Skip to main content

non-muscle Myosin IIA Antibody - BSA Free

Novus Biologicals, part of Bio-Techne | Catalog # NBP1-85244

Novus Biologicals, part of Bio-Techne
Catalog #
Availability
Size / Price
Qty
Loading...
NBP1-85244
NBP1-85244-25ul

Key Product Details

Validated by

Orthogonal Validation, Independent Antibodies

Species Reactivity

Validated:

Human

Cited:

Human

Predicted:

Mouse (95%), Rat (94%). Backed by our 100% Guarantee.

Applications

Validated:

Immunohistochemistry, Immunohistochemistry-Paraffin, Western Blot, Immunocytochemistry/ Immunofluorescence

Cited:

Western Blot

Label

Unconjugated

Antibody Source

Polyclonal Rabbit IgG

Format

BSA Free

Concentration

Concentrations vary lot to lot. See vial label for concentration. If unlisted please contact technical services.

Product Specifications

Immunogen

This antibody was developed against Recombinant Protein corresponding to amino acids: REQEVNILKKTLEEEAKTHEAQIQEMRQKHSQAVEELAEQLEQTKRVKANLEKAKQTLENERGELANEVKVLLQGKGDSEHKRKKVEAQLQELQVKFNEGERVRTELADKVTKLQVELDNVTGLLSQSDSKSSKLTKDF

Reactivity Notes

Human reactivity reported in scientific literature (PMID: 24155382).

Clonality

Polyclonal

Host

Rabbit

Isotype

IgG

Scientific Data Images for non-muscle Myosin IIA Antibody - BSA Free

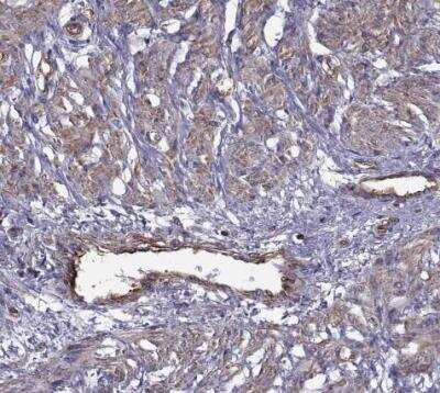
Immunohistochemistry-Paraffin: non-muscle Myosin IIA Antibody [NBP1-85244]

Immunohistochemistry-Paraffin: non-muscle Myosin IIA Antibody [NBP1-85244]

Immunohistochemistry-Paraffin: non-muscle Myosin IIA Antibody [NBP1-85244] - Analysis in human endometrium and skeletal muscle tissues using NBP1-85244 antibody. Corresponding MYH9 RNA-seq data are presented for the same tissues.
Immunohistochemistry-Paraffin: non-muscle Myosin IIA Antibody [NBP1-85244]

Immunohistochemistry-Paraffin: non-muscle Myosin IIA Antibody [NBP1-85244]

Immunohistochemistry-Paraffin: non-muscle Myosin IIA Antibody [NBP1-85244] - Staining of human cerebral cortex, kidney, lymph node and testis using Anti-MYH9 antibody NBP1-85244 (A) shows similar protein distribution across tissues to independent antibody NBP2-62644 (B).
Immunocytochemistry/ Immunofluorescence: non-muscle Myosin IIA Antibody [NBP1-85244]

Immunocytochemistry/ Immunofluorescence: non-muscle Myosin IIA Antibody [NBP1-85244]

Immunocytochemistry/Immunofluorescence: non-muscle Myosin IIA Antibody [NBP1-85244] - Staining of human cell line U-251 MG shows localization to plasma membrane, cytosol and actin filaments. Antibody staining is shown in green.

Applications for non-muscle Myosin IIA Antibody - BSA Free

Application
Recommended Usage

Immunocytochemistry/ Immunofluorescence

0.25-2 ug/ml

Immunohistochemistry

1:500 - 1:1000

Immunohistochemistry-Paraffin

1:500 - 1:1000

Western Blot

0.04-0.4 ug/ml
Application Notes
WB reported in scientific literature (PMID: 24155382). For IHC-Paraffin, HIER pH 6 retrieval is recommended. ICC/IF Fixation Permeabilization: Use PFA/Triton X-100.

Formulation, Preparation, and Storage

Purification

Affinity purified

Formulation

PBS (pH 7.2) and 40% Glycerol

Format

BSA Free

Preservative

0.02% Sodium Azide

Concentration

Concentrations vary lot to lot. See vial label for concentration. If unlisted please contact technical services.

Shipping

The product is shipped with polar packs. Upon receipt, store it immediately at the temperature recommended below.

Stability & Storage

Store at 4C short term. Aliquot and store at -20C long term. Avoid freeze-thaw cycles.

Background: Non-muscle Myosin IIA

The non-muscle Myosin IIA gene encodes a myosin IIA heavy chain that contains an IQ domain and a myosin head-like domain. The protein is involved in several important functions, including cytokinesis, cell motility and maintenance of cell shape. Defects in MYH9 are the cause

Long Name

Myosin-9

Alternate Names

MYH9, NMMHC II-a, NMMHC-A, NMMHC-IIA

Gene Symbol

MYH9

Additional Non-muscle Myosin IIA Products

Product Documents for non-muscle Myosin IIA Antibody - BSA Free

Certificate of Analysis

To download a Certificate of Analysis, please enter a lot number in the search box below.

Product Specific Notices for non-muscle Myosin IIA Antibody - BSA Free

This product is for research use only and is not approved for use in humans or in clinical diagnosis. Primary Antibodies are guaranteed for 1 year from date of receipt.

Loading...
Loading...
Loading...
Loading...