Skip to main content

NUP62 Antibody - BSA Free

Novus Biologicals, part of Bio-Techne | Catalog # NBP1-32177

Novus Biologicals, part of Bio-Techne
Catalog #
Availability
Size / Price
Qty
Loading...
NBP1-32177

Key Product Details

Species Reactivity

Human, Mouse, Rat

Applications

Immunohistochemistry, Immunohistochemistry-Paraffin, Western Blot, Immunocytochemistry/ Immunofluorescence

Label

Unconjugated

Antibody Source

Polyclonal Rabbit IgG

Format

BSA Free

Concentration

Concentrations vary lot to lot. See vial label for concentration. If unlisted please contact technical services.

Product Specifications

Immunogen

Recombinant protein encompassing a sequence within the center region of human NUP62. The exact sequence is proprietary.

Localization

Nucleus , nuclear pore complex

Clonality

Polyclonal

Host

Rabbit

Isotype

IgG

Description

Novus Biologicals Rabbit NUP62 Antibody - BSA Free (NBP1-32177) is a polyclonal antibody validated for use in IHC, WB and ICC/IF. All Novus Biologicals antibodies are covered by our 100% guarantee.

Scientific Data Images for NUP62 Antibody - BSA Free

NUP62 Antibody

Western Blot: NUP62 Antibody [NBP1-32177] -

Western Blot: NUP62 Antibody [NBP1-32177] - Various whole cell extracts (30 ug) were separated by 7.5% SDS-PAGE, and the membrane was blotted with NUP62 antibody (NBP1-32177) diluted at 1:1000. The HRP-conjugated anti-rabbit IgG antibody was used to detect the primary antibody.
NUP62 Antibody

Western Blot: NUP62 Antibody [NBP1-32177] -

Western Blot: NUP62 Antibody [NBP1-32177] - Sample (30 ug of whole cell lysate)
A: NIH-3T3
B: JC
C: BCL-1
D: C2C12
7.5% SDS PAGE
NBP1-32177 diluted at 1:5000
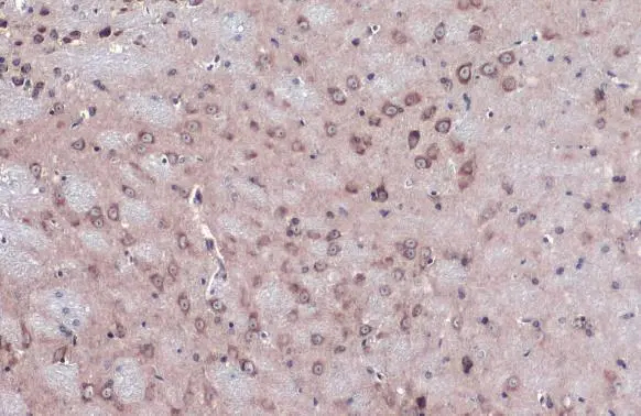
NUP62 Antibody

Immunohistochemistry-Paraffin: NUP62 Antibody [NBP1-32177] -

Immunohistochemistry-Paraffin: NUP62 Antibody [NBP1-32177] - NUP62 antibody detects NUP62 protein at nuclear envelope by immunohistochemical analysis.
Sample: Paraffin-embedded mouse brain.
NUP62 stained by NUP62 antibody (NBP1-32177) diluted at 1:500.
Antigen Retrieval: Citrate buffer, pH 6.0, 15 min

Applications for NUP62 Antibody - BSA Free

Application
Recommended Usage

Immunocytochemistry/ Immunofluorescence

1:10-1:500

Immunohistochemistry

10 - 1:500

Immunohistochemistry-Paraffin

1:100-1:1000

Western Blot

1:500-1:3000

Formulation, Preparation, and Storage

Purification

Antigen Affinity-purified

Formulation

PBS, 1% BSA, 20% Glycerol

Format

BSA Free

Preservative

0.025% Proclin 300

Concentration

Concentrations vary lot to lot. See vial label for concentration. If unlisted please contact technical services.

Shipping

The product is shipped with polar packs. Upon receipt, store it immediately at the temperature recommended below.

Stability & Storage

Aliquot and store at -20C or -80C. Avoid freeze-thaw cycles.

Background: NUP62

The nuclear pore complex is a massive structure that extends across the nuclear envelope, forming a gateway that regulates the flow of macromolecules between the nucleus and the cytoplasm. Nucleoporins are the main components of the nuclear pore complex in eukaryotic cells. The protein encoded by this gene is a member of the FG-repeat containing nucleoporins and is localized to the nuclear pore central plug. This protein associates with the importin alpha/beta complex which is involved in the import of proteins containing nuclear localization signals. Multiple transcript variants of this gene encode a single protein isoform. [provided by RefSeq]

Alternate Names

DKFZp547L134,62 kDa nucleoporin, FLJ20822, FLJ43869, IBSNp62, MGC841, nuclear pore glycoprotein p62, nucleoporin 62kD, nucleoporin 62kDa, SNDINucleoporin Nup62

Gene Symbol

NUP62

Additional NUP62 Products

Product Documents for NUP62 Antibody - BSA Free

Certificate of Analysis

To download a Certificate of Analysis, please enter a lot number in the search box below.

Product Specific Notices for NUP62 Antibody - BSA Free

This product is for research use only and is not approved for use in humans or in clinical diagnosis. Primary Antibodies are guaranteed for 1 year from date of receipt.

Loading...
Loading...
Loading...
Loading...

⚠ WARNING: This product can expose you to chemicals including mercury, which is known to the State of California to cause reproductive toxicity with developmental effects.  For more information go to www.P65Warnings.ca.gov.