Skip to main content

NUP62 Antibody (JE55-09)

Novus Biologicals, part of Bio-Techne | Catalog # NBP3-32670

Recombinant Monoclonal Antibody
Novus Biologicals, part of Bio-Techne
Catalog #
Availability
Size / Price
Qty
Loading...
NBP3-32670

Key Product Details

Species Reactivity

Human, Mouse, Rat

Applications

Immunohistochemistry, Immunohistochemistry-Paraffin, Western Blot

Label

Unconjugated

Antibody Source

Recombinant Monoclonal Rabbit IgG Clone # JE55-09 expressed in HEK293

Concentration

1 mg/ml

Product Specifications

Immunogen

Synthetic peptide within Human NUP62 aa 483-522. (Uniprot: P37198)

Localization

Nucleus, nuclear pore complex, Cytoplasm, cytoskeleton, spindle pole, Nucleus envelope, microtubule organizing center, centrosome.

Clonality

Monoclonal

Host

Rabbit

Isotype

IgG

Theoretical MW

53 kDa.
Disclaimer note: The observed molecular weight of the protein may vary from the listed predicted molecular weight due to post translational modifications, post translation cleavages, relative charges, and other experimental factors.

Description

Novus Biologicals Rabbit NUP62 Antibody (JE55-09) (NBP3-32670) is a recombinant monoclonal antibody validated for use in IHC and WB. All Novus Biologicals antibodies are covered by our 100% guarantee.

Scientific Data Images for NUP62 Antibody (JE55-09)

NUP62 Antibody (JE55-09)

Western Blot: NUP62 Antibody (JE55-09) [NBP3-32670]

Western Blot: NUP62 Antibody (JE55-09) [NBP3-32670] - Western blot analysis of NUP62 on different lysates with Rabbit anti-NUP62 antibody (NBP3-32670) at 1/1,000 dilution.

Lane 1: Jurkat cell lysate
Lane 2: A431 cell lysate
Lane 3: HeLa cell lysate
Lane 4: Raji cell lysate
Lane 5: HepG2 cell lysate
Lane 6: C2C12 cell lysate
Lane 7: RAW264.7 cell lysate
Lane 8: PC-12 cell lysate
Lane 9: NIH/3T3 cell lysate
Lane 10: Neuro-2a cell lysate

Lysates/proteins at 20 ug/Lane.

Predicted band size: 53 kDa
Observed band size: 61 kDa

Exposure time: 40 seconds;

4-20% SDS-PAGE gel.

Proteins were transferred to a PVDF membrane and blocked with 5% NFDM/TBST for 1 hour at room temperature. The primary antibody (NBP3-32670) at 1/1,000 dilution was used in 5% NFDM/TBST at room temperature for 2 hours. Goat Anti-Rabbit IgG - HRP Secondary Antibody at 1:100,000 dilution was used for 1 hour at room temperature.
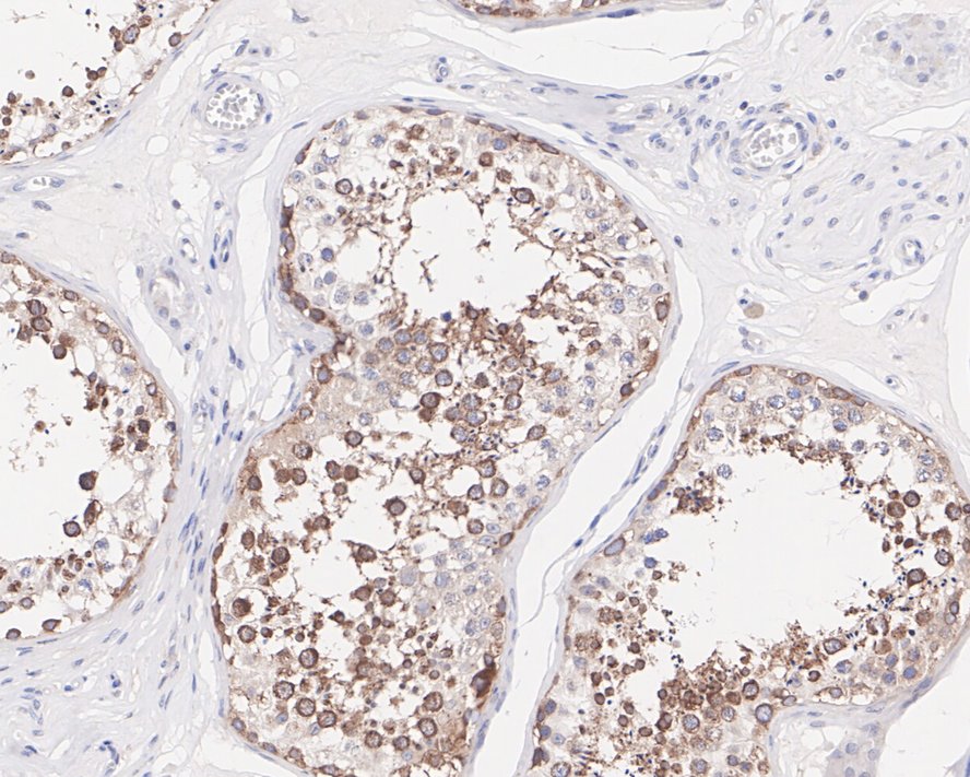
NUP62 Antibody (JE55-09)

Immunohistochemistry: NUP62 Antibody (JE55-09) [NBP3-32670]

Immunohistochemistry: NUP62 Antibody (JE55-09) [NBP3-32670] - Immunohistochemical analysis of paraffin-embedded human testis tissue with Rabbit anti-NUP62 antibody (NBP3-32670) at 1/1,000 dilution.

The section was pre-treated using heat mediated antigen retrieval with sodium citrate buffer (pH 6.0) for 2 minutes. The tissues were blocked in 1% BSA for 20 minutes at room temperature, washed with ddH2O and PBS, and then probed with the primary antibody (NBP3-32670) at 1/1,000 dilution for 1 hour at room temperature. The detection was performed using an HRP conjugated compact polymer system. DAB was used as the chromogen. Tissues were counterstained with hematoxylin and mounted with DPX.

Applications for NUP62 Antibody (JE55-09)

Application
Recommended Usage

Immunohistochemistry-Paraffin

1:1000

Western Blot

1:1000

Formulation, Preparation, and Storage

Purification

Protein A purified

Formulation

1*TBS (pH7.4), 0.05% BSA and 40% Glycerol

Preservative

0.05% Sodium Azide

Concentration

1 mg/ml

Shipping

The product is shipped with polar packs. Upon receipt, store it immediately at the temperature recommended below.

Stability & Storage

Store at 4C short term. Aliquot and store at -20C long term. Avoid freeze-thaw cycles.

Background: NUP62

The nuclear pore complex is a massive structure that extends across the nuclear envelope, forming a gateway that regulates the flow of macromolecules between the nucleus and the cytoplasm. Nucleoporins are the main components of the nuclear pore complex in eukaryotic cells. The protein encoded by this gene is a member of the FG-repeat containing nucleoporins and is localized to the nuclear pore central plug. This protein associates with the importin alpha/beta complex which is involved in the import of proteins containing nuclear localization signals. Multiple transcript variants of this gene encode a single protein isoform. [provided by RefSeq]

Alternate Names

DKFZp547L134,62 kDa nucleoporin, FLJ20822, FLJ43869, IBSNp62, MGC841, nuclear pore glycoprotein p62, nucleoporin 62kD, nucleoporin 62kDa, SNDINucleoporin Nup62

Gene Symbol

NUP62

Additional NUP62 Products

Product Documents for NUP62 Antibody (JE55-09)

Certificate of Analysis

To download a Certificate of Analysis, please enter a lot number in the search box below.

Product Specific Notices for NUP62 Antibody (JE55-09)

This product is for research use only and is not approved for use in humans or in clinical diagnosis. Primary Antibodies are guaranteed for 1 year from date of receipt.

Loading...
Loading...
Loading...
Loading...