Neuromedin UR1/NMUR1 Antibody - BSA Free
Novus Biologicals, part of Bio-Techne | Catalog # NBP1-83433
Key Product Details
Species Reactivity
Human
Applications
Immunohistochemistry, Immunohistochemistry-Paraffin
Label
Unconjugated
Antibody Source
Polyclonal Rabbit IgG
Format
BSA Free
Concentration
Concentrations vary lot to lot. See vial label for concentration. If unlisted please contact technical services.
Product Specifications
Immunogen
This antibody was developed against Recombinant Protein corresponding to amino acids: TPLCLNCSVLPGDLYPGGARNPMACNGSAARGHFDPEDLNLTDEALRLKYLGPQQTELFMP
Clonality
Polyclonal
Host
Rabbit
Isotype
IgG
Scientific Data Images for Neuromedin UR1/NMUR1 Antibody - BSA Free
Immunohistochemistry-Paraffin: Neuromedin UR1/NMUR1 Antibody [NBP1-83433]
Immunohistochemistry-Paraffin: Neuromedin U R1/NMUR1 Antibody [NBP1-83433] - Staining of human testis shows moderate cytoplasmic positivity in Leydig cells.Immunohistochemistry-Paraffin: Neuromedin UR1/NMUR1 Antibody [NBP1-83433]
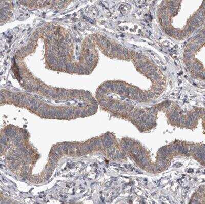
Immunohistochemistry-Paraffin: Neuromedin U R1/NMUR1 Antibody [NBP1-83433] - Staining of human upper gastrointestinal shows weak to moderate membranous and cytoplasmic positivity in glandular cells.Immunohistochemistry-Paraffin: Neuromedin UR1/NMUR1 Antibody [NBP1-83433]
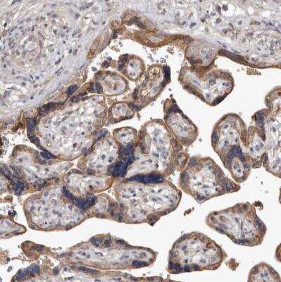
Immunohistochemistry-Paraffin: Neuromedin U R1/NMUR1 Antibody [NBP1-83433] - Staining of human placenta shows weak to moderate membranous and cytoplasmic positivity in trophoblastic cells.Applications for Neuromedin UR1/NMUR1 Antibody - BSA Free
Application
Recommended Usage
Immunohistochemistry
1:20 - 1:50
Immunohistochemistry-Paraffin
1:20 - 1:50
Application Notes
For IHC-Paraffin, HIER pH 6 retrieval is recommended.
Formulation, Preparation, and Storage
Purification
Affinity purified
Formulation
PBS (pH 7.2) and 40% Glycerol
Format
BSA Free
Preservative
0.02% Sodium Azide
Concentration
Concentrations vary lot to lot. See vial label for concentration. If unlisted please contact technical services.
Shipping
The product is shipped with polar packs. Upon receipt, store it immediately at the temperature recommended below.
Stability & Storage
Store at 4C short term. Aliquot and store at -20C long term. Avoid freeze-thaw cycles.
Background: Neuromedin UR1/NMUR1
Long Name
Neuromedin U Receptor 1
Alternate Names
FM3, GPR66, Neuromedin U R1, NMU1R, NMUR1
Gene Symbol
NMUR1
Additional Neuromedin UR1/NMUR1 Products
Product Documents for Neuromedin UR1/NMUR1 Antibody - BSA Free
Product Specific Notices for Neuromedin UR1/NMUR1 Antibody - BSA Free
This product is for research use only and is not approved for use in humans or in clinical diagnosis. Primary Antibodies are guaranteed for 1 year from date of receipt.
Loading...
Loading...
Loading...
Loading...