Skip to main content

NUP62 Antibody - BSA Free

Novus Biologicals, part of Bio-Techne | Catalog # NBP1-85091

Novus Biologicals, part of Bio-Techne
Catalog #
Availability
Size / Price
Qty
Loading...
NBP1-85091
NBP1-85091-25ul

Key Product Details

Validated by

Orthogonal Validation

Species Reactivity

Human

Applications

Immunohistochemistry, Immunohistochemistry-Paraffin, Western Blot, Immunocytochemistry/ Immunofluorescence

Label

Unconjugated

Antibody Source

Polyclonal Rabbit IgG

Format

BSA Free

Concentration

Concentrations vary lot to lot. See vial label for concentration. If unlisted please contact technical services.

Product Specifications

Immunogen

This antibody was developed against Recombinant Protein corresponding to amino acids: GGFTFGTAKTATTTPATGFSFSTSGTGGFNFGAPFQPATSTPSTGLFSLATQTPATQTTGFTFGTATLASGGTGFSLGIGASKLNLSNTAATPAMANPSGFGLGSSNLTNAISSTVTSSQGTAPTGFVFGPST

Clonality

Polyclonal

Host

Rabbit

Isotype

IgG

Description

Novus Biologicals Rabbit NUP62 Antibody - BSA Free (NBP1-85091) is a polyclonal antibody validated for use in IHC, WB and ICC/IF. Anti-NUP62 Antibody: Cited in 2 publications. All Novus Biologicals antibodies are covered by our 100% guarantee.

Scientific Data Images for NUP62 Antibody - BSA Free

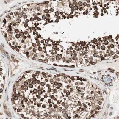
Immunohistochemistry-Paraffin: NUP62 Antibody [NBP1-85091]

Immunohistochemistry-Paraffin: NUP62 Antibody [NBP1-85091]

Immunohistochemistry-Paraffin: NUP62 Antibody [NBP1-85091] - Analysis in human testis and liver tissues using NBP1-85091 antibody. Corresponding NUP62 RNA-seq data are presented for the same tissues.
Western Blot: NUP62 Antibody [NBP1-85091]

Western Blot: NUP62 Antibody [NBP1-85091]

Western Blot: NUP62 Antibody [NBP1-85091] - Analysis in human cell line HDLM-2.
Immunocytochemistry/ Immunofluorescence: NUP62 Antibody [NBP1-85091]

Immunocytochemistry/ Immunofluorescence: NUP62 Antibody [NBP1-85091]

Immunocytochemistry/Immunofluorescence: NUP62 Antibody [NBP1-85091] - Staining of human cell line U-2 OS shows localization to nuclear membrane. Antibody staining is shown in green.

Applications for NUP62 Antibody - BSA Free

Application
Recommended Usage

Immunocytochemistry/ Immunofluorescence

0.25-2 ug/ml

Immunohistochemistry

1:50 - 1:200

Immunohistochemistry-Paraffin

1:50-1:200

Western Blot

0.04-0.4 ug/ml
Application Notes
IHC-Paraffin, HIER pH 6 retrieval method is recommended. ICC/IF, Fixation Permeabilization: Use PFA/Triton X-100.

Formulation, Preparation, and Storage

Purification

Affinity purified

Formulation

PBS (pH 7.2) and 40% Glycerol

Format

BSA Free

Preservative

0.02% Sodium Azide

Concentration

Concentrations vary lot to lot. See vial label for concentration. If unlisted please contact technical services.

Shipping

The product is shipped with polar packs. Upon receipt, store it immediately at the temperature recommended below.

Stability & Storage

Store at 4C short term. Aliquot and store at -20C long term. Avoid freeze-thaw cycles.

Background: NUP62

The nuclear pore complex is a massive structure that extends across the nuclear envelope, forming a gateway that regulates the flow of macromolecules between the nucleus and the cytoplasm. Nucleoporins are the main components of the nuclear pore complex in eukaryotic cells. The protein encoded by this gene is a member of the FG-repeat containing nucleoporins and is localized to the nuclear pore central plug. This protein associates with the importin alpha/beta complex which is involved in the import of proteins containing nuclear localization signals. Multiple transcript variants of this gene encode a single protein isoform. [provided by RefSeq]

Alternate Names

DKFZp547L134,62 kDa nucleoporin, FLJ20822, FLJ43869, IBSNp62, MGC841, nuclear pore glycoprotein p62, nucleoporin 62kD, nucleoporin 62kDa, SNDINucleoporin Nup62

Entrez Gene IDs

23636 (Human)

Gene Symbol

NUP62

UniProt

Additional NUP62 Products

Product Documents for NUP62 Antibody - BSA Free

Certificate of Analysis

To download a Certificate of Analysis, please enter a lot number in the search box below.

Product Specific Notices for NUP62 Antibody - BSA Free

This product is for research use only and is not approved for use in humans or in clinical diagnosis. Primary Antibodies are guaranteed for 1 year from date of receipt.

Loading...
Loading...
Loading...
Loading...