Skip to main content

NTF2 Antibody (5C7) - BSA Free

Novus Biologicals, part of Bio-Techne | Catalog # NBP3-43008

Novus Biologicals, part of Bio-Techne
Catalog #
Availability
Size / Price
Qty
Loading...
NBP3-43008

Key Product Details

Species Reactivity

Human

Applications

Immunohistochemistry, Western Blot, ELISA, Immunocytochemistry/ Immunofluorescence

Label

Unconjugated

Antibody Source

Monoclonal Mouse IgG2A Clone # 5C7

Format

BSA Free

Concentration

Please see the vial label for concentration. If unlisted please contact technical services.

Product Specifications

Immunogen

nuclear transport factor 2 - (Uniprot# P61970)

Clonality

Monoclonal

Host

Mouse

Isotype

IgG2A

Theoretical MW

14 kDa.
Disclaimer note: The observed molecular weight of the protein may vary from the listed predicted molecular weight due to post translational modifications, post translation cleavages, relative charges, and other experimental factors.

Description

Novus Biologicals Mouse NTF2 Antibody (5C7) - BSA Free (NBP3-43008) is a monoclonal antibody validated for use in IHC, WB, ELISA and ICC/IF. All Novus Biologicals antibodies are covered by our 100% guarantee.

Scientific Data Images for NTF2 Antibody (5C7) - BSA Free

NTF2 Antibody (5C7)

Western Blot: NTF2 Antibody (5C7) [NBP3-43008] -

Western Blot: NTF2 Antibody (5C7) [NBP3-43008] - HeLa cells were subjected to SDS PAGE followed by western blot with (NTF2 antibody) at dilution of 1:1000
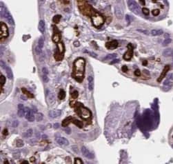
NTF2 Antibody (5C7)

Immunohistochemistry: NTF2 Antibody (5C7) [NBP3-43008] -

Immunohistochemistry: NTF2 Antibody (5C7) [NBP3-43008] - Immunohistochemistry of paraffin-embedded human placenta tissue slide using (NTF2 antibody) at dilution of 1:100

Applications for NTF2 Antibody (5C7) - BSA Free

Application
Recommended Usage

Immunocytochemistry/ Immunofluorescence

1:50 - 1:500

Immunohistochemistry

1:250 - 1:1000

Western Blot

1:500 - 1:2000

Formulation, Preparation, and Storage

Purification

Protein A or G purified

Formulation

PBS (pH 7.3), 50% glycerol

Format

BSA Free

Preservative

0.02% Sodium Azide

Concentration

Please see the vial label for concentration. If unlisted please contact technical services.

Shipping

The product is shipped with polar packs. Upon receipt, store it immediately at the temperature recommended below.

Stability & Storage

Store at -20C. Avoid freeze-thaw cycles.

Background: NTF2

The protein encoded by the NTF2 gene is a cytosolic factor that facilitates protein transport into the nucleus. It interacts with the nuclear pore complex glycoprotein p62. This encoded protein acts at a relative late stage of nuclear protein import, subsequent to the initial docking of nuclear import ligand at the nuclear envelope. It is thought to be part of a multicomponent system of cytosolic factors that assemble at the pore complex during nuclear import. (provided by RefSeq)

Alternate Names

NTF-2, NTF2PP15Placental protein 15, nuclear transport factor 2

Gene Symbol

NUTF2

Additional NTF2 Products

Product Documents for NTF2 Antibody (5C7) - BSA Free

Certificate of Analysis

To download a Certificate of Analysis, please enter a lot number in the search box below.

Product Specific Notices for NTF2 Antibody (5C7) - BSA Free

This product is for research use only and is not approved for use in humans or in clinical diagnosis. Primary Antibodies are guaranteed for 1 year from date of receipt.

Loading...
Loading...
Loading...
Loading...