Skip to main content

Nicotinamide N-Methyltransferase/NNMT Antibody (OTI3D8)

Novus Biologicals, part of Bio-Techne | Catalog # NBP2-00537

Novus Biologicals, part of Bio-Techne
Catalog #
Availability
Size / Price
Qty
Loading...
NBP2-00537

Key Product Details

Validated by

Knockout/Knockdown

Species Reactivity

Validated:

Human, Mouse, Rat

Cited:

Human

Applications

Validated:

Knockout Validated, Immunohistochemistry, Immunohistochemistry-Paraffin, Western Blot, Flow Cytometry, Immunocytochemistry/ Immunofluorescence

Cited:

Western Blot, IF/IHC

Label

Unconjugated

Antibody Source

Monoclonal Mouse IgG2B Clone # OTI3D8

Concentration

1 mg/ml

Product Specifications

Immunogen

Full length human recombinant protein of human NNMT(NP_006160) produced in HEK293T cell.

Reactivity Notes

Please note that this antibody is reactive to Mouse and derived from the same host, Mouse. Mouse-On-Mouse blocking reagent may be needed for IHC and ICC experiments to reduce high background signal. You can find these reagents under catalog numbers PK-2200-NB and MP-2400-NB. Please contact Technical Support if you have any questions.

Clonality

Monoclonal

Host

Mouse

Isotype

IgG2B

Theoretical MW

29.4 kDa.
Disclaimer note: The observed molecular weight of the protein may vary from the listed predicted molecular weight due to post translational modifications, post translation cleavages, relative charges, and other experimental factors.

Description

Novus Biologicals Knockout (KO) Validated Mouse Nicotinamide N-Methyltransferase/NNMT Antibody (OTI3D8) (NBP2-00537) is a monoclonal antibody validated for use in IHC, WB, Flow and ICC/IF. Anti-Nicotinamide N-Methyltransferase/NNMT Antibody: Cited in 4 publications. All Novus Biologicals antibodies are covered by our 100% guarantee.

Scientific Data Images for Nicotinamide N-Methyltransferase/NNMT Antibody (OTI3D8)

Western Blot: Nicotinamide N-Methyltransferase/NNMT Antibody (OTI3D8) [NBP2-00537]

Western Blot: Nicotinamide N-Methyltransferase/NNMT Antibody (OTI3D8) [NBP2-00537]

Western Blot: Nicotinamide N-Methyltransferase/NNMT Antibody (OTI3D8) [NBP2-00537] - Equivalent amounts of cell lysates (10 ug per lane) of wild-type HeLa cells and NNMT-Knockout HeLa cells were separated by SDS-PAGE and immunoblotted with anti-NNMT monoclonal antibody (1:500). Then the blotted membrane was stripped and reprobed with anti-HSP90 antibody as a loading control.
Immunocytochemistry/ Immunofluorescence: Nicotinamide N-Methyltransferase/NNMT Antibody (OTI3D8) [NBP2-00537]

Immunocytochemistry/ Immunofluorescence: Nicotinamide N-Methyltransferase/NNMT Antibody (OTI3D8) [NBP2-00537]

Immunocytochemistry/Immunofluorescence: NNMT Antibody (3D8) [NBP2-00537] - Staining of COS7 cells transiently transfected by pCMV6-ENTRY NNMT.
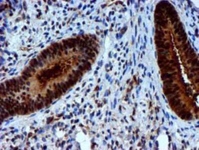
Immunohistochemistry-Paraffin: Nicotinamide N-Methyltransferase/NNMT Antibody (OTI3D8) [NBP2-00537]

Immunohistochemistry-Paraffin: Nicotinamide N-Methyltransferase/NNMT Antibody (OTI3D8) [NBP2-00537]

Immunohistochemistry-Paraffin: NNMT Antibody (3D8) [NBP2-00537] - Staining of paraffin-embedded Human prostate tissue using anti-NNMT mouse monoclonal antibody.

Applications for Nicotinamide N-Methyltransferase/NNMT Antibody (OTI3D8)

Application
Recommended Usage

Flow Cytometry

1:100

Immunocytochemistry/ Immunofluorescence

1:100

Immunohistochemistry

1:150

Immunohistochemistry-Paraffin

1:150

Western Blot

1:500-2000

Formulation, Preparation, and Storage

Purification

Immunogen affinity purified

Formulation

PBS (pH 7.3), 1.0% BSA and 50% Glycerol

Preservative

0.02% Sodium Azide

Concentration

1 mg/ml

Shipping

The product is shipped with polar packs. Upon receipt, store it immediately at the temperature recommended below.

Stability & Storage

Store at -20C. Avoid freeze-thaw cycles.

Background: Nicotinamide N-Methyltransferase/NNMT

N-methylation is one method by which drug and other xenobiotic compounds are metabolized by the liver. This gene encodes the protein responsible for this enzymatic activity which uses S-adenosyl methionine as the methyl donor. [provided by RefSeq].

Long Name

Nicotinamide N-Methyltransferase

Alternate Names

Nicotinamide NMethyltransferase, NNMT

Entrez Gene IDs

4837 (Human)

Gene Symbol

NNMT

Additional Nicotinamide N-Methyltransferase/NNMT Products

Product Documents for Nicotinamide N-Methyltransferase/NNMT Antibody (OTI3D8)

Certificate of Analysis

To download a Certificate of Analysis, please enter a lot number in the search box below.

Product Specific Notices for Nicotinamide N-Methyltransferase/NNMT Antibody (OTI3D8)

This product is for research use only and is not approved for use in humans or in clinical diagnosis. Primary Antibodies are guaranteed for 1 year from date of receipt.

Loading...
Loading...
Loading...
Loading...
Loading...