Skip to main content

Nicotinic Acetylcholine R alpha 1/CHRNA1 Antibody - BSA Free

Novus Biologicals, part of Bio-Techne | Catalog # NBP2-93514

Novus Biologicals, part of Bio-Techne
Catalog #
Availability
Size / Price
Qty
Loading...
NBP2-93514-0.02ml
NBP2-93514-0.1ml

Key Product Details

Species Reactivity

Human, Mouse

Applications

Immunohistochemistry, Immunohistochemistry-Paraffin, Western Blot, ELISA, Immunocytochemistry/ Immunofluorescence

Label

Unconjugated

Antibody Source

Polyclonal Rabbit IgG

Format

BSA Free

Concentration

Please see the vial label for concentration. If unlisted please contact technical services.

Product Specifications

Immunogen

Recombinant fusion protein containing a sequence corresponding to amino acids 105-220 of human CHRNA1 (NP_000070.1). IWRPDLVLYNNADGDFAIVKFTKVLLQYTGHITWTPPAIFKSYCEIIVTHFPFDEQNCSMKLGTWTYDGSVVAINPESDQPDLSNFMESGEWVIKESRGWKHSVTYSCCPDTPYLD

Clonality

Polyclonal

Host

Rabbit

Isotype

IgG

Theoretical MW

52 kDa.
Disclaimer note: The observed molecular weight of the protein may vary from the listed predicted molecular weight due to post translational modifications, post translation cleavages, relative charges, and other experimental factors.

Description

Novus Biologicals Rabbit Nicotinic Acetylcholine R alpha 1/CHRNA1 Antibody - BSA Free (NBP2-93514) is a polyclonal antibody validated for use in IHC, WB, ELISA and ICC/IF. All Novus Biologicals antibodies are covered by our 100% guarantee.

Scientific Data Images for Nicotinic Acetylcholine R alpha 1/CHRNA1 Antibody - BSA Free

Western Blot: Nicotinic Acetylcholine R alpha 1/CHRNA1 AntibodyBSA Free [NBP2-93514]

Western Blot: Nicotinic Acetylcholine R alpha 1/CHRNA1 AntibodyBSA Free [NBP2-93514]

Western Blot: Nicotinic Acetylcholine R alpha 1/CHRNA1 Antibody [NBP2-93514] - Analysis of extracts of various cell lines, using Nicotinic Acetylcholine R alpha 1/CHRNA1 at 1:1000 dilution.Secondary antibody: HRP Goat Anti-Rabbit IgG (H+L) at 1:10000 dilution.Lysates/proteins: 25ug per lane.Blocking buffer: 3% nonfat dry milk in TBST.Detection: ECL Basic Kit .Exposure time: 90s.
Nicotinic Acetylcholine R alpha 1/CHRNA1 Antibody - BSA Free

Immunohistochemistry: Nicotinic Acetylcholine R alpha 1/CHRNA1 Antibody - BSA Free [NBP2-93514] -

Immunohistochemistry: Nicotinic Acetylcholine R alpha 1/CHRNA1 Antibody - BSA Free [NBP2-93514] - Immunohistochemistry analysis of Nicotinic Acetylcholine R alpha 1/CHRNA1 in paraffin-embedded Human skeletal muscle tissue using Nicotinic Acetylcholine R alpha 1/CHRNA1 Rabbit pAb at a dilution of 1:100 (40x lens). High pressure antigen retrieval was performed with 0.01 M citrate buffer (pH 6.0) prior to IHC staining.
Nicotinic Acetylcholine R alpha 1/CHRNA1 Antibody - BSA Free

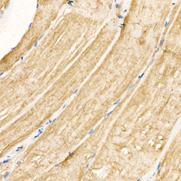
Immunocytochemistry/ Immunofluorescence: Nicotinic Acetylcholine R alpha 1/CHRNA1 Antibody - BSA Free [NBP2-93514] -

Immunocytochemistry/ Immunofluorescence: Nicotinic Acetylcholine R alpha 1/CHRNA1 Antibody - BSA Free [NBP2-93514] - Immunofluorescence analysis of paraffin-embedded Mouse heart using Nicotinic Acetylcholine R alpha 1/CHRNA1 Rabbit pAb at a dilution of 1:100 (40x lens). Secondary antibody:Cy3 Goat Anti-Rabbit IgG (H+L) at 1:500 dilution. Blue: DAPI for nuclear staining.Perform high pressure antigen retrieval with 0.01 M citrate buffer (pH 6.0) prior to IF staining.

Applications for Nicotinic Acetylcholine R alpha 1/CHRNA1 Antibody - BSA Free

Application
Recommended Usage

Immunocytochemistry/ Immunofluorescence

1:50 - 1:200

Immunohistochemistry

1:50 - 1:200

Immunohistochemistry-Paraffin

1:50 - 1:200

Western Blot

1:500-1:2000

Formulation, Preparation, and Storage

Purification

Affinity purified

Formulation

PBS (pH 7.3), 50% glycerol

Format

BSA Free

Preservative

0.02% Sodium Azide

Concentration

Please see the vial label for concentration. If unlisted please contact technical services.

Shipping

The product is shipped with polar packs. Upon receipt, store it immediately at the temperature recommended below.

Stability & Storage

Store at -20C. Avoid freeze-thaw cycles.

Background: Nicotinic Acetylcholine R alpha 1/CHRNA1

The muscle acetylcholine receptor consiststs of 5 subunits of 4 different types: 2 alpha isoforms and 1 each of beta, gamma, and delta subunits.2 This gene encodes an alpha subunit that plays a role in acetlycholine binding/channel gating. Alternatively spliced transcript variants encoding different isoforms have been identified. [provided by RefSeq]

Long Name

Nicotinic Acetylcholine Receptor alpha 1

Alternate Names

ACHRA, CHRNA1, CMS2A, FCCMS, nAChR alpha 1, nAchRa1, Nicotinic Acetylcholine Ra1, SCCMS

Gene Symbol

CHRNA1

Additional Nicotinic Acetylcholine R alpha 1/CHRNA1 Products

Product Documents for Nicotinic Acetylcholine R alpha 1/CHRNA1 Antibody - BSA Free

Certificate of Analysis

To download a Certificate of Analysis, please enter a lot number in the search box below.

Product Specific Notices for Nicotinic Acetylcholine R alpha 1/CHRNA1 Antibody - BSA Free

This product is for research use only and is not approved for use in humans or in clinical diagnosis. Primary Antibodies are guaranteed for 1 year from date of receipt.

Loading...
Loading...
Loading...
Loading...
Loading...