Skip to main content

ORF73/HHV8 Antibody (4C11) - BSA Free

Novus Biologicals, part of Bio-Techne | Catalog # NBP1-30176

Novus Biologicals, part of Bio-Techne
Catalog #
Availability
Size / Price
Qty
Loading...
NBP1-30176
Conjugate
Catalog #

Key Product Details

Validated by

Biological Validation

Species Reactivity

Virus

Applications

Validated:

Immunohistochemistry, Immunohistochemistry-Paraffin, Western Blot, ELISA

Cited:

Western Blot, Block/Neutralize, Immunocytochemistry/ Immunofluorescence

Label

Unconjugated

Antibody Source

Monoclonal Mouse IgG2a Kappa Clone # 4C11

Format

BSA Free

Concentration

1.0 mg/ml

Product Specifications

Immunogen

Recombinant human ORF73/HHV8 (122-329aa) purified from E. coli (AAB62657).

Reactivity Notes

Human herpesvirus 8 (HHV-8) (Kaposi's sarcoma-associated herpesvirus)

Clonality

Monoclonal

Host

Mouse

Isotype

IgG2a Kappa

Scientific Data Images for ORF73/HHV8 Antibody (4C11) - BSA Free

Western Blot: ORF73/HHV8 Antibody (4C11)BSA Free [NBP1-30176]

Western Blot: ORF73/HHV8 Antibody (4C11)BSA Free [NBP1-30176]

Western Blot: ORF73/HHV8 Antibody (4C11) [NBP1-30176] - The cell lysates were resolved by SDS-PAGE, transferred to PVDF membrane and probed with NBP1-30176. Proteins were visualized using a goat anti-mouse secondary antibody conjugated to HRP and an ECL detection system. Lane 1.: 293T cell lysate (40ug). Lane 2.: ORF73/HHV8-MBP tag Transfected 293T cell lysate (5ug)
Immunocytochemistry/ Immunofluorescence: ORF73/HHV8 Antibody (4C11) - BSA Free [NBP1-30176]

Immunocytochemistry/ Immunofluorescence: ORF73/HHV8 Antibody (4C11) - BSA Free [NBP1-30176]

ORF73-HHV8-Antibody-4C11-Immunocytochemistry-Immunofluorescence-NBP1-30176-img0007.jpg
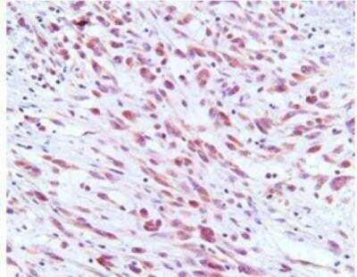
Immunohistochemistry-Paraffin: ORF73/HHV8 Antibody (4C11) - BSA Free [NBP1-30176]

Immunohistochemistry-Paraffin: ORF73/HHV8 Antibody (4C11) - BSA Free [NBP1-30176]

Immunohistochemistry-Paraffin: ORF73/HHV8 Antibody (4C11) [NBP1-30176] - IHC analysis of Kaposi's sarcoma tissue using antibody (1:50) for 2 hours at room temperature. Antigen retrieval was performed in 0.1M sodium citrate buffer and detected using Diaminobenzidine (DAB).

Applications for ORF73/HHV8 Antibody (4C11) - BSA Free

Application
Recommended Usage

ELISA

1:100-1:2000

Immunohistochemistry

1:10-1:500

Immunohistochemistry-Paraffin

1:50

Western Blot

1:1000-1:2000
Application Notes
Use in Immunocytochemistry/immunofluorescence reported in scientific literature (PMID 24422998)

Formulation, Preparation, and Storage

Purification

Protein G purified

Formulation

PBS (pH 7.4), 10% Glycerol

Format

BSA Free

Preservative

0.02% Sodium Azide

Concentration

1.0 mg/ml

Shipping

The product is shipped with polar packs. Upon receipt, store it immediately at the temperature recommended below.

Stability & Storage

Store at 4C short term. Aliquot and store at -20C long term. Avoid freeze-thaw cycles.

Background: ORF73 HHV8

ORF73 protein of human herpesvirus 8(HHV-8) is a Kaposi's sarcoma-associated herpesvirus (KSHV) latent protein which has been suspected of playing a crucial role in modulating viral and cellular gene expression. ORF73 is associated with cellular chromatin and stays on the chromosomes during cell division. It maintains the viral genomes during cell division by tethering the viral episomes to the chromosomes. It binds directly to replication origin recognition complexes (ORCs) that are primarily associated with the terminal repeat (TR) region of the HHV-8 genome.

Long Name

ORF73 of Human Herpesvirus 8

Alternate Names

HHV8GK18_gp81, LANA1

Gene Symbol

HHV8GK18_gp81

UniProt

Additional ORF73 HHV8 Products

Product Documents for ORF73/HHV8 Antibody (4C11) - BSA Free

Certificate of Analysis

To download a Certificate of Analysis, please enter a lot number in the search box below.

Product Specific Notices for ORF73/HHV8 Antibody (4C11) - BSA Free

This product is for research use only and is not approved for use in humans or in clinical diagnosis. Primary Antibodies are guaranteed for 1 year from date of receipt.

Loading...
Loading...
Loading...
Loading...
Loading...