Skip to main content

OSBPL3 Antibody - BSA Free

Novus Biologicals, part of Bio-Techne | Catalog # NBP1-82968

Novus Biologicals, part of Bio-Techne
Catalog #
Availability
Size / Price
Qty
Loading...
NBP1-82968-25ul
NBP1-82968

Key Product Details

Validated by

Orthogonal Validation

Species Reactivity

Validated:

Human

Cited:

Human

Applications

Validated:

Immunohistochemistry, Immunohistochemistry-Paraffin, Western Blot, Immunocytochemistry/ Immunofluorescence

Cited:

Immunohistochemistry, IF/IHC

Label

Unconjugated

Antibody Source

Polyclonal Rabbit IgG

Format

BSA Free

Concentration

Concentrations vary lot to lot. See vial label for concentration. If unlisted please contact technical services.

Product Specifications

Immunogen

This antibody was developed against Recombinant Protein corresponding to amino acids: TLDFGEEKNYSDGSETSSEFSKMQEDLCHIAHKVYFTLRSAFNIMSAEREKLKQLMEQDASSSPSAQVIGLKNALSSALAQNTDLKERLRRIHAESLLLDSPAVAKSGDNLAEE

Reactivity Notes

Immunogen displays the following percentage of sequence identity for non-tested species: Mouse (87%), Rat (87%)

Clonality

Polyclonal

Host

Rabbit

Isotype

IgG

Scientific Data Images for OSBPL3 Antibody - BSA Free

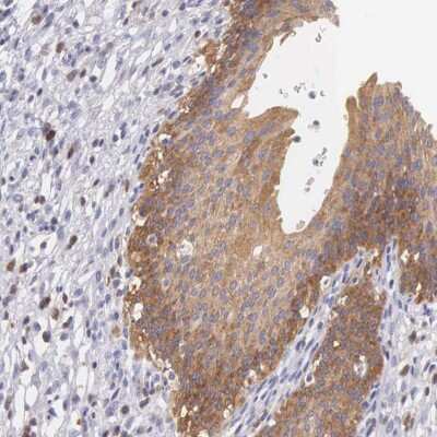
Immunohistochemistry-Paraffin: OSBPL3 Antibody [NBP1-82968]

Immunohistochemistry-Paraffin: OSBPL3 Antibody [NBP1-82968]

Immunohistochemistry-Paraffin: OSBPL3 Antibody [NBP1-82968] - Staining in human urinary bladder and pancreas tissues using anti-OSBPL3 antibody. Corresponding OSBPL3 RNA-seq data are presented for the same tissues.
Western Blot: OSBPL3 Antibody [NBP1-82968]

Western Blot: OSBPL3 Antibody [NBP1-82968]

Western Blot: OSBPL3 Antibody [NBP1-82968] - Analysis in human cell lines A-431 and MCF-7 using Anti-OSBPL3 antibody. Corresponding OSBPL3 RNA-seq data are presented for the same cell lines. Loading control: Anti-GAPDH.
Immunocytochemistry/ Immunofluorescence: OSBPL3 Antibody [NBP1-82968]

Immunocytochemistry/ Immunofluorescence: OSBPL3 Antibody [NBP1-82968]

Immunocytochemistry/Immunofluorescence: OSBPL3 Antibody [NBP1-82968] - Immunofluorescent staining of human cell line A-431 shows localization to nucleoli & cytosol.

Applications for OSBPL3 Antibody - BSA Free

Application
Recommended Usage

Immunocytochemistry/ Immunofluorescence

0.25-2 ug/ml

Immunohistochemistry

1:50 - 1:200

Immunohistochemistry-Paraffin

1:50 - 1:200

Western Blot

0.04-0.4 ug/ml
Application Notes
IHC-Paraffin, HIER pH 6 retrieval is recommended. ICC/IF, Fixation Permeabilization: Use PFA/Triton X-100.

Reviewed Applications

Read 1 review rated 4 using NBP1-82968 in the following applications:

Formulation, Preparation, and Storage

Purification

Affinity purified

Formulation

PBS (pH 7.2) and 40% Glycerol

Format

BSA Free

Preservative

0.02% Sodium Azide

Concentration

Concentrations vary lot to lot. See vial label for concentration. If unlisted please contact technical services.

Shipping

The product is shipped with polar packs. Upon receipt, store it immediately at the temperature recommended below.

Stability & Storage

Store at 4C short term. Aliquot and store at -20C long term. Avoid freeze-thaw cycles.

Background: OSBPL3

The OSBPL3 gene encodes a member of the oxysterol-binding protein (OSBP) family, a group of intracellular lipid receptors. Most members contain an N-terminal pleckstrin homology domain and a highly conserved C-terminal OSBP-like sterol-binding domain. Several t

Alternate Names

DKFZp667P1518, KIAA0704ORP3ORP-3OSBP3, MGC21526, OSBP-related protein 3, oxysterol binding protein-like 3, oxysterol-binding protein 3, oxysterol-binding protein-related protein 3

Gene Symbol

OSBPL3

Additional OSBPL3 Products

Product Documents for OSBPL3 Antibody - BSA Free

Certificate of Analysis

To download a Certificate of Analysis, please enter a lot number in the search box below.

Product Specific Notices for OSBPL3 Antibody - BSA Free

This product is for research use only and is not approved for use in humans or in clinical diagnosis. Primary Antibodies are guaranteed for 1 year from date of receipt.

Loading...
Loading...
Loading...
Loading...