Skip to main content

Osteopontin/OPN Antibody (1B20) - BSA Free

Novus Biologicals, part of Bio-Techne | Catalog # NB110-89062

Novus Biologicals, part of Bio-Techne
Catalog #
Availability
Size / Price
Qty
Loading...
NB110-89062
NB110-89062SS

Key Product Details

Validated by

Biological Validation

Species Reactivity

Validated:

Human, Mouse, Rat, Rabbit

Cited:

Human, Mouse, Rat, Bovine, Rabbit

Applications

Validated:

Immunohistochemistry, Immunohistochemistry-Paraffin, Immunohistochemistry-Frozen, Western Blot, Immunocytochemistry/ Immunofluorescence, Simple Western, Immunoprecipitation

Cited:

Immunohistochemistry, Immunohistochemistry-Paraffin, Immunohistochemistry-Frozen, Western Blot, Immunocytochemistry/ Immunofluorescence, Simple Western, IF/IHC

Label

Unconjugated

Antibody Source

Monoclonal Mouse IgG1 Clone # 1B20

Format

BSA Free

Concentration

1 mg/ml

Product Specifications

Immunogen

Synthetic peptide corresponding to the C-terminus of human Osteopontin [Swiss-Prot# P10451].

Reactivity Notes

Human, Rat and Rabbit. Rabbit reactivity reported in scientific literature (PMID:33001866). Use in Mouse reported in scientific literature (PMID:33580126).

Localization

Secreted.

Clonality

Monoclonal

Host

Mouse

Isotype

IgG1

Description

Novus Biologicals Mouse Osteopontin/OPN Antibody (1B20) - BSA Free (NB110-89062) is a monoclonal antibody validated for use in IHC, WB, ICC/IF, Simple Western and IP. Anti-Osteopontin/OPN Antibody: Cited in 34 publications. All Novus Biologicals antibodies are covered by our 100% guarantee.

Scientific Data Images for Osteopontin/OPN Antibody (1B20) - BSA Free

Western Blot: Osteopontin/OPN Antibody (1B20)BSA Free [NB110-89062]

Western Blot: Osteopontin/OPN Antibody (1B20)BSA Free [NB110-89062]

Western Blot: Osteopontin/OPN Antibody (1B20) - BSA Free [NB110-89062] - Analysis of Osteopontin expression in U2OS whole cell lysate.
Immunocytochemistry/ Immunofluorescence: Osteopontin/OPN Antibody (1B20) - BSA Free [NB110-89062]

Immunocytochemistry/ Immunofluorescence: Osteopontin/OPN Antibody (1B20) - BSA Free [NB110-89062]

Immunocytochemistry/Immunofluorescence: Osteopontin/OPN Antibody (1B20) - BSA Free [NB110-89062] - Osteopontin antibody was tested at 1:50 in U2OS cells with FITC (green). Nuclei and actin were counterstained with Dapi (blue) and Phalloidin (red).
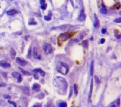
Immunohistochemistry: Osteopontin/OPN Antibody (1B20) - BSA Free [NB110-89062]

Immunohistochemistry: Osteopontin/OPN Antibody (1B20) - BSA Free [NB110-89062]

Osteopontin-OPN-Antibody-1B20-BSA-Free-Immunohistochemistry-NB110-89062-img0012.jpg

Applications for Osteopontin/OPN Antibody (1B20) - BSA Free

Application
Recommended Usage

Immunocytochemistry/ Immunofluorescence

1:50

Immunohistochemistry

1:100

Immunohistochemistry-Paraffin

1:100

Immunoprecipitation

1:10-1:500

Simple Western

1:20

Western Blot

1:1000

Reviewed Applications

Read 2 reviews rated 5 using NB110-89062 in the following applications:

Formulation, Preparation, and Storage

Purification

Protein G purified

Formulation

PBS

Format

BSA Free

Preservative

0.05% Sodium Azide

Concentration

1 mg/ml

Shipping

The product is shipped with polar packs. Upon receipt, store it immediately at the temperature recommended below.

Stability & Storage

Store at 4C short term. Aliquot and store at -20C long term. Avoid freeze-thaw cycles.

Background: Osteopontin/OPN

The matricellular protein osteopontin binds to cell surface receptors and is secreted into many body fluids including milk, blood, and urine, depending on the organ of origin. This makes osteopontin an ideal candidate for being a biomarker as the secreted form is easily obtained in throwaway fluids, and mimics the cellular environment from which it is released. Osteopontin is important in immune responses and inflammation as well as bone generation and remodeling. In autistic children, serum levels of osteopontin are correlated to the severity of disease, probably due to a brain inflammation pattern in these children. In aortic valve sclerosis and stenosis, increased levels of secreted osteopontin are also noted. Osteopontin has also been suggested as a cancer biomarker, since it is associated with tumor formation, progression and metastasis. In bone and tooth formation osteopontin is known to be a negative regulator of parathyroid hormone-related protein receptor, which induces osteogenesis. Without appropriate levels of osteopontin, bone growth continues unregulated, and leads to specific bone cancers. In short, osteopontin is a strong marker for bone growth, inflammation and certain cancers.

Long Name

Secreted Phosphoprotein 1 [BNSP]

Alternate Names

Eta-1, OPN, Spp1

Entrez Gene IDs

6696 (Human); 25353 (Rat)

Gene Symbol

SPP1

Additional Osteopontin/OPN Products

Product Documents for Osteopontin/OPN Antibody (1B20) - BSA Free

Certificate of Analysis

To download a Certificate of Analysis, please enter a lot number in the search box below.

Product Specific Notices for Osteopontin/OPN Antibody (1B20) - BSA Free

This product is for research use only and is not approved for use in humans or in clinical diagnosis. Primary Antibodies are guaranteed for 1 year from date of receipt.

Loading...
Loading...
Loading...
Loading...
Loading...