Skip to main content

Oxytocin/Neurophysin I Antibody - BSA Free

Novus Biologicals, part of Bio-Techne | Catalog # NBP2-68928

Novus Biologicals, part of Bio-Techne
Catalog #
Availability
Size / Price
Qty
Loading...
NBP2-68928
NBP2-68928-25ul

Key Product Details

Species Reactivity

Validated:

Human, Rat

Predicted:

Mouse (95%). Backed by our 100% Guarantee.

Applications

Immunohistochemistry, Immunohistochemistry-Paraffin

Label

Unconjugated

Antibody Source

Polyclonal Rabbit IgG

Format

BSA Free

Concentration

Concentrations vary lot to lot. See vial label for concentration. If unlisted please contact technical services.

Product Specifications

Immunogen

This antibody was developed against a recombinant protein corresponding to amino acids: ICCAEELGCFVGTAEALRCQEENYLPSPCQSGQKACGS

Clonality

Polyclonal

Host

Rabbit

Isotype

IgG

Description

Novus Biologicals Rabbit Oxytocin/Neurophysin I Antibody - BSA Free (NBP2-68928) is a polyclonal antibody validated for use in IHC. All Novus Biologicals antibodies are covered by our 100% guarantee.

Scientific Data Images for Oxytocin/Neurophysin I Antibody - BSA Free

Immunohistochemistry-Paraffin: Oxytocin/Neurophysin I Antibody [NBP2-68928]

Immunohistochemistry-Paraffin: Oxytocin/Neurophysin I Antibody [NBP2-68928]

Immunohistochemistry-Paraffin: Oxytocin/Neurophysin I Antibody [NBP2-68928] - Staining of human skeletal muscle shows no positivity in myocytes as exptected.
Immunohistochemistry-Paraffin: Oxytocin/Neurophysin I Antibody [NBP2-68928]

Immunohistochemistry-Paraffin: Oxytocin/Neurophysin I Antibody [NBP2-68928]

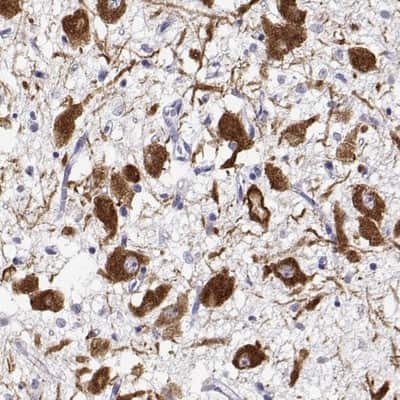
Immunohistochemistry-Paraffin: Oxytocin/Neurophysin I Antibody [NBP2-68928] - Staining of human hypothalamus shows strong cytoplasmic positivity in neuronal cells.
Immunohistochemistry-Paraffin: Oxytocin/Neurophysin I Antibody [NBP2-68928]

Immunohistochemistry-Paraffin: Oxytocin/Neurophysin I Antibody [NBP2-68928]

Immunohistochemistry-Paraffin: Oxytocin/Neurophysin I Antibody [NBP2-68928] - Staining of human ovary shows moderate cytoplasmic positivity in follicle cells.

Applications for Oxytocin/Neurophysin I Antibody - BSA Free

Application
Recommended Usage

Immunohistochemistry

1:500 - 1:1000

Immunohistochemistry-Paraffin

1:500 - 1:1000
Application Notes
Recommended conditions for IHC,Retrieval method: HIER pH6

Formulation, Preparation, and Storage

Purification

Affinity purified

Formulation

PBS (pH 7.2) and 40% Glycerol

Format

BSA Free

Preservative

0.02% Sodium Azide

Concentration

Concentrations vary lot to lot. See vial label for concentration. If unlisted please contact technical services.

Shipping

The product is shipped with polar packs. Upon receipt, store it immediately at the temperature recommended below.

Stability & Storage

Store at 4C short term. Aliquot and store at -20C long term. Avoid freeze-thaw cycles.

Background: Oxytocin/Neurophysin I

Alternate Names

neurophysin I, OT, OT-NPI, OXT, OXT-NPI, oxytocin, prepro- (neurophysin I), oxytocin, prepropeptide, oxytocin-neurophysin 1, oxytocin-neurophysin I, preproprotein

Gene Symbol

OXT

Additional Oxytocin/Neurophysin I Products

Product Documents for Oxytocin/Neurophysin I Antibody - BSA Free

Certificate of Analysis

To download a Certificate of Analysis, please enter a lot number in the search box below.

Product Specific Notices for Oxytocin/Neurophysin I Antibody - BSA Free

This product is for research use only and is not approved for use in humans or in clinical diagnosis. Primary Antibodies are guaranteed for 1 year from date of receipt.

Loading...
Loading...
Loading...
Loading...