Skip to main content

P2X7/P2RX7 Antibody (CL11508) - Azide and BSA Free

Novus Biologicals, part of Bio-Techne | Catalog # NBP3-44150

Novus Biologicals, part of Bio-Techne
Catalog #
Availability
Size / Price
Qty
Loading...
NBP3-44150

Key Product Details

Species Reactivity

Human

Applications

Immunohistochemistry-Paraffin, Western Blot

Label

Unconjugated

Antibody Source

Monoclonal Mouse IgG2A Clone # CL11508

Format

Azide and BSA Free

Concentration

LYOPH mg/ml

Product Specifications

Immunogen

This antibody was generated using a recombinant protein sequence of Q99572, with the exact immunogen sequence remaining proprietary.

Clonality

Monoclonal

Host

Mouse

Isotype

IgG2A

Description

Novus Biologicals Mouse P2X7/P2RX7 Antibody (CL11508) - Azide and BSA Free (NBP3-21196) is a monoclonal antibody validated for use in IHC and WB. All Novus Biologicals antibodies are covered by our 100% guarantee.

Scientific Data Images for P2X7/P2RX7 Antibody (CL11508) - Azide and BSA Free

P2X7/P2RX7 Antibody (CL11508) - Azide and BSA Free Immunohistochemistry-Paraffin: P2X7/P2RX7 Antibody [NBP3-44150]

Immunohistochemistry-Paraffin: P2X7/P2RX7 Antibody [NBP3-44150]

Staining of human Cerebral cortex shows moderate positivity in neuronal processes in neuropil.
P2X7/P2RX7 Antibody (CL11508) - Azide and BSA Free Immunohistochemistry-Paraffin: P2X7/P2RX7 Antibody [NBP3-44150]

Immunohistochemistry-Paraffin: P2X7/P2RX7 Antibody [NBP3-44150]

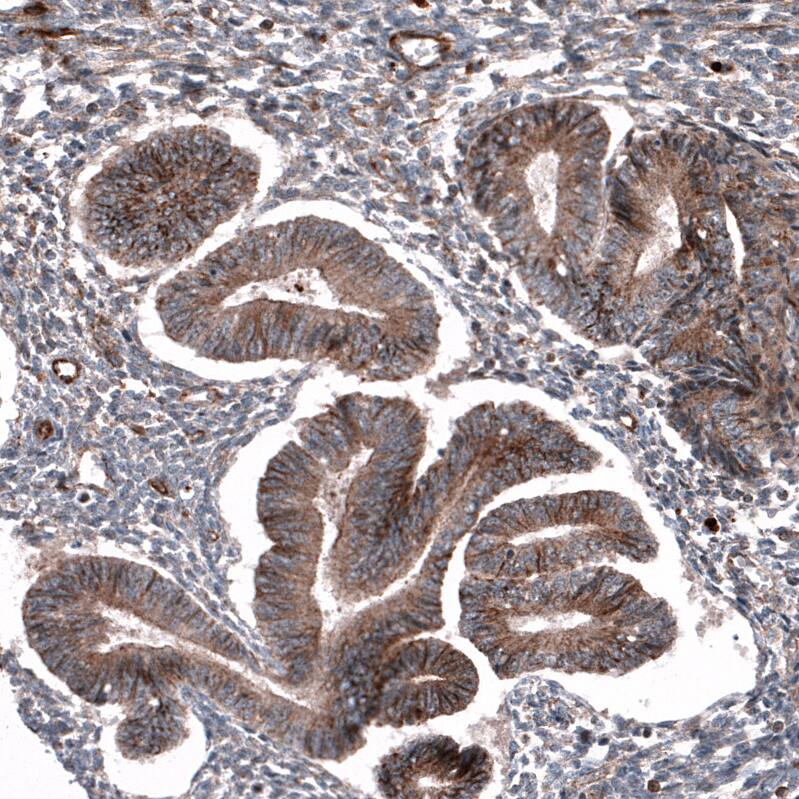
Staining of human Endometrium shows strong membranous positivity in glandular cells.
P2X7/P2RX7 Antibody (CL11508) - Azide and BSA Free Immunohistochemistry-Paraffin: P2X7/P2RX7 Antibody [NBP3-44150]

Immunohistochemistry-Paraffin: P2X7/P2RX7 Antibody [NBP3-44150]

Staining of human Cerebellum shows strong positivity in neuronal processes in neuropil.

Applications for P2X7/P2RX7 Antibody (CL11508) - Azide and BSA Free

Application
Recommended Usage

Immunohistochemistry-Paraffin

1:500- 1:1000

Western Blot

1 ug/ml
Application Notes
For IHC-Paraffin, HIER pH 6 retrieval is recommended.

Formulation, Preparation, and Storage

Purification

Protein A purified

Reconstitution

Centrifuge the vial of lyophilized antibody at 12,000 x g for 20 seconds. Reconstitute by adding sterile, distilled water to achieve a final antibody concentration of 1mg/ml.

Formulation

Lyophilized from a 0.2 um filtered solution in PBS with Trehalose

Format

Azide and BSA Free

Preservative

No Preservative

Concentration

LYOPH mg/ml

Shipping

The product is shipped at ambient temperature. Upon receipt, store it immediately at the temperature recommended below.

Stability & Storage

Store at 4C short term. Aliquot and store at -20C long term. Avoid freeze-thaw cycles.

Background: P2X7/P2RX7

FUNCTION: Receptor for ATP that acts as a ligand gated ion channel. Responsible for ATP-dependent lysis of macrophages through the formation of membrane pores permeable to large molecules. Could function in both fast synaptic transmission and the ATP-mediated lysis of antigen-presenting cells.; Subcellular location: Membrane; Multi-pass membrane protein.

Long Name

P2X Purinergic Receptor 7

Alternate Names

P2RX7

Gene Symbol

P2RX7

Additional P2X7/P2RX7 Products

Product Documents for P2X7/P2RX7 Antibody (CL11508) - Azide and BSA Free

Certificate of Analysis

To download a Certificate of Analysis, please enter a lot number in the search box below.

Product Specific Notices for P2X7/P2RX7 Antibody (CL11508) - Azide and BSA Free

This product is for research use only and is not approved for use in humans or in clinical diagnosis. Primary Antibodies are guaranteed for 1 year from date of receipt.

Loading...
Loading...
Loading...
Loading...
Loading...