Skip to main content

NIPBL Antibody

Novus Biologicals, part of Bio-Techne | Catalog # NBP1-52168

Catalog #
Availability
Size / Price
Qty
Loading...
NBP1-52168

Key Product Details

Species Reactivity

Validated:

Human

Predicted:

Bovine (100%), Canine (100%), Mouse (100%), Rat (100%). Backed by our 100% Guarantee.

Applications

Immunohistochemistry, Immunohistochemistry-Paraffin, Peptide ELISA, Immunocytochemistry/ Immunofluorescence

Label

Unconjugated

Antibody Source

Polyclonal Goat IgG

Concentration

0.5 mg/ml

Product Specifications

Immunogen

Peptide with sequence C-RPDSPRVKQGDSNK corresponding to internal region according to NP_056199.2.

Epitope

C-RPDSPRVKQGDSNK

Specificity

This antibody is expected to recognize both reported isoforms (NP_597677.2; NP_056199.2).

Clonality

Polyclonal

Host

Goat

Isotype

IgG

Description

Novus Biologicals Goat NIPBL Antibody (NBP1-52168) is a polyclonal antibody validated for use in IHC, ELISA and ICC/IF. Anti-NIPBL Antibody: Cited in 1 publication. All Novus Biologicals antibodies are covered by our 100% guarantee.

Scientific Data Images for NIPBL Antibody

Immunocytochemistry/ Immunofluorescence: NIPBL Antibody [NBP1-52168]

Immunocytochemistry/ Immunofluorescence: NIPBL Antibody [NBP1-52168]

Immunocytochemistry/Immunofluorescence: NIPBL Antibody [NBP1-52168] - analysis of paraformaldehyde fixed HeLa cells, permeabilized with 0.15% Triton. Primary incubation 1hr (10ug/ml) followed by Alexa Fluor 488 secondary antibody (4ug/ml), showing nuclear and cytoplasmic staining. The nuclear stai
Immunohistochemistry-Paraffin: NIPBL Antibody [NBP1-52168]

Immunohistochemistry-Paraffin: NIPBL Antibody [NBP1-52168]

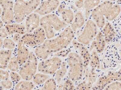
Immunohistochemistry-Paraffin: NIPBL Antibody [NBP1-52168] - (2ug/ml) staining of paraffin embedded Human Kidney. Microwaved antigen retrieval with citrate buffer pH 6, HRP-staining.
Immunohistochemistry-Paraffin: NIPBL Antibody [NBP1-52168]

Immunohistochemistry-Paraffin: NIPBL Antibody [NBP1-52168]

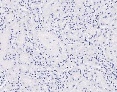
Immunohistochemistry-Paraffin: NIPBL Antibody [NBP1-52168] - Negative Control showing staining of paraffin embedded Human Cerebellum, with no primary antibody.

Applications for NIPBL Antibody

Application
Recommended Usage

Immunocytochemistry/ Immunofluorescence

10 ug/ml

Immunohistochemistry-Paraffin

2 ug/ml

Peptide ELISA

detection limit 1:32000
Application Notes
IHC: Paraffin embedded Human Kidney.
Immunofluorescence: Strong expression of the protein seen in the cytoplasm and nucleus of HeLa cells.

Formulation, Preparation, and Storage

Purification

Immunogen affinity purified

Formulation

Tris saline (20 mM Tris pH 7.3, 150 mM NaCl), 0.5% BSA

Preservative

0.02% Sodium Azide

Concentration

0.5 mg/ml

Shipping

The product is shipped with polar packs. Upon receipt, store it immediately at the temperature recommended below.

Stability & Storage

Store at -20C. Avoid freeze-thaw cycles.

Background: NIPBL

This gene encodes the homolog of the Drosophila melanogaster Nipped-B gene product and fungal Scc2-type sister chromatid cohesion proteins. The Drosophila protein facilitates enhancer-promoter communication of remote enhancers and plays a role in developmental regulation. It is also homologous to a family of chromosomal adherins with broad roles in sister chromatid cohesion, chromosome condensation, and DNA repair. The human protein has a bipartite nuclear targeting sequence and a putative HEAT repeat. Condensins, cohesins and other complexes with chromosome-related functions also contain HEAT repeats. Mutations in this gene result in Cornelia de Lange syndrome, a disorder characterized by dysmorphic facial features, growth delay, limb reduction defects, and mental retardation. Two transcript variants encoding different isoforms have been found for this gene.

Alternate Names

CDLS1, Delangin, DKFZp434L1319, FLJ11203, FLJ12597, FLJ13354, FLJ13648, FLJ44854, IDN3-B, IDN3CDLS, Nipped-B homolog (Drosophila), nipped-B-like protein, Scc2, SCC2 homolog, sister chromatid cohesion 2 homolog

Entrez Gene IDs

25836 (Human); 71175 (Mouse); 294787 (Rat)

Gene Symbol

NIPBL

Additional NIPBL Products

Product Documents for NIPBL Antibody

Certificate of Analysis

To download a Certificate of Analysis, please enter a lot number in the search box below.

Product Specific Notices for NIPBL Antibody

This product is for research use only and is not approved for use in humans or in clinical diagnosis. Primary Antibodies are guaranteed for 1 year from date of receipt.

Loading...
Loading...
Loading...
Loading...