Skip to main content

OCT1 Antibody

Novus Biologicals, part of Bio-Techne | Catalog # NBP2-21584

Novus Biologicals, part of Bio-Techne
Catalog #
Availability
Size / Price
Qty
Loading...
NBP2-21584

Key Product Details

Validated by

Knockout/Knockdown

Species Reactivity

Validated:

Human, Rat

Predicted:

Bovine (95%), Chicken (91%), Chimpanzee (99%), Mouse (90%), Porcine (97%). Backed by our 100% Guarantee.

Applications

Immunohistochemistry, Immunohistochemistry-Paraffin, Western Blot, Immunocytochemistry/ Immunofluorescence, Immunoprecipitation

Label

Unconjugated

Antibody Source

Polyclonal Rabbit IgG

Concentration

Concentrations vary lot to lot. See vial label for concentration. If unlisted please contact technical services.

Product Specifications

Immunogen

Recombinant protein encompassing a sequence within the center region of human OCT1. The exact sequence is proprietary.

Reactivity Notes

Xenopus laevis (81%).

Localization

Nucleus

Clonality

Polyclonal

Host

Rabbit

Isotype

IgG

Theoretical MW

76 kDa.
Disclaimer note: The observed molecular weight of the protein may vary from the listed predicted molecular weight due to post translational modifications, post translation cleavages, relative charges, and other experimental factors.

Scientific Data Images for OCT1 Antibody

Western Blot: OCT1 Antibody [NBP2-21584]

Western Blot: OCT1 Antibody [NBP2-21584]

Western Blot: OCT1 Antibody [NBP2-21584] - Various whole cell extracts (30 ug) were separated by 7.5% SDS-PAGE, and the membrane was blotted with OCT1 antibody diluted at 1:1000.
Immunohistochemistry-Paraffin: OCT1 Antibody [NBP2-21584]

Immunohistochemistry-Paraffin: OCT1 Antibody [NBP2-21584]

Immunohistochemistry-Paraffin: OCT1 Antibody [NBP2-21584] - Rat brain. OCT1 antibody diluted at 1:500. Antigen Retrieval: Citrate buffer, pH 6.0, 15 min.
Immunohistochemistry-Paraffin: OCT1 Antibody [NBP2-21584]

Immunohistochemistry-Paraffin: OCT1 Antibody [NBP2-21584]

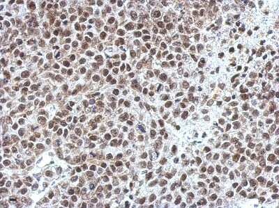
Immunohistochemistry-Paraffin: OCT1 Antibody [NBP2-21584] - Hela xenograft, using OCT1 antibody at 1:750 dilution. Antigen Retrieval: Trilogy™ (EDTA based, pH 8.0) buffer, 15min

Applications for OCT1 Antibody

Application
Recommended Usage

Immunocytochemistry/ Immunofluorescence

1:100-1:1000

Immunohistochemistry

1:100-1:1000

Immunohistochemistry-Paraffin

1:100-1:1000

Immunoprecipitation

1:100-1:500

Western Blot

1:500-1:3000

Formulation, Preparation, and Storage

Purification

Antigen Affinity-purified

Formulation

PBS, 1% BSA, 20% Glycerol

Preservative

0.025% Proclin 300

Concentration

Concentrations vary lot to lot. See vial label for concentration. If unlisted please contact technical services.

Shipping

The product is shipped with polar packs. Upon receipt, store it immediately at the temperature recommended below.

Stability & Storage

Aliquot and store at -20C or -80C. Avoid freeze-thaw cycles.

Background: OCT1

The OCT1 transcription factor was among the first identified members of the POU transcription factor family (summarized by Sturm et al., 1993 [PubMed 8314572]). Members of this family contain the POU domain, a 160-amino acid region necessary for DNA binding to the octameric sequence ATGCAAAT.[supplied by OMIM]

Long Name

Octamer-binding Transcription Factor 1

Alternate Names

FLJ42836, NF-A1, Oct-1, OCT1class 2, transcription factor 1, OTF1, POU class 2 homeobox 1, POU domain class 2, transcription factor 1, POU2F1

Gene Symbol

POU2F1

Additional OCT1 Products

Product Documents for OCT1 Antibody

Certificate of Analysis

To download a Certificate of Analysis, please enter a lot number in the search box below.

Product Specific Notices for OCT1 Antibody

This product is for research use only and is not approved for use in humans or in clinical diagnosis. Primary Antibodies are guaranteed for 1 year from date of receipt.

Loading...
Loading...
Loading...
Loading...