Skip to main content

NF-L Antibody (1H3) - BSA Free

Novus Biologicals, part of Bio-Techne | Catalog # NBP2-37528

Novus Biologicals, part of Bio-Techne
Catalog #
Availability
Size / Price
Qty
Loading...
NBP2-37528
NBP2-37528-0.025ml

Key Product Details

Species Reactivity

Human

Applications

CyTOF-ready, ELISA, Flow Cytometry, Immunocytochemistry/ Immunofluorescence, Immunohistochemistry, Immunohistochemistry-Paraffin, Western Blot

Label

Unconjugated

Antibody Source

Monoclonal Mouse IgG1 Clone # 1H3

Format

BSA Free

Concentration

Please see the vial label for concentration. If unlisted please contact technical services.

Product Specifications

Immunogen

Purified recombinant fragment of human NF-L expressed in E. Coli.

Clonality

Monoclonal

Host

Mouse

Isotype

IgG1

Theoretical MW

62 kDa.
Disclaimer note: The observed molecular weight of the protein may vary from the listed predicted molecular weight due to post translational modifications, post translation cleavages, relative charges, and other experimental factors.

Description

Novus Biologicals Mouse NF-L Antibody (1H3) - BSA Free (NBP2-37528) is a monoclonal antibody validated for use in IHC, WB, ELISA, Flow and ICC/IF. All Novus Biologicals antibodies are covered by our 100% guarantee.

Scientific Data Images for NF-L Antibody (1H3) - BSA Free

Western Blot: NF-L Antibody (1H3)BSA Free [NBP2-37528]

Western Blot: NF-L Antibody (1H3)BSA Free [NBP2-37528]

Western Blot: NF-L Antibody (1H3) [NBP2-37528] - Analysis using NEFL mouse mAb against Hela (1) and Jurkat (2) cell lysate.
Immunocytochemistry/ Immunofluorescence: NF-L Antibody (1H3) - BSA Free [NBP2-37528]

Immunocytochemistry/ Immunofluorescence: NF-L Antibody (1H3) - BSA Free [NBP2-37528]

Immunocytochemistry/Immunofluorescence: NF-L Antibody (1H3) [NBP2-37528] - Analysis of Hela cells using NEFL mouse mAb (green). Blue: DRAQ5 fluorescent DNA dye. Red: Actin filaments have been labeled with Alexa Fluor-555 phalloidin.
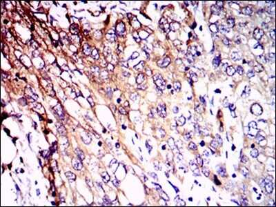
Immunohistochemistry-Paraffin: NF-L Antibody (1H3) - BSA Free [NBP2-37528]

Immunohistochemistry-Paraffin: NF-L Antibody (1H3) - BSA Free [NBP2-37528]

Immunohistochemistry-Paraffin: NF-L Antibody (1H3) [NBP2-37528] - Analysis of bladder cancer tissues using NEFL mouse mAb with DAB staining.

Applications for NF-L Antibody (1H3) - BSA Free

Application
Recommended Usage

ELISA

1:10000

Flow Cytometry

1:200 - 1:400

Immunocytochemistry/ Immunofluorescence

1:200 - 1:1000

Immunohistochemistry

1:200 - 1:1000

Immunohistochemistry-Paraffin

1:200 - 1:1000

Western Blot

1:500 - 1:2000
Application Notes
This antibody is Cytof ready.

Formulation, Preparation, and Storage

Purification

Protein G purified

Formulation

PBS

Format

BSA Free

Preservative

0.03% Sodium Azide

Concentration

Please see the vial label for concentration. If unlisted please contact technical services.

Shipping

The product is shipped with polar packs. Upon receipt, store it immediately at the temperature recommended below.

Stability & Storage

Store at 4C short term. Aliquot and store at -20C long term. Avoid freeze-thaw cycles.

Background: NF-L

Neurofilaments are 10nm intermediate filament proteins located in vertebrate neurons, which regulate axonal diameter. They are composed predominantly of the three major neurofilament proteins: NF-Light, NF-Medium and NF-Heavy. NF-L is the light or low molecular weight polypeptide, and it runs on SDS-PAGE gels at about 68kDa, with some size variation in across species.

Antibodies to NF-L may be used to identify NF-L in neurons and to study neuronal processes in tissue sections and/or culture. NF-L antibodies can also be used to study microfilament accumulations seen in many neurological diseases, such as Lou Geri's disease or Alzheimer's disease.

Long Name

Neurofilament Protein, Light Chain

Alternate Names

CMT2E, NEFL, NF68, NFL

Gene Symbol

NEFL

Additional NF-L Products

Product Documents for NF-L Antibody (1H3) - BSA Free

Certificate of Analysis

To download a Certificate of Analysis, please enter a lot number in the search box below.

Product Specific Notices for NF-L Antibody (1H3) - BSA Free

This product is for research use only and is not approved for use in humans or in clinical diagnosis. Primary Antibodies are guaranteed for 1 year from date of receipt.

Loading...
Loading...
Loading...
Loading...
Loading...