Skip to main content

non-muscle Myosin IIA Antibody (GT566) - Azide and BSA Free

Novus Biologicals, part of Bio-Techne | Catalog # NBP3-13580

Novus Biologicals, part of Bio-Techne
Catalog #
Availability
Size / Price
Qty
Loading...
NBP3-13580

Key Product Details

Species Reactivity

Validated:

Human, Mouse

Predicted:

Canine (100%), Rat (100%). Backed by our 100% Guarantee.

Applications

Immunohistochemistry, Immunohistochemistry-Paraffin, Western Blot

Label

Unconjugated

Antibody Source

Monoclonal Mouse IgG2B Clone # GT566

Format

Azide and BSA Free

Concentration

Concentrations vary lot to lot. See vial label for concentration. If unlisted please contact technical services.

Product Specifications

Immunogen

Carrier-protein conjugated synthetic peptide encompassing a sequence within the C-terminus region of human non-muscle Myosin IIA. The exact sequence is proprietary.

Clonality

Monoclonal

Host

Mouse

Isotype

IgG2B

Theoretical MW

227 kDa.
Disclaimer note: The observed molecular weight of the protein may vary from the listed predicted molecular weight due to post translational modifications, post translation cleavages, relative charges, and other experimental factors.

Description

Centrifuge briefly prior to opening.

Scientific Data Images for non-muscle Myosin IIA Antibody (GT566) - Azide and BSA Free

Western Blot: non-muscle Myosin IIA Antibody (GT566) [NBP3-13580]

Western Blot: non-muscle Myosin IIA Antibody (GT566) [NBP3-13580]

Western Blot: non-muscle Myosin IIA Antibody (GT566) [NBP3-13580] - Various whole cell extracts (30 ug) were separated by 5% SDS-PAGE, and the membrane was blotted with non-muscle Myosin IIA antibody [GT566] (NBP3-13580) diluted at 1:1000. The HRP-conjugated anti-mouse IgG antibody (NBP2-19382) was used to detect the primary antibody.
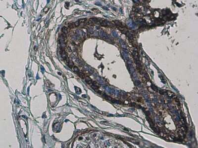
Immunohistochemistry-Paraffin: non-muscle Myosin IIA Antibody (GT566) [NBP3-13580]

Immunohistochemistry-Paraffin: non-muscle Myosin IIA Antibody (GT566) [NBP3-13580]

Immunohistochemistry-Paraffin: non-muscle Myosin IIA Antibody (GT566) [NBP3-13580] - non-muscle Myosin IIA antibody [GT566] detects non-muscle Myosin IIA protein at cytoplasm in human colon by immunohistochemical analysis. Sample: Paraffin-embedded human colon. non-muscle Myosin IIA antibody [GT566] (NBP3-13580) diluted at 1:200. Antigen Retrieval: Citrate buffer, pH 6.0, 15 min
Western Blot: non-muscle Myosin IIA Antibody (GT566) [NBP3-13580]

Western Blot: non-muscle Myosin IIA Antibody (GT566) [NBP3-13580]

Western Blot: non-muscle Myosin IIA Antibody (GT566) [NBP3-13580] - Whole cell extract (30 ug) was separated by 5% SDS-PAGE, and the membrane was blotted with non-muscle Myosin IIA antibody [GT566] (NBP3-13580) diluted at 1:1000.

Applications for non-muscle Myosin IIA Antibody (GT566) - Azide and BSA Free

Application
Recommended Usage

Immunohistochemistry

1:100-1:1000

Immunohistochemistry-Paraffin

1:100-1:1000

Western Blot

1:500-1:3000

Formulation, Preparation, and Storage

Purification

Protein A purified

Formulation

PBS

Format

Azide and BSA Free

Preservative

No Preservative

Concentration

Concentrations vary lot to lot. See vial label for concentration. If unlisted please contact technical services.

Shipping

The product is shipped with polar packs. Upon receipt, store it immediately at the temperature recommended below.

Stability & Storage

Store at 4C short term. Aliquot and store at -20C long term. Avoid freeze-thaw cycles.

Background: Non-muscle Myosin IIA

The non-muscle Myosin IIA gene encodes a myosin IIA heavy chain that contains an IQ domain and a myosin head-like domain. The protein is involved in several important functions, including cytokinesis, cell motility and maintenance of cell shape. Defects in MYH9 are the cause

Long Name

Myosin-9

Alternate Names

MYH9, NMMHC II-a, NMMHC-A, NMMHC-IIA

Gene Symbol

MYH9

Additional Non-muscle Myosin IIA Products

Product Documents for non-muscle Myosin IIA Antibody (GT566) - Azide and BSA Free

Certificate of Analysis

To download a Certificate of Analysis, please enter a lot number in the search box below.

Product Specific Notices for non-muscle Myosin IIA Antibody (GT566) - Azide and BSA Free

This product is for research use only and is not approved for use in humans or in clinical diagnosis. Primary Antibodies are guaranteed for 1 year from date of receipt.

Loading...
Loading...
Loading...
Loading...