Skip to main content

Nicotinamide N-Methyltransferase/NNMT Antibody (OTI3D8) - Azide and BSA Free

Novus Biologicals, part of Bio-Techne | Catalog # NBP2-72984

Novus Biologicals, part of Bio-Techne
Catalog #
Availability
Size / Price
Qty
Loading...
NBP2-72984
Conjugate
Catalog #

Key Product Details

Validated by

Knockout/Knockdown

Species Reactivity

Human, Mouse, Rat

Applications

Knockout Validated, Immunohistochemistry, Immunohistochemistry-Paraffin, Western Blot, Flow Cytometry, Immunocytochemistry/ Immunofluorescence, CyTOF-ready

Label

Unconjugated

Antibody Source

Monoclonal Mouse IgG2B Clone # OTI3D8

Format

Azide and BSA Free

Concentration

LYOPH mg/ml

Product Specifications

Immunogen

Full length human recombinant protein of human NNMT(NP_006160) produced in HEK293T cell.

Reactivity Notes

Please note that this antibody is reactive to Mouse and derived from the same host, Mouse. Mouse-On-Mouse blocking reagent may be needed for IHC and ICC experiments to reduce high background signal. You can find these reagents under catalog numbers PK-2200-NB and MP-2400-NB. Please contact Technical Support if you have any questions.

Clonality

Monoclonal

Host

Mouse

Isotype

IgG2B

Theoretical MW

29.4 kDa.
Disclaimer note: The observed molecular weight of the protein may vary from the listed predicted molecular weight due to post translational modifications, post translation cleavages, relative charges, and other experimental factors.

Scientific Data Images

Western Blot: Nicotinamide N-Methyltransferase/NNMT Antibody (OTI3D8)Azide and BSA Free [NBP2-72984]

Western Blot: Nicotinamide N-Methyltransferase/NNMT Antibody (OTI3D8)Azide and BSA Free [NBP2-72984]

Western Blot: Nicotinamide N-Methyltransferase/NNMT Antibody (OTI3D8) - Azide and BSA Free [NBP2-72984] - HEK293T cells were transfected with the pCMV6-ENTRY control (Left lane) or pCMV6-ENTRY NNMT (Right lane) cDNA for 48 hrs and lysed. Equivalent amounts of cell lysates (5 ug per lane) were separated by SDS-PAGE and immunoblotted with anti-NNMT.
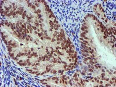
Immunohistochemistry: Nicotinamide N-Methyltransferase/NNMT Antibody (OTI3D8) - Azide and BSA Free [NBP2-72984]

Immunohistochemistry: Nicotinamide N-Methyltransferase/NNMT Antibody (OTI3D8) - Azide and BSA Free [NBP2-72984]

Immunohistochemistry: Nicotinamide N-Methyltransferase/NNMT Antibody (OTI3D8) - Azide and BSA Free [NBP2-72984] - Staining of paraffin-embedded Human pancreas tissue using anti-NNMT mouse monoclonal antibody.
Flow Cytometry: Nicotinamide N-Methyltransferase/NNMT Antibody (OTI3D8) - Azide and BSA Free [NBP2-72984]

Flow Cytometry: Nicotinamide N-Methyltransferase/NNMT Antibody (OTI3D8) - Azide and BSA Free [NBP2-72984]

Flow Cytometry: Nicotinamide N-Methyltransferase/NNMT Antibody (OTI3D8) - Azide and BSA Free [NBP2-72984] - Staining of COS7 cells transiently transfected by pCMV6-ENTRY NNMT.

Applications

Application
Recommended Usage

Flow Cytometry

1:100

Immunocytochemistry/ Immunofluorescence

1:100

Immunohistochemistry

1:150

Western Blot

1:500-2000

Formulation, Preparation, and Storage

Purification

Immunogen affinity purified

Reconstitution

we recommend adding 100uL distilled water to a final antibody concentration of about 1 mg/mL. To use this carrier-free antibody for conjugation experiment, we strongly recommend performing another round of desalting process.

Formulation

Lyophilized from PBS (pH 7.3) with 8% Trehalose

Format

Azide and BSA Free

Preservative

No Preservative

Concentration

LYOPH mg/ml

Shipping

The product is shipped with polar packs. Upon receipt, store it immediately at the temperature recommended below.

Stability & Storage

Store at -20C. Avoid freeze-thaw cycles.

Background: Nicotinamide N-Methyltransferase/NNMT

N-methylation is one method by which drug and other xenobiotic compounds are metabolized by the liver. This gene encodes the protein responsible for this enzymatic activity which uses S-adenosyl methionine as the methyl donor. [provided by RefSeq]

Long Name

Nicotinamide N-Methyltransferase

Alternate Names

Nicotinamide NMethyltransferase, NNMT

Gene Symbol

NNMT

Additional Nicotinamide N-Methyltransferase/NNMT Products

Product Documents

Certificate of Analysis

To download a Certificate of Analysis, please enter a lot number in the search box below.

Product Specific Notices

This product is for research use only and is not approved for use in humans or in clinical diagnosis. Primary Antibodies are guaranteed for 1 year from date of receipt.

Loading...
Loading...
Loading...
Loading...
Loading...
Loading...