Skip to main content

NF-L Antibody (3L9Y10) - Azide and BSA Free

Novus Biologicals, part of Bio-Techne | Catalog # NBP3-15874

Recombinant Monoclonal Antibody
Novus Biologicals, part of Bio-Techne
Catalog #
Availability
Size / Price
Qty
Loading...
NBP3-15874-100ul
NBP3-15874-20ul

Key Product Details

Species Reactivity

Human, Mouse, Rat

Applications

Immunohistochemistry, Immunohistochemistry-Paraffin, Western Blot, Immunocytochemistry/ Immunofluorescence

Label

Unconjugated

Antibody Source

Recombinant Monoclonal Rabbit IgG Clone # 3L9Y10 expressed in HEK293

Format

Azide and BSA Free

Concentration

Please see the vial label for concentration. If unlisted please contact technical services.

Product Specifications

Immunogen

Recombinant fusion protein containing a sequence corresponding to amino acids 60-250 of human NF-L (NP_006149.2). SSGSLMPSLENLDLSQVAAISNDLKSIRTQEKAQLQDLNDRFASFIERVHELEQQNKVLEAELLVLRQKHSEPSRFRALYEQEIRDLRLAAEDATNEKQALQGEREGLEETLRNLQARYEEEVLSREDAEGRLMEARKGADEAALARAELEKRIDSLMDEISFLKKVHEEEIAELQAQIQYAQISVEMDVT

Clonality

Monoclonal

Host

Rabbit

Isotype

IgG

Scientific Data Images for NF-L Antibody (3L9Y10) - Azide and BSA Free

NF-L Antibody (3L9Y10) - Azide and BSA Free

Western Blot: NF-L Antibody (3L9Y10) - Azide and BSA Free [NF-L] -

Western Blot: NF-L Antibody (3L9Y10) - Azide and BSA Free [NF-L] - Western blot analysis of lysates from SH-SY5Y cells using NF-L Rabbit mAb at 1:100000 dilution.
Secondary antibody: HRP-conjugated Goat anti-Rabbit IgG (H+L) at 1:10000 dilution.
Lysates/proteins: 25 ug per lane.
Blocking buffer: 3% nonfat dry milk in TBST.
Detection: ECL Basic Kit .
Exposure time:30s.
NF-L Antibody (3L9Y10) - Azide and BSA Free

Immunohistochemistry: NF-L Antibody (3L9Y10) - Azide and BSA Free [NF-L] -

Immunohistochemistry: NF-L Antibody (3L9Y10) - Azide and BSA Free [NF-L] - Immunohistochemistry analysis of paraffin-embedded Rat brain tissue using NF-L Rabbit mAb at a dilution of 1:500 (40x lens). High pressure antigen retrieval performed with 0.01M Citrate Buffer (pH 6.0) prior to IHC staining.
NF-L Antibody (3L9Y10) - Azide and BSA Free

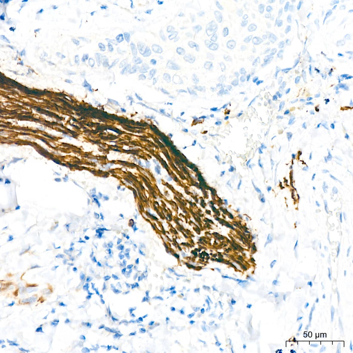
Immunohistochemistry: NF-L Antibody (3L9Y10) - Azide and BSA Free [NF-L] -

Immunohistochemistry: NF-L Antibody (3L9Y10) - Azide and BSA Free [NF-L] - Immunohistochemistry analysis of paraffin-embedded Human colon tissue using NF-L Rabbit mAb at a dilution of 1:500 (40x lens). High pressure antigen retrieval performed with 0.01M Citrate Buffer (pH 6.0) prior to IHC staining.

Applications for NF-L Antibody (3L9Y10) - Azide and BSA Free

Application
Recommended Usage

Immunocytochemistry/ Immunofluorescence

1:50 - 1:200

Immunohistochemistry

1:50 - 1:200

Immunohistochemistry-Paraffin

1:50 - 1:200

Western Blot

1:500 - 1:1000

Formulation, Preparation, and Storage

Purification

Affinity purified

Formulation

PBS (pH 7.3), 50% glycerol

Format

Azide and BSA Free

Preservative

0.02% Sodium Azide

Concentration

Please see the vial label for concentration. If unlisted please contact technical services.

Shipping

The product is shipped with polar packs. Upon receipt, store it immediately at the temperature recommended below.

Stability & Storage

Store at -20C. Avoid freeze-thaw cycles.

Background: NF-L

Neurofilaments are 10nm intermediate filament proteins located in vertebrate neurons, which regulate axonal diameter. They are composed predominantly of the three major neurofilament proteins: NF-Light, NF-Medium and NF-Heavy. NF-L is the light or low molecular weight polypeptide, and it runs on SDS-PAGE gels at about 68kDa, with some size variation in across species.

Antibodies to NF-L may be used to identify NF-L in neurons and to study neuronal processes in tissue sections and/or culture. NF-L antibodies can also be used to study microfilament accumulations seen in many neurological diseases, such as Lou Geri's disease or Alzheimer's disease.

Long Name

Neurofilament Protein, Light Chain

Alternate Names

CMT2E, NEFL, NF68, NFL

Gene Symbol

NEFL

Additional NF-L Products

Product Documents for NF-L Antibody (3L9Y10) - Azide and BSA Free

Certificate of Analysis

To download a Certificate of Analysis, please enter a lot number in the search box below.

Product Specific Notices for NF-L Antibody (3L9Y10) - Azide and BSA Free

This product is for research use only and is not approved for use in humans or in clinical diagnosis. Primary Antibodies are guaranteed for 1 year from date of receipt.

Loading...
Loading...
Loading...
Loading...

⚠ WARNING: This product can expose you to chemicals including Methotrexate, which is known to the State of California to cause reproductive toxicity with developmental effects. For more information, go to www.P65Warnings.ca.gov