402, p Thr421] Antibody [NB100-82131] -

Immunocytochemistry/Immunofluorescence: PAK1/2/3 [p Thr423, p Thr402, p Thr421] Antibody [NB100-82131] - Staining of methanol-fixed Hela cells using NB100-82131

Applications for PAK1/2/3 [p Thr423, p Thr402, p Thr421] Antibody - BSA Free

Application
Recommended Usage

Immunohistochemistry

1:50-1:100
Application Notes
Use in Western blot reported in scientific literature (PMID 26821597). Use in Immunohistochemistry-Frozen reported in scientific literature (PMID: 29066727).

Formulation, Preparation, and Storage

Purification

Immunogen affinity purified

Formulation

PBS (without Mg2+ and Ca2+), pH 7.4, 150 mM NaCl, 50% glycerol

Format

BSA Free

Preservative

0.02% Sodium Azide

Concentration

1.0 mg/ml

Shipping

The product is shipped with polar packs. Upon receipt, store it immediately at the temperature recommended below.

Stability & Storage

Store at 4C short term. Aliquot and store at -20C long term. Avoid freeze-thaw cycles.

Background: PAK1/2/3

In mammals, there are several identified isoforms of p21 Activated Protein Kinases or PAKs: PAK1 and PAK3 are mostly brain specific, while PAK2 is expressed ubiquitously. Mutations of the gene coding for PAK3 are associated with X linked mental retardation and PAK3 is a key regulator of synapse formation and plasticity in the hippocampus. PAK3 is thought to play a key role in regulation of cell shape and motility as well as cell death.

Alternate Names

Alpha-PAK, EC 2.7.11, EC 2.7.11.1, MGC130000, MGC130001, p21 protein (Cdc42/Rac)-activated kinase 1, p21/Cdc42/Rac1-activated kinase 1 (STE20 homolog, yeast), p21/Cdc42/Rac1-activated kinase 1 (yeast Ste20-related), p21-activated kinase 1, p65-PAK, PAK-1, PAKalpha, serine/threonine-protein kinase PAK 1, STE20 homolog, yeast

Entrez Gene IDs

5058 (Human); 18479 (Mouse); 29431 (Rat)

Gene Symbol

PAK1

Additional PAK1/2/3 Products

Product Documents for PAK1/2/3 [p Thr423, p Thr402, p Thr421] Antibody - BSA Free

Certificate of Analysis

To download a Certificate of Analysis, please enter a lot number in the search box below.

Product Specific Notices for PAK1/2/3 [p Thr423, p Thr402, p Thr421] Antibody - BSA Free

This product is for research use only and is not approved for use in humans or in clinical diagnosis. Primary Antibodies are guaranteed for 1 year from date of receipt.

Loading...
Loading...
Loading...
Loading...