Skip to main content

NUB1/NYREN18 Antibody - BSA Free

Novus Biologicals, part of Bio-Techne | Catalog # NBP2-48553

Novus Biologicals, part of Bio-Techne
Catalog #
Availability
Size / Price
Qty
Loading...
NBP2-48553
NBP2-48553-25ul

Key Product Details

Species Reactivity

Human

Applications

Immunohistochemistry, Immunohistochemistry-Paraffin, Western Blot

Label

Unconjugated

Antibody Source

Polyclonal Rabbit IgG

Format

BSA Free

Concentration

Concentrations vary lot to lot. See vial label for concentration. If unlisted please contact technical services.

Product Specifications

Immunogen

This antibody was developed against a recombinant protein corresponding to amino acids: DNRQESPSQENIDRLVYMGFDALVAEAALRVFRGNVQLAAQTLAHNGGSLPPELPLSPEDSLSPPATSPSDSAGTSSASTDEDMETEAVNEILEDIPEHEEDYLDSTLEDEE

Reactivity Notes

Mouse (84%), Rat (86%)

Clonality

Polyclonal

Host

Rabbit

Isotype

IgG

Description

Novus Biologicals Rabbit NUB1/NYREN18 Antibody - BSA Free (NBP2-48553) is a polyclonal antibody validated for use in IHC and WB. All Novus Biologicals antibodies are covered by our 100% guarantee.

Scientific Data Images for NUB1/NYREN18 Antibody - BSA Free

Western Blot: NUB1/NYREN18 Antibody [NBP2-48553]

Western Blot: NUB1/NYREN18 Antibody [NBP2-48553]

Western Blot: NUB1/NYREN18 Antibody [NBP2-48553] - Lane 1: Marker [kDa] 230, 130, 95, 72, 56, 36, 28, 17, 11
Lane 2: Human cell line RT-4
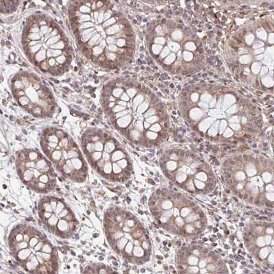
Immunohistochemistry: NUB1/NYREN18 Antibody [NBP2-48553]

Immunohistochemistry: NUB1/NYREN18 Antibody [NBP2-48553]

Immunohistochemistry: NUB1/NYREN18 Antibody [NBP2-48553] - Staining of human colon shows moderate cytoplasmic and nuclear positivity in glandular cells.

Applications for NUB1/NYREN18 Antibody - BSA Free

Application
Recommended Usage

Immunohistochemistry

1:200 - 1:500

Immunohistochemistry-Paraffin

1:200 - 1:500

Western Blot

0.04-0.4 ug/ml
Application Notes
For IHC-Paraffin, HIER pH 6 retrieval is recommended.

Formulation, Preparation, and Storage

Purification

Immunogen affinity purified

Formulation

PBS (pH 7.2) and 40% Glycerol

Format

BSA Free

Preservative

0.02% Sodium Azide

Concentration

Concentrations vary lot to lot. See vial label for concentration. If unlisted please contact technical services.

Shipping

The product is shipped with polar packs. Upon receipt, store it immediately at the temperature recommended below.

Stability & Storage

Store at 4C short term. Aliquot and store at -20C long term. Avoid freeze-thaw cycles.

Background: NUB1

NUB1 interacts with and negatively regulates NEDD8 (MIM 603171), a ubiquitin-like protein that covalently conjugates to cullin (see MIM 603134) family members.[supplied by OMIM]

Long Name

NEDD8 Ultimate Buster 1

Alternate Names

BS4, NUB1L, NY-REN-18

Gene Symbol

NUB1

Additional NUB1 Products

Product Documents for NUB1/NYREN18 Antibody - BSA Free

Certificate of Analysis

To download a Certificate of Analysis, please enter a lot number in the search box below.

Product Specific Notices for NUB1/NYREN18 Antibody - BSA Free

This product is for research use only and is not approved for use in humans or in clinical diagnosis. Primary Antibodies are guaranteed for 1 year from date of receipt.

Loading...
Loading...
Loading...
Loading...