Skip to main content

non-muscle Myosin IIA Antibody - Azide and BSA Free

Novus Biologicals, part of Bio-Techne | Catalog # NBP1-31733

Novus Biologicals, part of Bio-Techne
Catalog #
Availability
Size / Price
Qty
Loading...
NBP1-31733

Key Product Details

Validated by

Knockout/Knockdown

Species Reactivity

Validated:

Human, Mouse, Rat

Cited:

Human

Predicted:

Bovine (99%), Canine (99%), Chicken (94%). Backed by our 100% Guarantee.

Applications

Validated:

Immunohistochemistry, Immunohistochemistry-Paraffin, Immunohistochemistry-Frozen, Western Blot, Immunocytochemistry/ Immunofluorescence, Immunoprecipitation

Cited:

Western Blot

Label

Unconjugated

Antibody Source

Polyclonal Rabbit IgG

Format

Azide and BSA Free

Concentration

Concentrations vary lot to lot. See vial label for concentration. If unlisted please contact technical services.

Product Specifications

Immunogen

Recombinant protein encompassing a sequence within the N-terminus region of human non-muscle Myosin IIA. The exact sequence is proprietary.

Reactivity Notes

Xenopus laevis (89%).

Clonality

Polyclonal

Host

Rabbit

Isotype

IgG

Theoretical MW

227 kDa.
Disclaimer note: The observed molecular weight of the protein may vary from the listed predicted molecular weight due to post translational modifications, post translation cleavages, relative charges, and other experimental factors.

Scientific Data Images for non-muscle Myosin IIA Antibody - Azide and BSA Free

Immunocytochemistry/ Immunofluorescence: non-muscle Myosin IIA Antibody [NBP1-31733]

Immunocytochemistry/ Immunofluorescence: non-muscle Myosin IIA Antibody [NBP1-31733]

Immunocytochemistry/Immunofluorescence: non-muscle Myosin IIA Antibody [NBP1-31733] - HeLa cells were fixed in ice-cold MeOH for 5 min. Green: MYH9 stained by MYH9 antibody [N1-2], N-term diluted at 1:500. Blue: Hoechst 33342 staining.
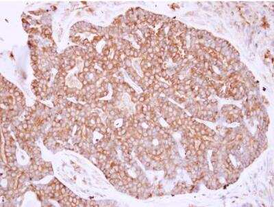
Immunohistochemistry-Paraffin: non-muscle Myosin IIA Antibody [NBP1-31733]

Immunohistochemistry-Paraffin: non-muscle Myosin IIA Antibody [NBP1-31733]

Immunohistochemistry-Paraffin: non-muscle Myosin IIA Antibody [NBP1-31733] - Human breast carcinoma. MYH9 antibody [N1-2], N-term diluted at 1:500. Antigen Retrieval: Citrate buffer, pH 6.0, 15 min.
Western Blot: non-muscle Myosin IIA Antibody [NBP1-31733]

Western Blot: non-muscle Myosin IIA Antibody [NBP1-31733]

Western Blot: non-muscle Myosin IIA Antibody [NBP1-31733] - A. 30 ug Rat2 whole cell lysate/extract 5 % SDS-PAGE MYH9 antibody [N1-2], N-term dilution: 1:1000

Applications for non-muscle Myosin IIA Antibody - Azide and BSA Free

Application
Recommended Usage

Immunocytochemistry/ Immunofluorescence

1:100-1:1000

Immunohistochemistry

1:100-1:1000

Immunohistochemistry-Frozen

Assay dependent

Immunohistochemistry-Paraffin

1:100-1:1000

Immunoprecipitation

1:100-1:500

Western Blot

1:500-1:3000

Formulation, Preparation, and Storage

Purification

Antigen Affinity-purified

Formulation

PBS, 20% Glycerol

Format

Azide and BSA Free

Preservative

0.025% Proclin 300

Concentration

Concentrations vary lot to lot. See vial label for concentration. If unlisted please contact technical services.

Shipping

The product is shipped with polar packs. Upon receipt, store it immediately at the temperature recommended below.

Stability & Storage

Aliquot and store at -20C or -80C. Avoid freeze-thaw cycles.

Background: Non-muscle Myosin IIA

The non-muscle Myosin IIA gene encodes a myosin IIA heavy chain that contains an IQ domain and a myosin head-like domain. The protein is involved in several important functions, including cytokinesis, cell motility and maintenance of cell shape. Defects in MYH9 are the cause

Long Name

Myosin-9

Alternate Names

MYH9, NMMHC II-a, NMMHC-A, NMMHC-IIA

Entrez Gene IDs

4627 (Human); 17886 (Mouse)

Gene Symbol

MYH9

UniProt

Additional Non-muscle Myosin IIA Products

Product Documents for non-muscle Myosin IIA Antibody - Azide and BSA Free

Certificate of Analysis

To download a Certificate of Analysis, please enter a lot number in the search box below.

Product Specific Notices for non-muscle Myosin IIA Antibody - Azide and BSA Free

This product is for research use only and is not approved for use in humans or in clinical diagnosis. Primary Antibodies are guaranteed for 1 year from date of receipt.

Loading...
Loading...
Loading...
Loading...

⚠ WARNING: This product can expose you to chemicals including mercury, which is known to the State of California to cause reproductive toxicity with developmental effects.  For more information go to www.P65Warnings.ca.gov.