Skip to main content

non-muscle Myosin IIA Antibody - BSA Free

Novus Biologicals, part of Bio-Techne | Catalog # NBP2-62644

Novus Biologicals, part of Bio-Techne
Catalog #
Availability
Size / Price
Qty
Loading...
NBP2-62644

Key Product Details

Validated by

Independent Antibodies

Species Reactivity

Human

Applications

Immunohistochemistry, Immunohistochemistry-Paraffin, Western Blot, Immunocytochemistry/ Immunofluorescence

Label

Unconjugated

Antibody Source

Polyclonal Rabbit IgG

Format

BSA Free

Concentration

Concentrations vary lot to lot. See vial label for concentration. If unlisted please contact technical services.

Product Specifications

Immunogen

This antibody was developed against a recombinant protein corresponding to amino acids: LEDATETADAMNREVSSLKNKLRRGDLPFVVPRRMARKGAGDGSDEEVDGKADGAEAKPA

Reactivity Notes

Mouse (88%), Rat (87%)

Clonality

Polyclonal

Host

Rabbit

Isotype

IgG

Description

Novus Biologicals Rabbit non-muscle Myosin IIA Antibody - BSA Free (NBP2-62644) is a polyclonal antibody validated for use in IHC, WB and ICC/IF. All Novus Biologicals antibodies are covered by our 100% guarantee.

Scientific Data Images for non-muscle Myosin IIA Antibody - BSA Free

non-muscle Myosin IIA Antibody

Immunohistochemistry: non-muscle Myosin IIA Antibody [NBP2-62644]

Immunohistochemistry: non-muscle Myosin IIA Antibody [NBP2-62644] - Staining of human smooth muscle shows moderate cytoplasmic positivity in muscle fibres and endothelial cells.
non-muscle Myosin IIA Antibody

Immunohistochemistry: non-muscle Myosin IIA Antibody [NBP2-62644]

Immunohistochemistry: non-muscle Myosin IIA Antibody [NBP2-62644] - Staining of human kidney shows moderate to strong cytoplasmic positivity in cells in glomeruli.
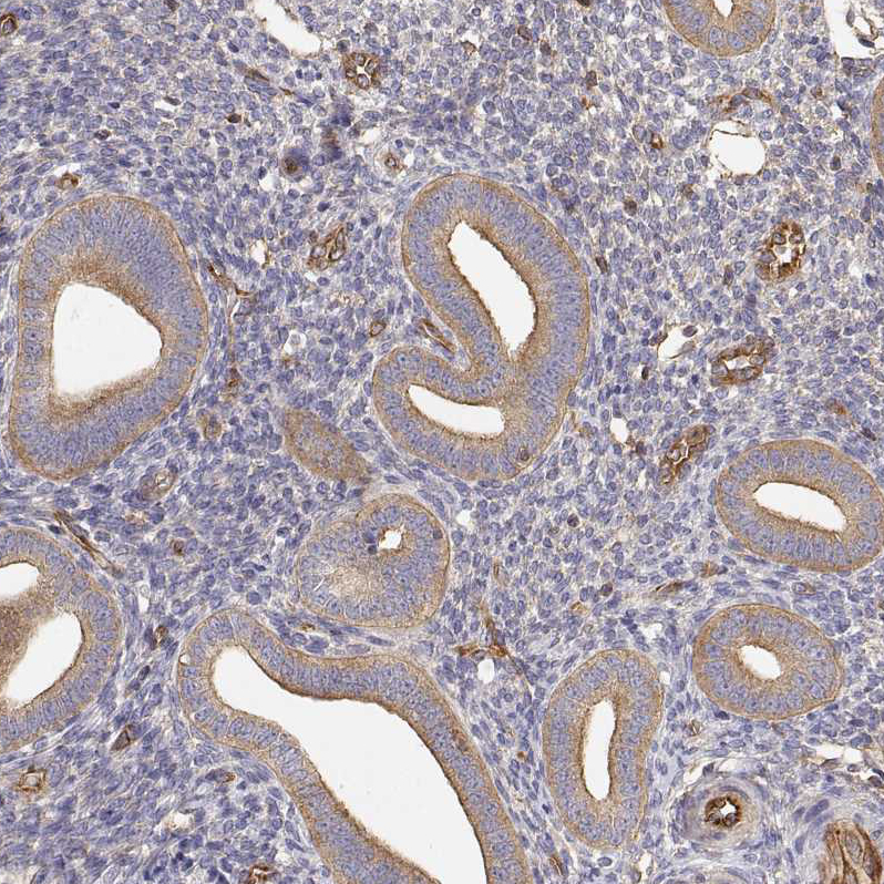
non-muscle Myosin IIA Antibody

Immunohistochemistry: non-muscle Myosin IIA Antibody [NBP2-62644]

Immunohistochemistry: non-muscle Myosin IIA Antibody [NBP2-62644] - Staining of human endometrium shows moderate membranous positivity in glandular cells.

Applications for non-muscle Myosin IIA Antibody - BSA Free

Application
Recommended Usage

Immunocytochemistry/ Immunofluorescence

0.25-2 ug/ml

Immunohistochemistry

1:50 - 1:200

Immunohistochemistry-Paraffin

1:50 - 1:200

Western Blot

1.0 ug/ml
Application Notes
For IHC-Paraffin, HIER pH 6 retrieval is recommended. Immunocytochemistry/Immunofluorescence Fixation Permeabilization: Use PFA/Triton X-100.

Formulation, Preparation, and Storage

Purification

Affinity purified

Formulation

PBS (pH 7.2) and 40% Glycerol

Format

BSA Free

Preservative

0.02% Sodium Azide

Concentration

Concentrations vary lot to lot. See vial label for concentration. If unlisted please contact technical services.

Shipping

The product is shipped with polar packs. Upon receipt, store it immediately at the temperature recommended below.

Stability & Storage

Store at 4C short term. Aliquot and store at -20C long term. Avoid freeze-thaw cycles.

Background: Non-muscle Myosin IIA

The non-muscle Myosin IIA gene encodes a myosin IIA heavy chain that contains an IQ domain and a myosin head-like domain. The protein is involved in several important functions, including cytokinesis, cell motility and maintenance of cell shape. Defects in MYH9 are the cause

Long Name

Myosin-9

Alternate Names

MYH9, NMMHC II-a, NMMHC-A, NMMHC-IIA

Gene Symbol

MYH9

Additional Non-muscle Myosin IIA Products

Product Documents for non-muscle Myosin IIA Antibody - BSA Free

Certificate of Analysis

To download a Certificate of Analysis, please enter a lot number in the search box below.

Product Specific Notices for non-muscle Myosin IIA Antibody - BSA Free

This product is for research use only and is not approved for use in humans or in clinical diagnosis. Primary Antibodies are guaranteed for 1 year from date of receipt.

Loading...
Loading...
Loading...
Loading...