Skip to main content

NUP62 Antibody - BSA Free

Novus Biologicals, part of Bio-Techne | Catalog # NBP1-31381

Novus Biologicals, part of Bio-Techne
Catalog #
Availability
Size / Price
Qty
Loading...
NBP1-31381

Key Product Details

Species Reactivity

Validated:

Human, Mouse, Rat

Cited:

Human

Predicted:

Rhesus Macaque (98%). Backed by our 100% Guarantee.

Applications

Validated:

Immunohistochemistry, Immunohistochemistry-Paraffin, Western Blot, Immunocytochemistry/ Immunofluorescence, Immunoprecipitation

Cited:

Western Blot

Label

Unconjugated

Antibody Source

Polyclonal Rabbit IgG

Format

BSA Free

Concentration

Concentrations vary lot to lot. See vial label for concentration. If unlisted please contact technical services.

Product Specifications

Immunogen

Recombinant protein encompassing a sequence within the center region of human NUP62. The exact sequence is proprietary.

Reactivity Notes

Immunogen displays the following percentage of sequence identity for non-tested species: Bovine (87%).

Localization

Nucleus, nuclear pore complex

Marker

Nuclear Pore Marker

Clonality

Polyclonal

Host

Rabbit

Isotype

IgG

Theoretical MW

53 kDa.
Disclaimer note: The observed molecular weight of the protein may vary from the listed predicted molecular weight due to post translational modifications, post translation cleavages, relative charges, and other experimental factors.

Description

Novus Biologicals Rabbit NUP62 Antibody - BSA Free (NBP1-31381) is a polyclonal antibody validated for use in IHC, WB, ICC/IF and IP. Anti-NUP62 Antibody: Cited in 3 publications. All Novus Biologicals antibodies are covered by our 100% guarantee.

Scientific Data Images for NUP62 Antibody - BSA Free

Western Blot: NUP62 Antibody [NBP1-31381]

Western Blot: NUP62 Antibody [NBP1-31381]

Western Blot: NUP62 Antibody [NBP1-31381] - Whole cell extracts (30 ug) was separated by 10% SDS-PAGE, and blotted with Nucleoporin p62 antibody diluted by 1:5000. The HRP-conjugated anti-rabbit IgG antibody (NBP2-19301) was used to detect the primary antibody.
Immunocytochemistry/ Immunofluorescence: NUP62 Antibody [NBP1-31381]

Immunocytochemistry/ Immunofluorescence: NUP62 Antibody [NBP1-31381]

Immunocytochemistry/Immunofluorescence: Nucleoporin p62 Antibody [NBP1-31381] - Sample: HeLa cells were fixed in 4% paraformaldehyde at RT for 15 min. Green: Nucleoporin p62 protein stained by Nucleoporin p62 antibody diluted at 1:750. Blue: Hoechst 33342 staining. Scale bar = 10 um.
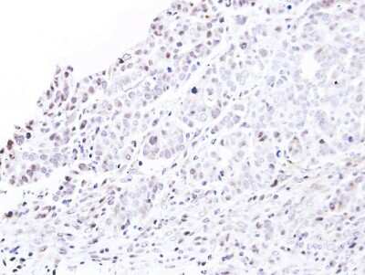
Immunohistochemistry-Paraffin: NUP62 Antibody [NBP1-31381]

Immunohistochemistry-Paraffin: NUP62 Antibody [NBP1-31381]

Immunohistochemistry-Paraffin: Nucleoporin p62 Antibody [NBP1-31381] - Paraffin-embedded NCIN87 xenograft, using antibody at 1:500 dilution.

Applications for NUP62 Antibody - BSA Free

Application
Recommended Usage

Immunocytochemistry/ Immunofluorescence

1:100-1:1000

Immunohistochemistry

1:100-1:1000

Immunohistochemistry-Paraffin

1:100-1:1000

Immunoprecipitation

1:100-1:500

Western Blot

1:1000-1:10000

Formulation, Preparation, and Storage

Purification

Antigen Affinity-purified

Formulation

PBS, 20% Glycerol

Format

BSA Free

Preservative

0.01% Thimerosal

Concentration

Concentrations vary lot to lot. See vial label for concentration. If unlisted please contact technical services.

Shipping

The product is shipped with polar packs. Upon receipt, store it immediately at the temperature recommended below.

Stability & Storage

Aliquot and store at -20C or -80C. Avoid freeze-thaw cycles.

Background: NUP62

The nuclear pore complex is a massive structure that extends across the nuclear envelope, forming a gateway that regulates the flow of macromolecules between the nucleus and the cytoplasm. Nucleoporins are the main components of the nuclear pore complex in eukaryotic cells. The protein encoded by this gene is a member of the FG-repeat containing nucleoporins and is localized to the nuclear pore central plug. This protein associates with the importin alpha/beta complex which is involved in the import of proteins containing nuclear localization signals. Multiple transcript variants of this gene encode a single protein isoform. [provided by RefSeq]

Alternate Names

DKFZp547L134,62 kDa nucleoporin, FLJ20822, FLJ43869, IBSNp62, MGC841, nuclear pore glycoprotein p62, nucleoporin 62kD, nucleoporin 62kDa, SNDINucleoporin Nup62

Entrez Gene IDs

23636 (Human)

Gene Symbol

NUP62

UniProt

Additional NUP62 Products

Product Documents for NUP62 Antibody - BSA Free

Certificate of Analysis

To download a Certificate of Analysis, please enter a lot number in the search box below.

Product Specific Notices for NUP62 Antibody - BSA Free

This product is for research use only and is not approved for use in humans or in clinical diagnosis. Primary Antibodies are guaranteed for 1 year from date of receipt.

Loading...
Loading...
Loading...
Loading...

⚠ WARNING: This product can expose you to chemicals including mercury, which is known to the State of California to cause reproductive toxicity with developmental effects.  For more information go to www.P65Warnings.ca.gov.